• Tel: 858.663.9055
  • SeparatorEmail: info@nsjbio.com
  • Tel: 858.663.9055
  • Email: info@nsjbio.com
Home >> Antibodies >> NARS Antibody / AsnRS

NARS Antibody / AsnRS (F54573)

  Catalog No Formulation Size Price (USD)  
Image F54573-0.4ML In 1X PBS, pH 7.4, with 0.09% sodium azide 0.4 ml 439
Image
F54573-0.08ML In 1X PBS, pH 7.4, with 0.09% sodium azide 0.08 ml 205
Bulk quote request
Western blot testing of human 1) WiDr and 2) HepG2 cell lysate with NARS antibody. Predicted molecular weight ~63 kDa.
Western blot testing of 1) non-transfected and 2) transfected 293 cell lysate with NARS antibody. Predicted molecular weight ~63 kDa.
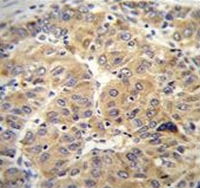
IHC testing of FFPE human hepatocarcinoma tissue with NARS antibody. HIER: steam section in pH6 citrate buffer for 20 min and allow to cool prior to staining.
Flow cytometry testing of human WiDr cells with NARS antibody; Blue=isotype control, Green= NARS antibody.
Availability 1-3 business days
Species Reactivity Human
Format Purified
Host Rabbit
Clonality Polyclonal (rabbit origin)
Isotype Rabbit Ig
Purity Purified
UniProt O43776
Localization Cytoplasmic
Applications Western Blot : 1:500-1:2000
Immunohistochemistry (FFPE) : 1:25
Flow Cytometry : 1:25 (1x10e6 cells)
Limitations This NARS antibody is available for research use only.
Review this product on BioCompare and get a $20 Amazon gift card

Description

Aminoacyl-tRNA synthetases are a class of enzymes that charge tRNAs with their cognate amino acids. Asparaginyl-tRNA synthetase is localized to the cytoplasm and belongs to the class II family of tRNA synthetases. The N-terminal domain represents the signature sequence for the eukaryotic asparaginyl-tRNA synthetases.

Application Notes

The stated application concentrations are suggested starting points. Titration of the NARS antibody may be required due to differences in protocols and secondary/substrate sensitivity.

Immunogen

A portion of amino acids 24-53 from the human protein was used as the immunogen for the NARS antibody.

Storage

Aliquot the NARS antibody and store frozen at -20oC or colder. Avoid repeated freeze-thaw cycles.

Cross
Bulk Quote Request Form
Name*:
Organization*:
Email*:
Phone Number*:
Catalog No.*:
Comments and Specifics(amount, formulation, etc.)*:
Validation code: Captchapackage Image


Can't read the image? click here to refresh.
    *required field

Your bulk quote request has been submitted successfully!

Please contact us if you have any questions.