• Tel: 858.663.9055
  • SeparatorEmail: info@nsjbio.com
  • Tel: 858.663.9055
  • Email: info@nsjbio.com
Home >> Antibodies >> NCDN Antibody / Neurochondrin

NCDN Antibody / Neurochondrin (FY12675)

  Catalog No Formulation Size Price (USD)  
Image FY12675 Adding 0.2 ml of distilled water will yield a concentration of 500 ug/ml 100 ug 449
Bulk quote request
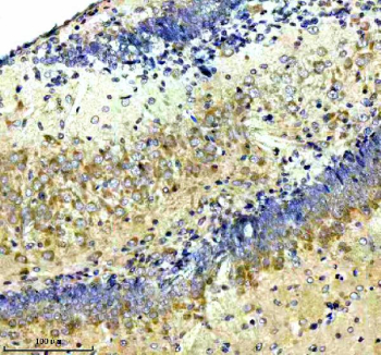
Immunohistochemical staining of NCDN using anti-NCDN antibody. NCDN was detected in a paraffin-embedded section of mouse brain tissue. Heat mediated antigen retrieval was performed in EDTA buffer (pH 8.0, epitope retrieval solution). The tissue section was blocked with 10% goat serum. The tissue section was then incubated with 2 ug/ml rabbit anti-NCDN antibody overnight at 4oC. Peroxidase Conjugated Goat Anti-rabbit IgG was used as secondary antibody and incubated for 30 minutes at 37oC. The tissue section was developed using an HRP secondary and DAB substrate.
Western blot analysis of NCDN using anti-NCDN antibody. Electrophoresis was performed on a 10% SDS-PAGE gel at 80V (Stacking gel) / 120V (Resolving gel) for 2 hours. Lane 1: human HEL whole cell lysates, Lane 2: human 293T whole cell lysates, Lane 3: human SIHA whole cell lysates, Lane 4: human Hela whole cell lysates, Lane 5: rat brain tissue lysates, Lane 6: rat C6 whole cell lysates, Lane 7: mouse brain tissue lysates. After electrophoresis, proteins were transferred to a nitrocellulose membrane at 150 mA for 50-90 minutes. Blocked the membrane with 5% non-fat milk/TBS for 1.5 hour at RT. The membrane was incubated with rabbit anti-NCDN antibody at 0.5 ug/ml overnight at 4oC, then washed with TBS-0.1%Tween 3 times with 5 minutes each and probed with a goat anti-rabbit IgG-HRP secondary antibody at a dilution of 1:5000 for 1.5 hour at RT. The signal was developed using an ECL Plus Western Blotting Substrate. A specific band was detected for NCDN at approximately 79 kDa. The expected molecular weight of NCDN is ~79 kDa.
Immunohistochemical staining of NCDN using anti-NCDN antibody. NCDN was detected in a paraffin-embedded section of mouse brain tissue. Heat mediated antigen retrieval was performed in EDTA buffer (pH 8.0, epitope retrieval solution). The tissue section was blocked with 10% goat serum. The tissue section was then incubated with 2 ug/ml rabbit anti-NCDN antibody overnight at 4oC. Peroxidase Conjugated Goat Anti-rabbit IgG was used as secondary antibody and incubated for 30 minutes at 37oC. The tissue section was developed using an HRP secondary and DAB substrate.
Immunohistochemical staining of NCDN using anti-NCDN antibody. NCDN was detected in a paraffin-embedded section of rat brain tissue. Heat mediated antigen retrieval was performed in EDTA buffer (pH 8.0, epitope retrieval solution). The tissue section was blocked with 10% goat serum. The tissue section was then incubated with 2 ug/ml rabbit anti-NCDN antibody overnight at 4oC. Peroxidase Conjugated Goat Anti-rabbit IgG was used as secondary antibody and incubated for 30 minutes at 37oC. The tissue section was developed using an HRP secondary and DAB substrate.
Immunofluorescent staining of NCDN using anti-NCDN antibody (red). NCDN was detected in a paraffin-embedded section of mouse brain tissue. Heat mediated antigen retrieval was performed in EDTA buffer (pH 8.0, epitope retrieval solution). The tissue section was blocked with 10% goat serum. The tissue section was then incubated with 5 ug/ml rabbit anti-NCDN antibody overnight at 4oC. Cy3 Conjugated Goat Anti-Rabbit IgG was used as secondary antibody at 1:500 dilution and incubated for 30 minutes at 37oC. The section was counterstained with DAPI nuclear stain (blue). Visualize using a fluorescence microscope and filter sets appropriate for the label used.
Immunofluorescent staining of NCDN using anti-NCDN antibody (red). NCDN was detected in a paraffin-embedded section of rat brain tissue. Heat mediated antigen retrieval was performed in EDTA buffer (pH 8.0, epitope retrieval solution). The tissue section was blocked with 10% goat serum. The tissue section was then incubated with 5 ug/ml rabbit anti-NCDN antibody overnight at 4oC. Cy3 Conjugated Goat Anti-Rabbit IgG was used as secondary antibody at 1:500 dilution and incubated for 30 minutes at 37oC. The section was counterstained with DAPI nuclear stain (blue). Visualize using a fluorescence microscope and filter sets appropriate for the label used.
Flow Cytometry analysis of SIHA cells using anti-NCDN antibody. Overlay histogram showing SIHA cells stained with (Blue line). To facilitate intracellular staining, cells were fixed with 4% paraformaldehyde and permeabilized with permeabilization buffer. The cells were blocked with 10% normal goat serum. And then incubated with rabbit anti-NCDN antibody (1 ug/million cells) for 30 min at 20oC. DyLight 488 conjugated goat anti-rabbit IgG (5-10 ug/million cells) was used as secondary antibody for 30 minutes at 20oC. Isotype control antibody (Green line) was rabbit IgG (1 ug/million cells) used under the same conditions. Unlabelled sample without incubation with primary antibody and secondary antibody (Red line) was used as a blank control.
Immunohistochemical staining of NCDN using anti-NCDN antibody. NCDN was detected in a paraffin-embedded section of human brain tissue. Heat mediated antigen retrieval was performed in EDTA buffer (pH 8.0, epitope retrieval solution). The tissue section was blocked with 10% goat serum. The tissue section was then incubated with 2 ug/ml rabbit anti-NCDN antibody overnight at 4oC. Peroxidase Conjugated Goat Anti-rabbit IgG was used as secondary antibody and incubated for 30 minutes at 37oC. The tissue section was developed using an HRP secondary and DAB substrate.
Availability 1-2 days
Species Reactivity Human, Mouse, Rat
Format Lyophilized
Host Rabbit
Clonality Polyclonal (rabbit origin)
Isotype Rabbit IgG
Purity Immunogen affinity purified
Buffer Each vial contains 4 mg Trehalose, 0.9 mg NaCl, 0.2 mg Na2HPO4.
UniProt Q9UBB6
Localization Cytoplasm
Applications Western Blot : 0.25-0.5ug/ml
Immunohistochemistry : 2-5ug/ml
Immunofluorescence : 5ug/ml
Flow Cytometry : 1-3ug/million cells
ELISA : 0.1-0.5ug/ml
Limitations This NCDN antibody is available for research use only.
Review this product on BioCompare and get a $20 Amazon gift card

Description

NCDN antibody recognizes Neurochondrin, a cytoplasmic protein that modulates neuronal differentiation, receptor signaling, and synaptic plasticity. Neurochondrin is widely expressed in the central nervous system, including the hippocampus, cerebellum, and cerebral cortex, where it influences long-term synaptic potentiation and memory formation. The protein functions as a negative regulator of metabotropic glutamate receptor 5 (mGluR5) signaling by interacting with G-protein coupled receptor complexes, thereby controlling calcium homeostasis and dendritic spine development. During neural differentiation, Neurochondrin promotes neurite outgrowth and cytoskeletal organization, making it a key factor in neuronal morphogenesis.

Neurochondrin, encoded by the NCDN gene on chromosome 12q13.3, is approximately 79 kilodaltons in size and highly conserved among vertebrates. It is enriched in postmitotic neurons and functions as a scaffold linking cell surface receptors with intracellular signaling cascades. The protein associates with calmodulin and modulates calcium-dependent processes critical for neuronal excitability. In animal models, loss of NCDN expression disrupts spatial learning and synaptic signaling, underscoring its role in cognitive function. Furthermore, mutations or altered expression of NCDN have been linked to neurodevelopmental disorders and schizophrenia, highlighting its importance in brain health and disease.

The NCDN antibody is used to study neuronal signaling and synaptic regulation in both developmental and disease contexts. In research applications, it detects Neurochondrin by western blot, immunocytochemistry, and immunohistochemistry. The antibody identifies distinct cytoplasmic localization in neurons, particularly within dendritic arbors, consistent with its role in synaptic modulation. Beyond the brain, Neurochondrin expression has been detected in cardiac and endocrine tissues, suggesting additional regulatory functions outside the nervous system. Proteomic studies have also linked NCDN to cytoskeletal organization and intracellular trafficking networks.

Through its interactions with signaling proteins such as CaMKII and GRM5, Neurochondrin integrates receptor activation with downstream pathways influencing synaptic plasticity and learning. Its modulation of calcium signaling provides a mechanistic link between neurotransmission and neuronal adaptation. Because of these diverse regulatory roles, the NCDN antibody is a valuable reagent for exploring molecular mechanisms underlying cognition, synaptic remodeling, and psychiatric disorders. NSJ Bioreagents offers this antibody validated for high specificity and sensitivity in neural tissue applications.

Application Notes

Optimal dilution of the NCDN antibody should be determined by the researcher.

Immunogen

E.coli-derived human NCDN recombinant protein (Position: F114-K426) was used as the immunogen for the NCDN antibody.

Storage

After reconstitution, the NCDN antibody can be stored for up to one month at 4oC. For long-term, aliquot and store at -20oC. Avoid repeated freezing and thawing.

Cross
Bulk Quote Request Form
Name*:
Organization*:
Email*:
Phone Number*:
Catalog No.*:
Comments and Specifics(amount, formulation, etc.)*:
Validation code: Captchapackage Image


Can't read the image? click here to refresh.
    *required field

Your bulk quote request has been submitted successfully!

Please contact us if you have any questions.