• Tel: 858.663.9055
  • SeparatorEmail: info@nsjbio.com
  • Tel: 858.663.9055
  • Email: info@nsjbio.com
Home >> Antibodies >> NDE1 Antibody / NudE

NDE1 Antibody / NudE (RQ6499)

  Catalog No Formulation Size Price (USD)  
Image RQ6499 0.5mg/ml if reconstituted with 0.2ml sterile DI water 100 ug 449
Bulk quote request
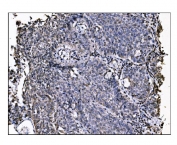
IHC staining of FFPE human breast cancer tissue with NDE1 antibody. HIER: boil tissue sections in pH8 EDTA for 20 min and allow to cool before testing.
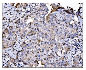
IHC staining of FFPE human lung cancer tissue with NDE1 antibody. HIER: boil tissue sections in pH8 EDTA for 20 min and allow to cool before testing.
Western blot testing of human 1) HeLa, 2) HEK293, 3) U937, 4) HepG2 and 5) Jurkat cell lysate with NDE1 antibody. Predicted molecular weight ~38 kDa.
Flow cytometry testing of human A549 cells with NDE1 antibody at 1ug/million cells (blocked with goat sera); Red=cells alone, Green=isotype control, Blue= NDE1 antibody.
Availability 1-3 business days
Species Reactivity Human
Format Antigen affinity purified
Host Rabbit
Clonality Polyclonal (rabbit origin)
Isotype Rabbit IgG
Purity Affinity purified
Buffer Lyophilized from 1X PBS with 2% Trehalose
UniProt Q9NXR1
Applications Western Blot : 1-2ug/ml
Immunohistochemistry (FFPE) : 2-5ug/ml
Flow Cytometry : 1-3ug/million cells
Direct ELISA : 0.1-0.5ug/ml
Limitations This NDE1 antibody is available for research use only.
Review this product on BioCompare and get a $20 Amazon gift card

Description

Nuclear distribution protein nudE homolog 1 is a protein that in humans is encoded by the NDE1 gene. This gene encodes a member of the nuclear distribution E (NudE) family of proteins. The encoded protein is localized at the centrosome and interacts with other centrosome components as part of a multiprotein complex that regulates dynein function. This protein plays an essential role in microtubule organization, mitosis and neuronal migration. Mutations in this gene cause lissencephaly 4, a disorder characterized by lissencephaly, severe brain atrophy, microcephaly, and severe cognitive disability. Alternative splicing results in multiple transcript variants.

Application Notes

Optimal dilution of the NDE1 antibody should be determined by the researcher.

Immunogen

An E. coli-derived human protein (amino acids E74-C335) was used as the immunogen for the NDE1 antibody.

Storage

After reconstitution, the NDE1 antibody can be stored for up to one month at 4oC. For long-term, aliquot and store at -20oC. Avoid repeated freezing and thawing.

Cross
Bulk Quote Request Form
Name*:
Organization*:
Email*:
Phone Number*:
Catalog No.*:
Comments and Specifics(amount, formulation, etc.)*:
Validation code: Captchapackage Image


Can't read the image? click here to refresh.
    *required field

Your bulk quote request has been submitted successfully!

Please contact us if you have any questions.