• Tel: 858.663.9055
  • SeparatorEmail: info@nsjbio.com
  • Tel: 858.663.9055
  • Email: info@nsjbio.com
Home >> Antibodies >> NCOA4 Antibody / Nuclear receptor coactivator 4

NCOA4 Antibody / Nuclear receptor coactivator 4 (RQ7351)

  Catalog No Formulation Size Price (USD)  
Image RQ7351 0.5mg/ml if reconstituted with 0.2ml sterile DI water 100 ug 449
Bulk quote request
Western blot testing of 1) rat liver, 2) rat RH35, 3) mouse liver and 4) mouse HEPA1-6 cell lysate with NCOA4 antibody. Expected molecular weight ~70 kDa.
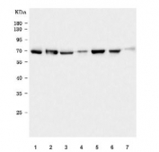
Western blot testing of human 1) 293T, 2) PC-3, 3) HeLa, 4) HL60, 5) HepG2, 6) Daudi and 7) A431 cell lysate with NCOA4 antibody. Expected molecular weight ~70 kDa.
Flow cytometry testing of fixed and permeabilized human HL60 cells with NCOA4 antibody at 1ug/million cells (blocked with goat sera); Red=cells alone, Green=isotype control, Blue= NCOA4 antibody.
Availability 1-3 business days
Species Reactivity Human, Mouse, Rat
Format Antigen affinity purified
Host Rabbit
Clonality Polyclonal (rabbit origin)
Isotype Rabbit IgG
Purity Antigen affinity purified
Buffer Lyophilized from 1X PBS with 2% Trehalose
UniProt Q13772
Applications Western Blot : 0.5-1ug/ml
Flow Cytometry : 1-3ug/million cells
Direct ELISA : 0.1-0.5ug/ml
Limitations This NCOA4 antibody is available for research use only.
Review this product on BioCompare and get a $20 Amazon gift card

Description

Nuclear receptor coactivator 4 is a protein that in humans is encoded by the NCOA4 gene. This gene encodes an androgen receptor coactivator. The encoded protein interacts with the androgen receptor in a ligand-dependent manner to enhance its transcriptional activity. Chromosomal translocations between this gene and the ret tyrosine kinase gene, also located on chromosome 10, have been associated with papillary thyroid carcinoma. Alternatively spliced transcript variants have been described. Pseudogenes are present on chromosomes 4, 5, 10, and 14.

Application Notes

Optimal dilution of the NCOA4 antibody should be determined by the researcher.

Immunogen

Recombinant human protein (amino acids R14-M614) was used as the immunogen for the NCOA4 antibody.

Storage

After reconstitution, the NCOA4 antibody can be stored for up to one month at 4oC. For long-term, aliquot and store at -20oC. Avoid repeated freezing and thawing.

Cross
Bulk Quote Request Form
Name*:
Organization*:
Email*:
Phone Number*:
Catalog No.*:
Comments and Specifics(amount, formulation, etc.)*:
Validation code: Captchapackage Image


Can't read the image? click here to refresh.
    *required field

Your bulk quote request has been submitted successfully!

Please contact us if you have any questions.