• Tel: 858.663.9055
  • SeparatorEmail: info@nsjbio.com
  • Tel: 858.663.9055
  • Email: info@nsjbio.com
Home >> Antibodies >> NARG1 Antibody / NAA15

NARG1 Antibody / NAA15 (R32787)

  Catalog No Formulation Size Price (USD)  
Image R32787 0.5mg/ml if reconstituted with 0.2ml sterile DI water 100 ug 449
Bulk quote request
Immunohistochemical staining using NARG1 antibody on paraffin-embedded human gastric cancer tissue sections. Heat-induced epitope retrieval was performed using EDTA buffer (pH 8.0) prior to antibody incubation. Sections were blocked with 10% goat serum and incubated with NARG1 antibody overnight at 4C. Detection was carried out using an HRP-based secondary system with DAB as the chromogen. Staining demonstrates cytoplasmic immunoreactivity in tumor cells. Nuclei were counterstained with hematoxylin.
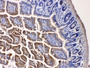
Immunohistochemical staining using NARG1 antibody on FFPE mouse intestine tissue sections. Heat-induced epitope retrieval was performed by steam treatment in pH 6 citrate buffer for 20 minutes, followed by cooling prior to antibody incubation. Sections were incubated with NARG1 antibody at 1 microgram per milliliter. Staining shows cytoplasmic immunoreactivity in intestinal epithelial cells. Nuclei were counterstained with hematoxylin.
Western blot testing of 1) human HeLa, 2) human 293T, 3) human K562, 4) mouse brain and 5) mouse heart tissue lysate with NARG1 antibody at 0.5ug/ml. Predicted molecular weight ~101 kDa.
Availability 1-3 business days
Species Reactivity Human, Mouse, Rat
Format Antigen affinity purified
Host Rabbit
Clonality Polyclonal (rabbit origin)
Isotype Rabbit IgG
Purity Antigen affinity
Buffer Lyophilized from 1X PBS with 2% Trehalose and 0.025% sodium azide
UniProt Q9BXJ9
Localization Cytoplasmic, Nuclear
Applications Western Blot : 0.5-1ug/ml
Immunohistochemistry (FFPE) : 2-5ug/ml
Limitations This NARG1 antibody is available for research use only.
Review this product on BioCompare and get a $20 Amazon gift card

Related Products

  • Applications : WB, Direct ELISA
    Reactivity : Human, Mouse, Rat

Description

NARG1 antibody targets N alpha acetyltransferase 15, encoded by the NAA15 gene and also known as NARG1. NAA15 is a cytoplasmic protein that functions as an essential auxiliary subunit of the NatA N terminal acetyltransferase complex. This complex is responsible for N terminal acetylation of a large proportion of newly synthesized proteins, a common co-translational modification that influences protein stability, localization, and interaction networks. NAA15 primarily localizes to the cytoplasm and ribosome-associated compartments, where it supports efficient acetylation during protein synthesis.

Functionally, N alpha acetyltransferase 15 acts as a regulatory and scaffolding component rather than a catalytic enzyme. It associates with the catalytic subunit NAA10 to stabilize the NatA complex and facilitate substrate recognition. Through this role, NAA15 indirectly affects a wide range of cellular processes, including protein quality control, signal transduction, and cytoskeletal organization. A NARG1 antibody supports studies focused on protein maturation and co-translational modification pathways.

NAA15 is broadly expressed across tissues and cell types, reflecting the fundamental importance of N terminal acetylation in cellular biology. Expression is particularly relevant in proliferative and developmentally active tissues, where high levels of protein synthesis demand precise regulation of nascent polypeptides. Alterations in NatA complex activity can have widespread downstream effects due to the large number of client proteins modified by this system.

From a disease-relevance perspective, dysregulation of NAA15 has been linked to developmental disorders and cancer biology. Variants in NAA15 have been associated with neurodevelopmental abnormalities, highlighting its importance in nervous system development. Changes in expression or function of NatA components have also been investigated in tumorigenesis, where altered protein acetylation may contribute to abnormal growth and signaling behavior.

At the molecular level, N alpha acetyltransferase 15 contains conserved regions required for interaction with NAA10 and other components of the NatA complex. Its function and apparent behavior in biochemical assays can be influenced by protein complex formation and post-translational regulation without changes to primary sequence. NARG1 antibody reagents support research applications focused on protein acetylation biology, translational control, and disease-associated alterations in proteome regulation, with NSJ Bioreagents providing reagents intended for research use.

Application Notes

Optimal dilution of the NARG1 antibody should be determined by the researcher.

Immunogen

Amino acids 244-287 (ADVYRGLQERNPENWAYYKGLEKALKPANMLERLKIYEEAWTKY) from the human protein were used as the immunogen for the NARG1 antibody.

Storage

After reconstitution, the NARG1 antibody can be stored for up to one month at 4oC. For long-term, aliquot and store at -20oC. Avoid repeated freezing and thawing.

Cross
Bulk Quote Request Form
Name*:
Organization*:
Email*:
Phone Number*:
Catalog No.*:
Comments and Specifics(amount, formulation, etc.)*:
Validation code: Captchapackage Image


Can't read the image? click here to refresh.
    *required field

Your bulk quote request has been submitted successfully!

Please contact us if you have any questions.