• Tel: 858.663.9055
  • SeparatorEmail: info@nsjbio.com
  • Tel: 858.663.9055
  • Email: info@nsjbio.com
Home >> Antibodies >> NCAM Antibody for WB / CD56 Western Blot Antibody

NCAM Antibody for WB / CD56 Western Blot Antibody [clone NCAM1/9074R] (V4194)

  Catalog No Formulation Size Price (USD)  
Image V4194-100UG 0.2 mg/ml in 1X PBS with 0.1 mg/ml BSA (US sourced), 0.05% sodium azide 100 ug 559
Image
V4194-20UG 0.2 mg/ml in 1X PBS with 0.1 mg/ml BSA (US sourced), 0.05% sodium azide 20 ug 259
Image
V4194SAF-100UG 1 mg/ml in 1X PBS; BSA free, sodium azide free 100 ug 559
Microvalidated Recrabbitmono
Bulk quote request
NCAM Antibody for WB (clone NCAM1/9074R). Western blot analysis of human brain, mouse brain, and rat brain tissue lysates demonstrates multiple bands between approximately 120-180 kDa, consistent with known isoforms of Neural cell adhesion molecule 1 (NCAM1), also known as CD56. These bands correspond to the major NCAM protein variants produced by alternative splicing and post-translational modification. Detection of NCAM1 across human, mouse, and rat brain samples reflects the strong expression of this adhesion molecule in neural tissues and supports its established role in neuronal development and cell-cell adhesion.
NCAM Antibody for WB (clone NCAM1/9074R). Western blot analysis of human brain tissue lysate demonstrates a strong band cluster between approximately 120-180 kDa corresponding to Neural cell adhesion molecule 1 (NCAM1), also known as CD56. The observed band pattern reflects the major NCAM isoforms and glycosylated forms commonly detected in neural tissues. High expression of NCAM1 in brain lysate is consistent with the well-established role of CD56 in neuronal development, synaptic plasticity, and neural cell adhesion.
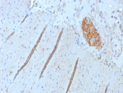
NCAM CD56 Antibody (clone NCAM1/9074R). Immunohistochemistry of FFPE human colon tissue demonstrates membranous and cytoplasmic staining in scattered neural and neuroendocrine-associated structures consistent with expression of Neural cell adhesion molecule 1 (NCAM1), also known as CD56. Brown chromogenic signal highlights NCAM1-positive cells within nerve fibers and localized cell clusters embedded in the surrounding stromal tissue, while most epithelial and stromal cells show minimal staining. Heat-induced epitope retrieval was performed by boiling tissue sections in pH 9 10mM Tris with 1mM EDTA for 20 minutes followed by cooling prior to antibody incubation.
SDS-PAGE Analysis of Purified NCAM CD56 Antibody (NCAM1/9074R). Confirmation of Purity and Integrity of Antibody.
Availability 1-3 business days
Species Reactivity Human, Mouse
Format Purified
Host Rabbit
Clonality Recombinant Rabbit Monoclonal
Isotype Rabbit IgG, kappa
Clone Name NCAM1/9074R
Purity Protein A/G affinity
UniProt P13591 , P13592
Localization Cell surface, Cytoplasm
Applications Immunohistochemistry (FFPE) : 1-2ug/ml for 30 minutes at RT
Western Blot : 2-4ug/ml
Limitations This NCAM antibody is available for research use only.
Review this product on BioCompare and get a $20 Amazon gift card

Related Products

Description

Neural cell adhesion molecule 1 (NCAM1), commonly known as CD56, is a membrane-associated glycoprotein encoded by the NCAM1 gene and belongs to the immunoglobulin superfamily of cell adhesion molecules. NCAM Antibody for WB (clone NCAM1/9074R) is designed for western blot detection of NCAM1 protein and enables analysis of CD56 expression in lysates derived from cultured cells or tissues. Western blot analysis of NCAM1 is frequently used to evaluate protein expression levels, identify major NCAM isoforms, and investigate changes in cell adhesion signaling pathways.

NCAM antibody, also referred to as CD56 antibody or Neural cell adhesion molecule antibody in the literature, detects a glycoprotein that exists in multiple isoforms generated through alternative splicing. The most commonly studied NCAM1 isoforms are approximately 120 kDa, 140 kDa, and 180 kDa, which differ in their cytoplasmic domains and membrane association. In western blot experiments, NCAM proteins often appear as broad or multiple bands due to heavy glycosylation and the presence of polysialic acid modifications that influence electrophoretic mobility.

NCAM1 is widely expressed in neurons and plays a central role in neural development, axonal growth, and synaptic plasticity. Outside the nervous system, CD56 expression is detected on natural killer cells, subsets of activated T cells, and various neuroendocrine cell populations. Because NCAM1 participates in cell-cell adhesion and signaling, analysis of NCAM protein levels by western blot can provide insight into mechanisms governing cell communication, migration, and tissue organization.

In research involving cancer biology, CD56 expression has been associated with tumors that exhibit neural or neuroendocrine differentiation. Western blot analysis of NCAM1 is therefore commonly used to evaluate protein expression in cell models of neuroendocrine tumors, small cell carcinomas, and other malignancies where CD56 is expressed. Detection of NCAM isoforms by western blot can also provide information about protein processing and post-translational modification states that may influence cell adhesion and signaling functions.

NCAM Antibody for WB (clone NCAM1/9074R) provides a tool for detecting Neural cell adhesion molecule / NCAM1 protein in western blot assays. This recombinant rabbit monoclonal antibody supports analysis of CD56 expression levels and isoform patterns in biological samples, enabling researchers to investigate neural adhesion mechanisms, immune cell markers, and signaling pathways associated with NCAM1 function.

Application Notes

1. Optimal dilution of the NCAM antibody for WB should be determined by the researcher.

2. This mAb reacts with an extracellular domain (close to transmembrane) of CD56 NCAM.

Immunogen

A recombinant fragment of human NCAM1/CD56 protein was used as the immunogen for the NCAM antibody.

Storage

Aliquot the NCAM antibody and store frozen at -20oC or colder. Avoid repeated freeze-thaw cycles.

Alternate Names

CD56 antibody, NCAM1 antibody, Neural cell adhesion molecule antibody, Neural cell adhesion molecule 1 antibody, CD56 neural cell adhesion molecule antibody

Cross
Bulk Quote Request Form
Name*:
Organization*:
Email*:
Phone Number*:
Catalog No.*:
Comments and Specifics(amount, formulation, etc.)*:
Validation code: Captchapackage Image


Can't read the image? click here to refresh.
    *required field

Your bulk quote request has been submitted successfully!

Please contact us if you have any questions.