• Tel: 858.663.9055
  • SeparatorEmail: info@nsjbio.com
  • Tel: 858.663.9055
  • Email: info@nsjbio.com
Home >> Antibodies >> NCR2 Antibody / Natural cytotoxicity triggering receptor 2

NCR2 Antibody / Natural cytotoxicity triggering receptor 2 [clone 27N49] (FY13424)

  Catalog No Formulation Size Price (USD)  
Image FY13424 Rabbit IgG in phosphate buffered saline, pH 7.4, 150mM NaCl, 0.02% sodium azide and 50% glycerol, 0.4-0.5mg/ml BSA 100 ul 449
Microvalidated Recrabbitmono
Bulk quote request
Immunohistochemical staining of FFPE mouse brain tissue with NCR2 antibody, HRP-secondary and DAB substrate. HIER: boil tissue sections in pH8 EDTA for 20 min and allow to cool before testing.
Immunohistochemical staining of FFPE rat brain tissue with NCR2 antibody, HRP-secondary and DAB substrate. HIER: boil tissue sections in pH8 EDTA for 20 min and allow to cool before testing.
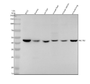
Western blot analysis of NCR2 expression using anti-NCR2 antibody. Lysates include human K562 cells, human Ramos cells, rat liver tissue, mouse liver tissue, mouse spleen tissue, and mouse lung tissue. A specific band is detected at approximately 40-45 kDa. NCR2 has a predicted molecular weight of ~31 kDa; however, the mature protein is a glycosylated cell surface receptor and may be observed at higher apparent molecular weights, up to ~44 kDa, due to N-linked glycosylation.
Availability 1-2 days
Species Reactivity Human, Mouse, Rat
Format Liquid
Host Rabbit
Clonality Recombinant Rabbit Monoclonal
Isotype Rabbit IgG
Clone Name 27N49
Purity Affinity chromatography
Buffer Rabbit IgG in phosphate buffered saline, pH 7.4, 150mM NaCl, 0.02% sodium azide and 50% glycerol, 0.4-0.5mg/ml BSA.
UniProt O95944
Localization Cell membrane
Applications Western Blot : 1:500-1:2000
Immunohistochemistry : 1:50-1:200
Limitations This NCR2 antibody is available for research use only.
Review this product on BioCompare and get a $20 Amazon gift card

Description

NCR2 antibody targets Natural cytotoxicity triggering receptor 2 (NCR2), also widely known as NKp44 and CD336, an activating receptor expressed on natural killer (NK) cells that contributes to immune surveillance against infected and transformed cells. NCR2 is a type I transmembrane glycoprotein and a member of the natural cytotoxicity receptor family. It is primarily localized at the cell surface plasma membrane, where it participates in recognition events that stimulate NK cell effector functions. NCR2 expression is typically induced upon NK cell activation, making it a useful marker for activated NK cell populations in immunology research.

Functionally, NCR2 acts as an activating receptor that helps trigger NK cell responses following engagement with ligands presented on target cells. Signaling is mediated through association with adaptor proteins containing immunoreceptor tyrosine-based activation motifs, leading to intracellular cascades that promote cytotoxic granule release and cytokine production. Through this mechanism, NCR2 contributes to the elimination of virus-infected cells and tumor cells, and it can influence the broader immune response by shaping cytokine-driven communication with other immune cell types. An NCR2 antibody supports studies focused on NK cell activation and immune effector mechanisms.

NCR2 is expressed predominantly by NK cells and can also be detected in certain innate lymphoid cell subsets depending on activation state and tissue context. Because NCR2 levels change with activation and microenvironmental cues, monitoring NCR2 expression provides insight into NK cell functional status. NCR2 localization at the cell surface also makes it relevant for studies of receptor clustering, immune synapse formation, and ligand-dependent signaling dynamics during NK cell interactions with target cells.

From a biological and disease-relevance perspective, NCR2 has been widely studied in cancer immunology and viral immunity. Altered NCR2 expression or signaling has been associated with differences in NK cell anti-tumor activity and immune evasion mechanisms within the tumor microenvironment. NCR2 is also relevant in studies of chronic infection and inflammation, where sustained immune activation can reshape receptor expression patterns and NK cell function. Because NCR2 is an inducible activation marker, it is frequently examined in research focused on immune regulation, immunotherapy response, and NK cell biology.

At the molecular level, NCR2 is encoded by the NCR2 gene and produces a protein with an expected core size that can migrate variably on SDS-PAGE due to glycosylation, a common feature of cell surface receptors. The extracellular domain mediates ligand interactions, while the transmembrane region supports association with signaling adaptors. NCR2 function depends on proper membrane localization and receptor-proximal signaling assembly. An NCR2 antibody supports research applications focused on profiling activated NK cells and investigating NK cell receptor signaling, with NSJ Bioreagents providing reagents intended for research use.

Application Notes

Optimal dilution of the NCR2 antibody should be determined by the researcher.

Immunogen

A synthesized peptide derived from human Natural cytotoxicity triggering receptor 2 protein was used as the immunogen for the NCR2 antibody.

Storage

Store the NCR2 antibody at -20oC.

Cross
Bulk Quote Request Form
Name*:
Organization*:
Email*:
Phone Number*:
Catalog No.*:
Comments and Specifics(amount, formulation, etc.)*:
Validation code: Captchapackage Image


Can't read the image? click here to refresh.
    *required field

Your bulk quote request has been submitted successfully!

Please contact us if you have any questions.