• Tel: 858.663.9055
  • SeparatorEmail: info@nsjbio.com
  • Tel: 858.663.9055
  • Email: info@nsjbio.com
Home >> Antibodies >> NCAD Antibody / N-Cadherin / CDH2

NCAD Antibody / N-Cadherin / CDH2 [clone CDH2/8815R] (V4566)

  Catalog No Formulation Size Price (USD)  
Image V4566-100UG 0.2 mg/ml in 1X PBS with 0.1 mg/ml BSA (US sourced), 0.05% sodium azide 100 ug 559
Image
V4566-20UG 0.2 mg/ml in 1X PBS with 0.1 mg/ml BSA (US sourced), 0.05% sodium azide 20 ug 259
Image
V4566SAF-100UG 1 mg/ml in 1X PBS; BSA free, sodium azide free 100 ug 559
Microvalidated Recrabbitmono
Bulk quote request
NCAD Antibody Brain and Heart Tissue WB. Western blot analysis of N-Cadherin / CDH2 (NCAD) expression across multi-species brain and heart tissue lysates using NCAD antibody clone CDH2/8815R. Lane 1: human brain lysate, Lane 2: mouse brain lysate, Lane 3: rat brain lysate, Lane 4: hamster brain lysate, Lane 5: guinea pig brain lysate, Lane 6: rabbit brain lysate, Lane 7: human heart lysate, Lane 8: mouse heart lysate, Lane 9: rat heart lysate, Lane 10: hamster heart lysate, Lane 11: guinea pig heart lysate, Lane 12: rabbit heart lysate. A band is detected at approximately 120-135 kDa, consistent with the predicted molecular weight of N-Cadherin (CDH2). The strong and consistent signal in both brain and heart tissues highlights the role of NCAD as a key adhesion protein in neural and cardiac cell-cell junctions.
NCAD Antibody Brain and Heart WB. Western blot analysis of N-Cadherin / CDH2 (NCAD) expression in human brain and human heart tissue lysates using NCAD antibody clone CDH2/8815R. Lane 1: human brain lysate, Lane 2: human heart lysate. A band is detected at approximately 120-135 kDa, consistent with the predicted molecular weight of N-Cadherin (CDH2), with the slightly higher apparent migration reflecting known glycosylation of this transmembrane adhesion protein. Strong signal in both brain and heart tissues highlights the role of NCAD as a key adhesion protein in neural and cardiac cell-cell junctions, including synaptic structures and intercalated discs.
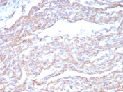
NCAD Antibody Heart Tissue IHC. Immunohistochemical analysis of N-Cadherin / CDH2 (NCAD) expression in formalin-fixed, paraffin-embedded human heart tissue using NCAD antibody clone CDH2/8815R. Predominantly membranous staining is observed in cardiomyocytes, with signal outlining cell-cell junctions consistent with localization at intercalated discs. The staining pattern highlights organized cardiac muscle fibers, while surrounding interstitial areas show low background. HIER: boil tissue sections in pH 9 10mM Tris with 1mM EDTA for 20 min and allow to cool before testing.
Availability 1-3 business days
Species Reactivity Human, Mouse, Rat, Hamster, Rabbit, Guinea pig
Format Purified
Host Rabbit
Clonality Recombinant Rabbit Monoclonal
Isotype Rabbit IgG, kappa
Clone Name CDH2/8815R
Purity Protein A/G affinity
UniProt P19022
Localization Cell surface
Applications Immunohistochemistry (FFPE) : 1-2ug/ml for 30 min at RT (Human)
Western Blot : 2-4ug/ml (Human/Mouse/Rat/Hamster/Rabbit/Guinea pig)
Limitations This NCAD antibody is available for research use only.
Review this product on BioCompare and get a $20 Amazon gift card

Related Products

Description

N-Cadherin (CDH2), commonly referred to as NCAD, is a classical calcium-dependent cell adhesion protein that plays a central role in maintaining structural integrity in both neural and cardiac tissues. N-Cadherin (CDH2) is a single-pass transmembrane glycoprotein localized at the plasma membrane, where it forms adherens junctions through homophilic interactions and anchors to the actin cytoskeleton via catenin family proteins. The NCAD Antibody / N-Cadherin Neural and Cardiac Adhesion Protein Antibody is designed to detect this essential adhesion molecule, which is highly enriched in tissues that require coordinated mechanical stability and intercellular communication.

NCAD antibody, also referred to as N-Cadherin antibody and CDH2 antibody in the literature, recognizes a protein that functions as a core mediator of cell-cell adhesion in both the nervous system and the heart. In neural tissue, N-Cadherin is critical for neuronal migration, neurite outgrowth, synapse formation, and stabilization of neural circuits. In cardiac tissue, it is a defining component of intercalated discs, where it maintains tight coupling between cardiomyocytes and supports synchronized contraction. These roles establish NCAD as a central adhesion protein linking structural organization with functional coordination in highly specialized tissues.

Structurally, N-Cadherin contains five extracellular cadherin repeat domains responsible for calcium-dependent adhesion, a single transmembrane region, and a conserved intracellular domain that binds beta-catenin and p120-catenin to stabilize adherens junctions and regulate intracellular signaling. This conserved architecture supports strong and dynamic cell-cell interactions while also enabling signal transduction pathways that influence cell behavior. N-Cadherin is also glycosylated, resulting in a slightly higher apparent molecular weight on SDS-PAGE than predicted, a reproducible feature observed in brain and heart tissue lysates.

Expression of NCAD is characteristically high in brain and heart tissues, as demonstrated by robust detection in both neural and cardiac lysates. This pattern reflects the fundamental requirement for N-Cadherin in tissues that experience continuous mechanical stress or require precise cellular connectivity. In the brain, this supports synaptic plasticity and network stability, while in the heart it preserves structural cohesion during repeated cycles of contraction. The strong expression observed across these tissue types reinforces the role of NCAD as a key adhesion molecule in maintaining tissue integrity under both dynamic and stable conditions.

Beyond its role in normal physiology, N-Cadherin is implicated in a range of disease processes. Increased NCAD expression is associated with epithelial-to-mesenchymal transition in cancer, where it contributes to enhanced cellular motility and invasive potential. In cardiovascular disease, altered N-Cadherin function can disrupt intercellular junctions and compromise myocardial structure. These associations highlight the importance of NCAD as both a structural protein and a regulator of cellular behavior in pathological contexts.

Clone CDH2/8815R is designed to recognize N-Cadherin with strong and reproducible detection in brain and heart tissues, supporting its use in studies focused on neural and cardiac adhesion biology. The combination of clear western blot detection and biologically relevant expression patterns makes this NCAD antibody particularly useful for investigating adherens junctions, intercellular connectivity, and adhesion-dependent signaling pathways in both normal and disease models.

This antibody is part of a broader antibody panel offered by NSJ Bioreagents.

Application Notes

Optimal dilution of the NCAD antibody should be determined by the researcher.

Immunogen

A recombinant partial protein sequence (within amino acids 605-905) from the human protein was used as the immunogen for the NCAD antibody.

Storage

Aliquot the NCAD antibody and store frozen at -20oC or colder. Avoid repeated freeze-thaw cycles.

Alternate Names

N-Cadherin antibody, CDH2 antibody, Cadherin 2 antibody, NCAD WB antibody, N-Cadherin adhesion antibody

Cross
Bulk Quote Request Form
Name*:
Organization*:
Email*:
Phone Number*:
Catalog No.*:
Comments and Specifics(amount, formulation, etc.)*:
Validation code: Captchapackage Image


Can't read the image? click here to refresh.
    *required field

Your bulk quote request has been submitted successfully!

Please contact us if you have any questions.