• Tel: 858.663.9055
  • SeparatorEmail: info@nsjbio.com
  • Tel: 858.663.9055
  • Email: info@nsjbio.com
Home >> Antibodies >> NCLN Antibody / Nicalin

NCLN Antibody / Nicalin (FY12359)

  Catalog No Formulation Size Price (USD)  
Image FY12359 Adding 0.2 ml of distilled water will yield a concentration of 500 ug/ml 100 ug 449
Bulk quote request
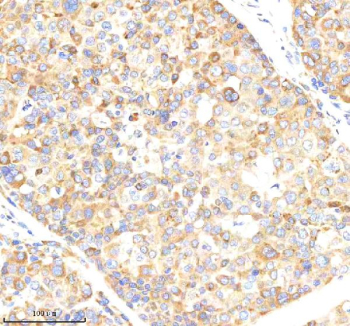
Immunohistochemical staining of NCLN using anti-NCLN antibody. NCLN was detected in a paraffin-embedded section of human liver cancer tissue. Heat mediated antigen retrieval was performed in EDTA buffer (pH 8.0, epitope retrieval solution). The tissue section was blocked with 10% goat serum. The tissue section was then incubated with 2 ug/ml rabbit anti-NCLN antibody overnight at 4oC. Peroxidase Conjugated Goat Anti-rabbit IgG was used as secondary antibody and incubated for 30 minutes at 37oC. The tissue section was developed using an HRP secondary and DAB substrate.
Western blot analysis of NCLN using anti-NCLN antibody. Lane 1: human CCRF-CEM whole cell lysates, Lane 2: human HUH-7 whole cell lysates, Lane 3: rat skeletal muscle tissue lysates, Lane 4: rat L6 whole cell lysates, Lane 5: mouse pancreas tissue lysates, Lane 6: mouse skeletal muscle tissue lysates, Lane 7: mouse Neuro-2a whole cell lysates. After electrophoresis, proteins were transferred to a nitrocellulose membrane at 150 mA for 50-90 minutes. Blocked the membrane with 5% non-fat milk/TBS for 1.5 hour at RT. The membrane was incubated with rabbit anti-NCLN antibody at 0.5 ug/ml overnight at 4oC, then washed with TBS-0.1%Tween 3 times with 5 minutes each and probed with a goat anti-rabbit IgG-HRP secondary antibody at a dilution of 1:5000 for 1.5 hour at RT. The signal was developed using enhanced chemiluminescent. The expected molecular weight of NCLN is ~63 kDa.
Immunofluorescent staining of NCLN using anti-NCLN antibody (green). NCLN was detected in an immunocytochemical section of HELA cells. Enzyme antigen retrieval was performed using IHC enzyme antigen retrieval reagent for 15 mins. The cells were blocked with 10% goat serum. And then incubated with 5 ug/ml rabbit anti-NCLN antibody overnight at 4oC. DyLight 488 Conjugated Goat Anti-Rabbit IgG was used as secondary antibody at 1:500 dilution and incubated for 30 minutes at 37oC. The section was counterstained with DAPI nuclear stain (blue). Visualize using a fluorescence microscope and filter sets appropriate for the label used.
Flow Cytometry analysis of JK cells using anti-NCLN antibody. Overlay histogram showing JK cells stained with (Blue line). To facilitate intracellular staining, cells were fixed with 4% paraformaldehyde and permeabilized with permeabilization buffer. The cells were blocked with 10% normal goat serum. And then incubated with rabbit anti-NCLN antibody (1 ug/million cells) for 30 min at 20oC. DyLight 488 conjugated goat anti-rabbit IgG (5-10 ug/million cells) was used as secondary antibody for 30 minutes at 20oC. Isotype control antibody (Green line) was rabbit IgG (1 ug/million cells) used under the same conditions. Unlabelled sample without incubation with primary antibody and secondary antibody (Red line) was used as a blank control.
Availability 1-2 days
Species Reactivity Human, Mouse, Rat
Format Lyophilized
Host Rabbit
Clonality Polyclonal (rabbit origin)
Isotype Rabbit IgG
Purity Immunogen affinity purified
Buffer Each vial contains 4 mg Trehalose, 0.9 mg NaCl, 0.2 mg Na2HPO4.
UniProt Q969V3
Localization Cytoplasm (ER)
Applications Western Blot : 0.25-0.5ug/ml
Immunohistochemistry : 2-5ug/ml
Immunocytochemistry : 5ug/ml
Immunofluorescence : 5ug/ml
Flow Cytometry : 1-3ug/million cells
ELISA : 0.1-0.5ug/ml
Limitations This NCLN antibody is available for research use only.
Review this product on BioCompare and get a $20 Amazon gift card

Description

The NCLN antibody targets Nicalin, a membrane protein encoded by the NCLN gene that functions as a component of the Nicalin-NOMO-TMEM147 complex. This complex regulates the maturation and assembly of membrane and secretory proteins within the endoplasmic reticulum (ER). Nicalin plays a vital role in early development, cell differentiation, and signaling processes associated with protein trafficking and folding. The NCLN antibody provides researchers with a highly specific reagent to explore how Nicalin contributes to ER homeostasis and membrane protein biosynthesis.

Nicalin is an integral membrane glycoprotein with several transmembrane domains that anchor it to the ER. It interacts with NOMO (Nodal modulator) and TMEM147 to form a multiprotein assembly that negatively regulates Nodal signaling, a pathway critical for embryonic patterning and left-right asymmetry. The NCLN antibody allows visualization of this protein complex and quantification of Nicalin expression in cultured cells and tissue samples, enabling insights into how ER-based regulatory systems influence developmental signaling.

Beyond embryogenesis, Nicalin maintains normal ER function in adult cells by modulating protein assembly and trafficking. The NCLN antibody is particularly valuable for identifying changes in Nicalin expression during ER stress or unfolded protein response activation. These studies contribute to understanding how misfolded proteins accumulate in disease states such as neurodegeneration, metabolic disorders, and cancer. The localization of Nicalin at the ER membrane and its role in controlling protein export highlight its importance in maintaining proteostasis and cellular viability.

Recent studies suggest that Nicalin may also regulate the biosynthesis of specific receptor and transporter proteins, linking it to neurotransmission and metabolic control. The NCLN antibody supports such investigations by enabling detection of Nicalin across various cell types, including neurons, epithelial cells, and hepatocytes. Its use in immunofluorescence and immunohistochemistry provides high-resolution imaging of ER organization and allows researchers to study how alterations in ER machinery affect overall cell physiology.

NSJ Bioreagents provides the NCLN antibody as a validated reagent for applications including western blotting, immunofluorescence, and immunohistochemistry. It offers strong specificity for Nicalin with minimal cross-reactivity, ensuring reproducible results. By facilitating the study of this ER-resident regulatory protein, the NCLN antibody supports research into cellular protein processing, development, and signal modulation. Continued exploration using this antibody will further elucidate how Nicalin and its associated complex maintain ER balance and contribute to human health and disease.

Application Notes

Optimal dilution of the NCLN antibody should be determined by the researcher.

Immunogen

E.coli-derived human NCLN recombinant protein (Position: Q59-Q563) was used as the immunogen for the NCLN antibody.

Storage

After reconstitution, the NCLN antibody can be stored for up to one month at 4oC. For long-term, aliquot and store at -20oC. Avoid repeated freezing and thawing.

Cross
Bulk Quote Request Form
Name*:
Organization*:
Email*:
Phone Number*:
Catalog No.*:
Comments and Specifics(amount, formulation, etc.)*:
Validation code: Captchapackage Image


Can't read the image? click here to refresh.
    *required field

Your bulk quote request has been submitted successfully!

Please contact us if you have any questions.