• Tel: 858.663.9055
  • SeparatorEmail: info@nsjbio.com
  • Tel: 858.663.9055
  • Email: info@nsjbio.com
Home >> Antibodies >> NCR3LG1 Antibody / B7-H6 / Natural cytotoxicity triggering receptor 3 ligand 1

NCR3LG1 Antibody / B7-H6 / Natural cytotoxicity triggering receptor 3 ligand 1 (FY12389)

  Catalog No Formulation Size Price (USD)  
Image FY12389 Adding 0.2 ml of distilled water will yield a concentration of 500 ug/ml 100 ug 449
Bulk quote request
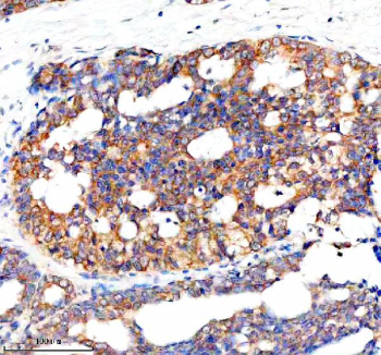
Immunohistochemical staining of NCR3LG1 using anti-NCR3LG1 antibody. NCR3LG1 was detected in a paraffin-embedded section of human breast cancer tissue. Heat mediated antigen retrieval was performed in EDTA buffer (pH 8.0, epitope retrieval solution). The tissue section was blocked with 10% goat serum. The tissue section was then incubated with 2 ug/ml rabbit anti-NCR3LG1 antibody overnight at 4oC. Peroxidase Conjugated Goat Anti-rabbit IgG was used as secondary antibody and incubated for 30 minutes at 37oC. The tissue section was developed using an HRP secondary and DAB substrate.
Western blot analysis of NCR3LG1 using anti-NCR3LG1 antibody. Lane 1: human Hela whole cell lysates, Lane 2: human 293T whole cell lysates, Lane 3: human HepG2 whole cell lysates, Lane 4: human HEL whole cell lysates, Lane 5: rat testis tissue lysates, Lane 6: mouse testis tissue lysates. After electrophoresis, proteins were transferred to a nitrocellulose membrane at 150 mA for 50-90 minutes. Blocked the membrane with 5% non-fat milk/TBS for 1.5 hour at RT. The membrane was incubated with rabbit anti-NCR3LG1 antibody at 0.5 ug/ml overnight at 4oC, then washed with TBS-0.1%Tween 3 times with 5 minutes each and probed with a goat anti-rabbit IgG-HRP secondary antibody at a dilution of 1:5000 for 1.5 hour at RT. The signal was developed using enhanced chemiluminescent. NCR3LG1 (B7-H6) was detected at ~90 kDa, above the ~51 kDa predicted size, consistent with its documented N-linked glycosylation and mature membrane-glycoprotein form.
Flow Cytometry analysis of HepG2 cells using anti-NCR3LG1 antibody. Overlay histogram showing HepG2 cells stained with (Blue line). The cells were fixed with 4% paraformaldehyde and blocked with 10% normal goat serum. And then incubated with rabbit anti-NCR3LG1 antibody (1 ug/million cells) for 30 min at 20oC. DyLight 488 conjugated goat anti-rabbit IgG (5-10 ug/million cells) was used as secondary antibody for 30 minutes at 20oC. Isotype control antibody (Green line) was rabbit IgG (1 ug/million cells) used under the same conditions. Unlabelled sample without incubation with primary antibody and secondary antibody (Red line) was used as a blank control.
Availability 1-2 days
Species Reactivity Human, Mouse, Rat
Format Lyophilized
Host Rabbit
Clonality Polyclonal (rabbit origin)
Isotype Rabbit IgG
Purity Immunogen affinity purified
Buffer Each vial contains 4 mg Trehalose, 0.9 mg NaCl, 0.2 mg Na2HPO4.
UniProt Q68D85
Localization Cell membrane
Applications Western Blot : 0.25-0.5ug/ml
Immunohistochemistry : 2-5ug/ml
Flow Cytometry : 1-3ug/million cells
ELISA : 0.1-0.5ug/ml
Limitations This NCR3LG1 antibody is available for research use only.
Review this product on BioCompare and get a $20 Amazon gift card

Related Products

Description

The NCR3LG1 antibody targets Natural cytotoxicity triggering receptor 3 ligand 1, a cell surface glycoprotein encoded by the NCR3LG1 gene. Also known as B7H6, this protein serves as a ligand for the activating receptor NKp30 (NCR3) expressed on natural killer (NK) cells. The interaction between B7H6 and NKp30 initiates NK cell activation, cytokine release, and cytotoxic responses against tumor and infected cells. The NCR3LG1 antibody provides a vital tool for studying innate immune surveillance and tumor immunology.

Natural cytotoxicity triggering receptor 3 ligand 1 is a type I transmembrane protein belonging to the B7 family of immune regulatory molecules. It is normally absent from healthy tissues but is induced by cellular stress, transformation, or infection. The NCR3LG1 antibody enables researchers to detect B7H6 expression on tumor cells, identifying targets for immune recognition and clearance. Because it acts as a danger signal for NK cell activation, B7H6 is a focus of research in cancer immunotherapy and immune checkpoint modulation.

Expression of B7H6 has been reported in various tumors, including leukemia, lymphoma, melanoma, and carcinomas of the lung and ovary. The NCR3LG1 antibody supports studies that examine the relationship between B7H6 expression and tumor immune evasion. Tumor cells may shed soluble B7H6 into the extracellular environment, impairing NK cell function. Detection using the NCR3LG1 antibody allows quantification of both membrane-bound and soluble forms, offering insights into immune escape mechanisms and therapeutic targeting opportunities.

In the context of infection, Natural cytotoxicity triggering receptor 3 ligand 1 acts as a stress-induced molecule upregulated by viral or bacterial pathogens, promoting immune activation. The NCR3LG1 antibody supports investigation of these innate immune responses, clarifying how NKp30�B7H6 interactions contribute to early pathogen clearance. Additionally, the ligand's selective expression profile makes it an attractive target for engineered NK cell or bispecific antibody therapies designed to enhance antitumor immunity.

The NCR3LG1 antibody is validated for flow cytometry, immunofluorescence, and western blotting, producing distinct membrane staining in positive cell lines. NSJ Bioreagents provides this antibody with strong specificity and consistent performance across immunological assays. By enabling detailed analysis of Natural cytotoxicity triggering receptor 3 ligand 1 expression, the NCR3LG1 antibody supports research into NK cell activation, immune surveillance, and novel cancer immunotherapies.

Application Notes

Optimal dilution of the NCR3LG1 antibody should be determined by the researcher.

Immunogen

E.coli-derived human B7H6/NCR3LG1 recombinant protein (Position: H85-D386) was used as the immunogen for the NCR3LG1 antibody.

Storage

After reconstitution, the NCR3LG1 antibody can be stored for up to one month at 4oC. For long-term, aliquot and store at -20oC. Avoid repeated freezing and thawing.

Cross
Bulk Quote Request Form
Name*:
Organization*:
Email*:
Phone Number*:
Catalog No.*:
Comments and Specifics(amount, formulation, etc.)*:
Validation code: Captchapackage Image


Can't read the image? click here to refresh.
    *required field

Your bulk quote request has been submitted successfully!

Please contact us if you have any questions.