• Tel: 858.663.9055
  • SeparatorEmail: info@nsjbio.com
  • Tel: 858.663.9055
  • Email: info@nsjbio.com
Home >> Antibodies >> NCOR2 Antibody / Nuclear receptor corepressor 2

NCOR2 Antibody / Nuclear receptor corepressor 2 (FY12382)

  Catalog No Formulation Size Price (USD)  
Image FY12382 Adding 0.2 ml of distilled water will yield a concentration of 500 ug/ml 100 ug 449
Bulk quote request
Immunofluorescent staining of NCOR2 using anti-NCOR2 antibody (green) and anti-Tubulin Alpha antibody (red). NCOR2 was detected in immunocytochemical section of U2OS cell. Enzyme antigen retrieval was performed using IHC enzyme antigen retrieval reagent for 15 mins. The cells were blocked with 10% goat serum. And then incubated with 5 ug/ml rabbit anti-NCOR2 antibody and mouse anti-Tubulin Alpha antibody overnight at 4oC. DyLight 488 Conjugated Goat Anti-Rabbit IgG and Cy3 Conjugated Goat Anti-Mouse IgG were used as secondary antibody at 1:500 dilution and incubated for 30 minutes at 37oC. Visualize using a fluorescence microscope and filter sets appropriate for the label used.
Western blot analysis of NCOR2 using anti-NCOR2 antibody. Electrophoresis was performed on a 8% SDS-PAGE gel at 80V (Stacking gel) / 120V (Resolving gel) for 2 hours. Lane 1: human PC-3 whole cell lysates, Lane 2: human whole cell lysates. After electrophoresis, proteins were transferred to a nitrocellulose membrane at 150 mA for 50-90 minutes. Blocked the membrane with 5% non-fat milk/TBS for 1.5 hour at RT. The membrane was incubated with rabbit anti-NCOR2 antibody at 0.5 ug/ml overnight at 4oC, then washed with TBS-0.1%Tween 3 times with 5 minutes each and probed with a goat anti-rabbit IgG-HRP secondary antibody at a dilution of 1:5000 for 1.5 hour at RT. The signal is developed using an ECL Plus Western Blotting Substrate with Tanon 5200 system. Predicted molecular weight: 267-274 kDa, ~81 kDa (multiple isoforms).
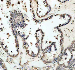
Immunohistochemical staining of NCOR2 using anti-NCOR2 antibody. NCOR2 was detected in a paraffin-embedded section of human ovarican cancer tissue. Heat mediated antigen retrieval was performed in EDTA buffer (pH 8.0, epitope retrieval solution). The tissue section was blocked with 10% goat serum. The tissue section was then incubated with 2 ug/ml rabbit anti-NCOR2 antibody overnight at 4oC. Peroxidase Conjugated Goat Anti-rabbit IgG was used as secondary antibody and incubated for 30 minutes at 37oC. The tissue section was developed using an HRP secondary and DAB substrate.
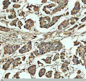
Immunohistochemical staining of NCOR2 using anti-NCOR2 antibody. NCOR2 was detected in a paraffin-embedded section of human breast cancer tissue. Heat mediated antigen retrieval was performed in EDTA buffer (pH 8.0, epitope retrieval solution). The tissue section was blocked with 10% goat serum. The tissue section was then incubated with 2 ug/ml rabbit anti-NCOR2 antibody overnight at 4oC. Peroxidase Conjugated Goat Anti-rabbit IgG was used as secondary antibody and incubated for 30 minutes at 37oC. The tissue section was developed using an HRP secondary and DAB substrate.
Flow Cytometry analysis of cells using anti-NCOR2 antibody. Overlay histogram showing cells stained with (Blue line). To facilitate intracellular staining, cells were fixed with 4% paraformaldehyde and permeabilized with permeabilization buffer. The cells were blocked with 10% normal goat serum. And then incubated with rabbit anti-NCOR2 antibody (1 ug/million cells) for 30 min at 20oC. DyLight 488 conjugated goat anti-rabbit IgG (5-10 ug/million cells) was used as secondary antibody for 30 minutes at 20oC. Isotype control antibody (Green line) was rabbit IgG (1 ug/million cells) used under the same conditions. Unlabelled sample without incubation with primary antibody and secondary antibody (Red line) was used as a blank control.
Availability 1-2 days
Species Reactivity Human
Format Lyophilized
Host Rabbit
Clonality Polyclonal (rabbit origin)
Isotype Rabbit IgG
Purity Immunogen affinity purified
Buffer Each vial contains 4 mg Trehalose, 0.9 mg NaCl, 0.2 mg Na2HPO4.
UniProt Q9Y618
Localization Nuclear
Applications ELISA : 0.1-0.5ug/ml
Flow Cytometry : 1-3ug/million cells
Immunofluorescence : 5ug/ml
Immunohistochemistry : 2-5ug/ml
Immunocytochemistry : 5ug/ml
Western Blot : 0.25-0.5ug/ml
Limitations This NCOR2 antibody is available for research use only.
Review this product on BioCompare and get a $20 Amazon gift card

Related Products

Description

The NCOR2 antibody targets Nuclear receptor corepressor 2, a transcriptional regulator encoded by the NCOR2 gene. Also known as silencing mediator for retinoid and thyroid hormone receptors (SMRT), this large nuclear protein functions as a scaffold that recruits histone deacetylases (HDACs) and other chromatin-modifying enzymes to suppress gene transcription. Nuclear receptor corepressor 2 interacts with unliganded nuclear hormone receptors, transcription factors, and coregulator complexes to fine-tune gene expression across diverse physiological systems. The NCOR2 antibody allows researchers to explore this protein's roles in transcriptional repression, cell differentiation, and metabolic control.

Nuclear receptor corepressor 2 contains multiple repression domains, nuclear receptor�interaction motifs, and regions that bind HDAC3. By forming multiprotein complexes, NCOR2 promotes chromatin condensation and transcriptional silencing through histone deacetylation. The NCOR2 antibody enables visualization of this protein in nuclear extracts and tissue samples, supporting studies that examine gene regulation by thyroid hormone, retinoic acid, glucocorticoid, and estrogen receptors. Through these interactions, NCOR2 modulates key pathways governing metabolism, development, and circadian rhythm.

Mutations or altered expression of NCOR2 disrupt hormonal and metabolic balance, contributing to endocrine and developmental disorders. In addition, aberrant nuclear receptor corepressor 2 function has been linked to oncogenesis, particularly in breast and prostate cancers, where loss of repression leads to hormone-independent growth. The NCOR2 antibody is used to assess expression levels and nuclear localization patterns, helping identify correlations between corepressor dysfunction and tumor progression. By supporting detection of NCOR2 in cancer tissues, this antibody aids in understanding transcriptional misregulation associated with tumorigenesis.

Beyond hormone receptor signaling, NCOR2 coordinates repression of inflammatory and immune genes by interacting with transcription factors such as NF-?B and STATs. It participates in maintaining immune tolerance and suppressing chronic inflammation. The NCOR2 antibody enables functional studies into these processes, revealing how corepressor complexes shape immune gene expression. In the central nervous system, NCOR2 also influences neuronal differentiation and synaptic plasticity, underscoring its role as a global regulator of chromatin dynamics.

The NCOR2 antibody is validated for western blotting, immunofluorescence, and immunohistochemistry, exhibiting strong nuclear staining consistent with its role as a transcriptional corepressor. NSJ Bioreagents provides this antibody with high specificity and reproducibility for studies of epigenetic control and receptor signaling. By enabling accurate detection of Nuclear receptor corepressor 2, the NCOR2 antibody supports ongoing research into chromatin remodeling, transcriptional regulation, and disease mechanisms tied to epigenetic imbalance.

Application Notes

Optimal dilution of the NCOR2 antibody should be determined by the researcher.

Immunogen

E.coli-derived human NCOR2 recombinant protein (Position: A1162-S1362) was used as the immunogen for the NCOR2 antibody.

Storage

After reconstitution, the NCOR2 antibody can be stored for up to one month at 4oC. For long-term, aliquot and store at -20oC. Avoid repeated freezing and thawing.

Cross
Bulk Quote Request Form
Name*:
Organization*:
Email*:
Phone Number*:
Catalog No.*:
Comments and Specifics(amount, formulation, etc.)*:
Validation code: Captchapackage Image


Can't read the image? click here to refresh.
    *required field

Your bulk quote request has been submitted successfully!

Please contact us if you have any questions.