• Tel: 858.663.9055
  • SeparatorEmail: info@nsjbio.com
  • Tel: 858.663.9055
  • Email: info@nsjbio.com
Home >> Antibodies >> NASP antibody / Nuclear autoantigenic sperm

NASP antibody / Nuclear autoantigenic sperm (FY12266)

  Catalog No Formulation Size Price (USD)  
Image FY12266 Adding 0.2 ml of distilled water will yield a concentration of 500 ug/ml 100 ug 449
Bulk quote request
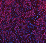
Immunofluorescent staining of NASP using anti-NASP antibody (red). NASP was detected in a paraffin-embedded section of mouse testis tissue. Heat mediated antigen retrieval was performed in EDTA buffer (pH 8.0, epitope retrieval solution). The tissue section was blocked with 10% goat serum. The tissue section was then incubated with 5 ug/ml rabbit anti-NASP antibody overnight at 4oC. Cy3 Conjugated Goat Anti-Rabbit IgG was used as secondary antibody at 1:500 dilution and incubated for 30 minutes at 37oC. The section was counterstained with DAPI nuclear stain (blue). Visualize using a fluorescence microscope and filter sets appropriate for the label used.
Western blot analysis of NASP using anti-NASP antibody. Electrophoresis was performed on a 8% SDS-PAGE gel at 80V (Stacking gel) / 120V (Resolving gel) for 2 hours. Lane 1: human HEL whole cell lysates, Lane 2: human whole cell lysates, Lane 3: human U2OS whole cell lysates, Lane 4: human THP-1 whole cell lysates, Lane 5: rat testis tissue lysates, Lane 6: rat C6 whole cell lysates, Lane 7: mouse testis tissue lysates, Lane 8: mouse Neuro-2a whole cell lysates. After electrophoresis, proteins were transferred to a nitrocellulose membrane at 150 mA for 50-90 minutes. Blocked the membrane with 5% non-fat milk/TBS for 1.5 hour at RT. The membrane was incubated with rabbit anti-NASP antibody at 0.5 ug/ml overnight at 4oC, then washed with TBS-0.1%Tween 3 times with 5 minutes each and probed with a goat anti-rabbit IgG-HRP secondary antibody at a dilution of 1:5000 for 1.5 hour at RT. The signal is developed using an ECL Plus Western Blotting Substratewith Tanon 5200 system. The expected band size for the tNASP isoform is ~150 kDa and the sNASP isoform is ~70 kDa.
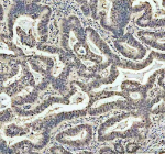
Immunohistochemical staining of NASP using anti-NASP antibody. NASP was detected in a paraffin-embedded section of human stomach cancer tissue. Heat mediated antigen retrieval was performed in EDTA buffer (pH 8.0, epitope retrieval solution). The tissue section was blocked with 10% goat serum. The tissue section was then incubated with 2 ug/ml rabbit anti-NASP antibody overnight at 4oC. Peroxidase Conjugated Goat Anti-rabbit IgG was used as secondary antibody and incubated for 30 minutes at 37oC. The tissue section was developed using an HRP secondary and DAB substrate.
Immunohistochemical staining of NASP using anti-NASP antibody. NASP was detected in a paraffin-embedded section of mouse testis tissue. Heat mediated antigen retrieval was performed in EDTA buffer (pH 8.0, epitope retrieval solution). The tissue section was blocked with 10% goat serum. The tissue section was then incubated with 2 ug/ml rabbit anti-NASP antibody overnight at 4oC. Peroxidase Conjugated Goat Anti-rabbit IgG was used as secondary antibody and incubated for 30 minutes at 37oC. The tissue section was developed using an HRP secondary and DAB substrate.
Immunofluorescent staining of NASP using anti-NASP antibody (green) and anti-Tubulin Alpha antibody (red). NASP was detected in immunocytochemical section of U2OS cell. Enzyme antigen retrieval was performed using IHC enzyme antigen retrieval reagent for 15 mins. The cells were blocked with 10% goat serum. And then incubated with 5 ug/ml rabbit anti-NASP antibody and mouse anti-Tubulin Alpha antibody overnight at 4oC. DyLight 488 Conjugated Goat Anti-Rabbit IgG and Cy3 Conjugated Goat Anti-Mouse IgG were used as secondary antibody at 1:500 dilution and incubated for 30 minutes at 37oC. Visualize using a fluorescence microscope and filter sets appropriate for the label used.
Immunofluorescent staining of NASP using anti-NASP antibody (red). NASP was detected in a paraffin-embedded section of human stomach cancer tissue. Heat mediated antigen retrieval was performed in EDTA buffer (pH 8.0, epitope retrieval solution). The tissue section was blocked with 10% goat serum. The tissue section was then incubated with 5 ug/ml rabbit anti-NASP antibody overnight at 4oC. Cy3 Conjugated Goat Anti-Rabbit IgG was used as secondary antibody at 1:500 dilution and incubated for 30 minutes at 37oC. The section was counterstained with DAPI nuclear stain (blue). Visualize using a fluorescence microscope and filter sets appropriate for the label used.
Immunohistochemical staining of NASP using anti-NASP antibody. NASP was detected in a paraffin-embedded section of human liver cancer tissue. Heat mediated antigen retrieval was performed in EDTA buffer (pH 8.0, epitope retrieval solution). The tissue section was blocked with 10% goat serum. The tissue section was then incubated with 2 ug/ml rabbit anti-NASP antibody overnight at 4oC. Peroxidase Conjugated Goat Anti-rabbit IgG was used as secondary antibody and incubated for 30 minutes at 37oC. The tissue section was developed using an HRP secondary and DAB substrate.
Flow Cytometry analysis of 293T cells using anti-NASP antibody. Overlay histogram showing 293T cells stained with (Blue line). To facilitate intracellular staining, cells were fixed with 4% paraformaldehyde and permeabilized with permeabilization buffer. The cells were blocked with 10% normal goat serum. And then incubated with rabbit anti-NASP antibody (1 ug/million cells) for 30 min at 20oC. DyLight 488 conjugated goat anti-rabbit IgG (5-10 ug/million cells) was used as secondary antibody for 30 minutes at 20oC. Isotype control antibody (Green line) was rabbit IgG (1 ug/million cells) used under the same conditions. Unlabelled sample without incubation with primary antibody and secondary antibody (Red line) was used as a blank control.
Availability 1-2 days
Species Reactivity Human, Mouse, Rat
Format Liquid
Host Rabbit
Clonality Polyclonal (rabbit origin)
Isotype Rabbit IgG
Purity Immunogen affinity purified
Buffer Each vial contains 4 mg Trehalose, 0.9 mg NaCl and 0.2 mg Na2HPO4.
UniProt P49321
Localization Nuclear, cytoplasmic
Applications Western Blot : 0.25-0.5ug/ml
Immunohistochemistry : 2-5ug/ml
Immunocytochemistry : 5ug/ml
Immunofluorescence : 5ug/ml
Immunoprecipitation : 2-4ug/500ug of lysate
Flow Cytometry : 1-3ug/million cells
ELISA : 0.1-0.5ug/ml
Limitations This NASP antibody is available for research use only.
Review this product on BioCompare and get a $20 Amazon gift card

Description

NASP antibody detects Nuclear autoantigenic sperm protein, encoded by the NASP gene on chromosome 1q24.2. NASP antibody is widely used in studies of histone metabolism, chromatin biology, and fertility. NASP is a histone chaperone that binds histones H1 and H3/H4, facilitating their storage, transport, and deposition onto DNA during chromatin assembly. By regulating histone availability, NASP ensures proper nucleosome formation, DNA replication, and cell cycle progression.

Structurally, NASP is a ~85 kDa protein that exists in two major isoforms: somatic NASP and testis-specific NASP. Both isoforms contain tetratricopeptide repeat (TPR) domains that mediate histone binding and interactions with other chaperones. Testis-specific NASP is highly expressed in germ cells and plays essential roles in spermatogenesis. Somatic NASP is expressed broadly across proliferating cells, including embryonic and cancer cells.

Functionally, NASP delivers histones to chromatin assembly factors and prevents their aggregation or degradation. It partners with histone-binding proteins such as ASF1 and HSPA2 to facilitate nucleosome assembly. By regulating histone pools, NASP maintains genomic stability and supports DNA replication. Researchers use NASP antibody to investigate chromatin assembly, fertility, and cancer biology.

Clinically, NASP is implicated in infertility, particularly male infertility, due to its essential role in spermatogenesis. Dysregulation of NASP has also been reported in cancers, where altered histone chaperone function contributes to genomic instability and abnormal gene expression. Autoantibodies against NASP have been described in certain autoimmune conditions. NSJ Bioreagents supplies NASP antibody for research in fertility, chromatin regulation, and oncology.

Experimentally, NASP antibody is used in western blotting to detect both somatic and testis-specific isoforms, in immunohistochemistry to analyze germ cell and tumor tissue expression, and in co-immunoprecipitation to study histone-chaperone complexes.

Application Notes

Optimal dilution of the NASP antibody should be determined by the researcher.

Immunogen

E.coli-derived human NASP recombinant protein (Position: K442-C788)

Storage

Store the NASP antibody at -20oC.

Cross
Bulk Quote Request Form
Name*:
Organization*:
Email*:
Phone Number*:
Catalog No.*:
Comments and Specifics(amount, formulation, etc.)*:
Validation code: Captchapackage Image


Can't read the image? click here to refresh.
    *required field

Your bulk quote request has been submitted successfully!

Please contact us if you have any questions.