• Tel: 858.663.9055
  • SeparatorEmail: info@nsjbio.com
  • Tel: 858.663.9055
  • Email: info@nsjbio.com
Home >> Antibodies >> NCAM-L1 Antibody / Neural cell adhesion molecule L1 / L1CAM / CD171

NCAM-L1 Antibody / Neural cell adhesion molecule L1 / L1CAM / CD171 [clone AAFD-12] (FY13410)

  Catalog No Formulation Size Price (USD)  
Image FY13410 Rabbit IgG in phosphate buffered saline, pH 7.4, 150mM NaCl, 0.02% sodium azide and 50% glycerol, 0.4-0.5mg/ml BSA 100 ul 449
Microvalidated Recrabbitmono
Bulk quote request
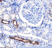
Immunohistochemical staining of FFPE human kidney tissue with NCAM-L1 antibody, HRP-secondary and DAB substrate. HIER: boil tissue sections in pH8 EDTA for 20 min and allow to cool before testing.
Immunohistochemical staining of FFPE human kidney tissue with NCAM-L1 antibody, HRP-secondary and DAB substrate. HIER: boil tissue sections in pH8 EDTA for 20 min and allow to cool before testing.
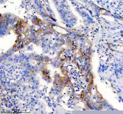
Immunohistochemical staining of FFPE human colon cancer tissue with NCAM-L1 antibody, HRP-secondary and DAB substrate. HIER: boil tissue sections in pH8 EDTA for 20 min and allow to cool before testing.
Western blot testing of human HeLa, SiHa, U-2 OS, MCF7, rat brain and C6 and mouse brain and Neuro-2a cell lysate with NCAM-L1 antibody. Predicted molecular weight ~140 kDa (unglycosylated form). A band is detected at approximately 250 kDa, consistent with the heavily glycosylated form of NCAM-L1. A lower molecular weight band is also observed, consistent with processed or partially glycosylated NCAM-L1 species.
Availability 1-2 days
Species Reactivity Human, Mouse, Rat
Format Liquid
Host Rabbit
Clonality Recombinant Rabbit Monoclonal
Isotype Rabbit IgG
Clone Name AAFD-12
Purity Affinity chromatography
Buffer Rabbit IgG in phosphate buffered saline, pH 7.4, 150mM NaCl, 0.02% sodium azide and 50% glycerol, 0.4-0.5mg/ml BSA.
UniProt P32004
Localization Cytoplasmic, cell membrane
Applications Western Blot : 1:500-1:2000
Immunohistochemistry : 1:50-1:200
Limitations This NCAM-L1 antibody is available for research use only.
Review this product on BioCompare and get a $20 Amazon gift card

Related Products

Description

NCAM-L1 antibody targets Neural cell adhesion molecule L1 (NCAM-L1), also known as L1CAM and CD171, a transmembrane glycoprotein belonging to the immunoglobulin superfamily of cell adhesion molecules. NCAM-L1 is predominantly localized to the plasma membrane, where it mediates calcium-independent cell-cell interactions that are essential for nervous system development and tissue organization. The extracellular region of NCAM-L1 contains multiple immunoglobulin-like and fibronectin type III domains that enable both homophilic binding between adjacent cells and heterophilic interactions with extracellular matrix components and receptors. These structural features position NCAM-L1 as a key organizer of cell surface architecture in developing and mature tissues.

Functionally, Neural cell adhesion molecule L1 plays a central role in neuronal migration, axon guidance, axon fasciculation, and synaptic organization. Through its adhesive properties and associated signaling functions, NCAM-L1 coordinates directional cell movement and neurite outgrowth during neural circuit formation. The cytoplasmic domain of NCAM-L1 interacts with adaptor proteins and cytoskeletal elements, linking extracellular adhesion events to intracellular signaling pathways that regulate cell shape, motility, and polarity. An NCAM-L1 antibody supports studies examining how adhesion molecules integrate structural and signaling roles during development.

Expression of NCAM-L1 is highest in the developing nervous system, where it is detected in neurons and certain glial populations, but it is also present in selected non-neural tissues where cell migration and dynamic tissue remodeling occur. NCAM-L1 expression is tightly regulated in both spatial and temporal patterns, reflecting its importance in guiding cells through complex microenvironments. Analysis of NCAM-L1 localization and abundance provides insight into mechanisms that govern tissue patterning, connectivity, and structural integrity.

From a biological and disease-relevance perspective, NCAM-L1 has been extensively studied in neurodevelopmental disorders, where altered expression or function can disrupt neuronal connectivity and migration. NCAM-L1 is also investigated in cancer biology, as its expression has been associated with increased cell motility, invasiveness, and metastatic potential in certain tumor types. These observations highlight the broader relevance of NCAM-L1 beyond normal development and underscore its value as a marker of cellular plasticity and migratory behavior.

At the molecular level, NCAM-L1 is encoded by the L1CAM gene and produces a heavily glycosylated protein that typically migrates at approximately 200 to 220 kDa on SDS-PAGE, depending on glycosylation state and proteolytic processing. Multiple molecular forms may be detected due to post-translational modification and cleavage events. Regulation of NCAM-L1 function depends on expression level, membrane distribution, and interaction with binding partners. An NCAM-L1 antibody supports research applications focused on cell adhesion, neural development, and migration-related signaling pathways, with NSJ Bioreagents providing reagents intended for research use.

Application Notes

Optimal dilution of the NCAM-L1 antibody should be determined by the researcher.

Immunogen

A synthesized peptide derived from human Neural cell adhesion molecule L1 protein was used as the immunogen for the NCAM-L1 antibody.

Storage

Store the NCAM-L1 antibody at -20oC.

Cross
Bulk Quote Request Form
Name*:
Organization*:
Email*:
Phone Number*:
Catalog No.*:
Comments and Specifics(amount, formulation, etc.)*:
Validation code: Captchapackage Image


Can't read the image? click here to refresh.
    *required field

Your bulk quote request has been submitted successfully!

Please contact us if you have any questions.