• Tel: 858.663.9055
  • SeparatorEmail: info@nsjbio.com
  • Tel: 858.663.9055
  • Email: info@nsjbio.com
Home >> Antibodies >> NCOA2 Antibody / Nuclear receptor coactivator 2

NCOA2 Antibody / Nuclear receptor coactivator 2 (FY12061)

  Catalog No Formulation Size Price (USD)  
Image FY12061 Adding 0.2 ml of distilled water will yield a concentration of 500 ug/ml 100 ug 449
Bulk quote request
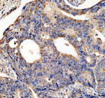
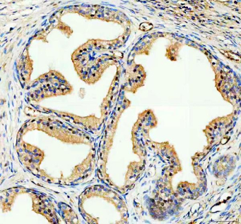
IHC analysis of NCOA2 using anti-NCOA2 antibody. NCOA2 was detected in a paraffin-embedded section of human prostate hyperplasia cancer tissue. Heat mediated antigen retrieval was performed in EDTA buffer (pH 8.0, epitope retrieval solution). The tissue section was blocked with 10% goat serum. The tissue section was then incubated with 2 ug/ml rabbit anti-NCOA2 antibody overnight at 4oC. Peroxidase Conjugated Goat Anti-rabbit IgG was used as secondary antibody and incubated for 30 minutes at 37oC. The tissue section was developed using an HRP secondary and DAB substrate.
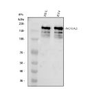
Western blot analysis of NCOA2 using anti-NCOA2 antibody. Electrophoresis was performed on a 8% SDS-PAGE gel at 80V (Stacking gel) / 120V (Resolving gel) for 2 hours. Lane 1: human HEL whole cell lysates, Lane 2: human RT4 whole cell lysates. After electrophoresis, proteins were transferred to a nitrocellulose membrane at 150 mA for 50-90 minutes. Blocked the membrane with 5% non-fat milk/TBS for 1.5 hour at RT. The membrane was incubated with rabbit anti-NCOA2 antibody at 0.5 ug/ml overnight at 4oC, then washed with TBS-0.1%Tween 3 times with 5 minutes each and probed with a goat anti-rabbit IgG-HRP secondary antibody at a dilution of 1:5000 for 1.5 hour at RT. The signal is developed using an ECL Plus Western Blotting Substrate with Tanon 5200 system. The expected band size for NCOA2 is at 159 kDa and the protein is commonly observed at 160-180 kDa due to phosphorylation. The smaller immunoreactive forms (100–120 kDa) are most likely due to proteolytic processing or alternative splicing.
IHC analysis of NCOA2 using anti-NCOA2 antibody. NCOA2 was detected in a paraffin-embedded section of human colon cancer tissue. Heat mediated antigen retrieval was performed in EDTA buffer (pH 8.0, epitope retrieval solution). The tissue section was blocked with 10% goat serum. The tissue section was then incubated with 2 ug/ml rabbit anti-NCOA2 antibody overnight at 4oC. Peroxidase Conjugated Goat Anti-rabbit IgG was used as secondary antibody and incubated for 30 minutes at 37oC. The tissue section was developed using an HRP secondary and DAB substrate.
Immunofluorescent staining of NCOA2 using anti-NCOA2 antibody (green) and anti-Tubulin Alpha antibody (red). NCOA2 was detected in immunocytochemical section of U2OS cell. Enzyme antigen retrieval was performed using IHC enzyme antigen retrieval reagent for 15 mins. The cells were blocked with 10% goat serum. And then incubated with 5 ug/ml rabbit anti-NCOA2 antibody and mouse anti-Tubulin Alpha antibody overnight at 4oC. DyLight 488 Conjugated Goat Anti-Rabbit IgG and Cy3 Conjugated Goat Anti-Mouse IgG were used as secondary antibody at 1:500 dilution and incubated for 30 minutes at 37oC. The section was counterstained with DAPI. Visualize using a fluorescence microscope and filter sets appropriate for the label used.
Flow Cytometry analysis of MCF-7 cells using anti-NCOA2 antibody. Overlay histogram showing MCF-7 cells stained with (Blue line). To facilitate intracellular staining, cells were fixed with 4% paraformaldehyde and permeabilized with permeabilization buffer. The cells were blocked with 10% normal goat serum. And then incubated with rabbit anti-NCOA2 antibody (1 ug/million cells) for 30 min at 20oC. DyLight 488 conjugated goat anti-rabbit IgG (5-10 ug/million cells) was used as secondary antibody for 30 minutes at 20oC. Isotype control antibody (Green line) was rabbit IgG (1 ug/million cells) used under the same conditions. Unlabelled sample without incubation with primary antibody and secondary antibody (Red line) was used as a blank control.
Availability 1-2 days
Species Reactivity Human
Format Lyophilized
Host Rabbit
Clonality Polyclonal (rabbit origin)
Isotype Rabbit IgG
Purity Immunogen affinity purified
Buffer Each vial contains 4 mg Trehalose, 0.9 mg NaCl, 0.2 mg Na2HPO4.
UniProt Q15596
Applications Western Blot : 0.25-0.5ug/ml
Immunohistochemistry : 2-5ug/ml
Immunocytochemistry/Immunofluorescence : 5ug/ml
Flow Cytometry : 1-3ug/million cells
ELISA : 0.1-0.5ug/ml
Limitations This NCOA2 antibody is available for research use only.
Review this product on BioCompare and get a $20 Amazon gift card

Description

NCOA2 antibody detects Nuclear receptor coactivator 2, encoded by the NCOA2 gene. Nuclear receptor coactivator 2 is a transcriptional coactivator that interacts with nuclear hormone receptors and enhances their transcriptional activity. NCOA2 antibody provides researchers with a valuable reagent for studying gene regulation, endocrine signaling, and cancer biology.

Nuclear receptor coactivator 2, also called SRC2 or GRIP1, belongs to the p160 family of coactivators. Research using NCOA2 antibody has shown that it interacts with estrogen receptor, glucocorticoid receptor, thyroid hormone receptor, and peroxisome proliferator-activated receptor. By recruiting histone acetyltransferases and chromatin remodeling complexes, NCOA2 promotes transcriptional activation in response to hormones and ligands.

Studies with NCOA2 antibody have revealed that it is widely expressed in endocrine tissues, brain, and muscle. Its ability to act as a transcriptional scaffold allows integration of multiple signaling inputs, fine-tuning transcriptional responses. This makes NCOA2 central to metabolism, reproduction, and development.

Dysregulation of NCOA2 has been linked to endocrine disorders and cancer. Research using NCOA2 antibody has shown that chromosomal translocations involving NCOA2 occur in acute lymphoblastic leukemia and mesenchymal tumors. Overexpression has also been observed in prostate and breast cancers, where NCOA2 enhances oncogenic signaling. These findings underscore its importance as a biomarker and potential therapeutic target.

NCOA2 antibody is widely used in chromatin immunoprecipitation, western blotting, and immunohistochemistry. Chromatin immunoprecipitation identifies nuclear receptor binding sites, western blotting quantifies coactivator expression, and immunohistochemistry demonstrates nuclear localization in hormone-responsive tissues. These methods make NCOA2 antibody essential for transcription and cancer research.

By providing validated NCOA2 antibody reagents, NSJ Bioreagents supports studies into transcriptional regulation, hormone signaling, and oncogenesis. Detection of Nuclear receptor coactivator 2 provides researchers with insight into how nuclear coactivators integrate signaling pathways and control gene expression.

Application Notes

Optimal dilution of the NCOA2 antibody should be determined by the researcher.

Immunogen

E.coli-derived human NCOA2 recombinant protein (Position: E297-E1071) was used as the immunogen for the NCOA2 antibody.

Storage

After reconstitution, the NCOA2 antibody can be stored for up to one month at 4oC. For long-term, aliquot and store at -20oC. Avoid repeated freezing and thawing.

Cross
Bulk Quote Request Form
Name*:
Organization*:
Email*:
Phone Number*:
Catalog No.*:
Comments and Specifics(amount, formulation, etc.)*:
Validation code: Captchapackage Image


Can't read the image? click here to refresh.
    *required field

Your bulk quote request has been submitted successfully!

Please contact us if you have any questions.