• Tel: 858.663.9055
  • SeparatorEmail: info@nsjbio.com
  • Tel: 858.663.9055
  • Email: info@nsjbio.com
Home >> Antibodies >> Nardilysin Antibody / NRDC / NRD1

Nardilysin Antibody / NRDC / NRD1 (RQ8325)

  Catalog No Formulation Size Price (USD)  
Image RQ8325 0.5mg/ml if reconstituted with 0.2ml sterile DI water 100 ug 449
Bulk quote request
Flow cytometry testing of fixed and permeabilized human MCF7 cells with Nardilysin antibody at 1ug/million cells (blocked with goat sera); Red=cells alone, Green=isotype control, Blue= Nardilysin antibody.
Western blot testing of human 1) K562 and 2) SiHa cell lysate with Nardilysin antibody. Predicted molecular weight ~132 kDa.
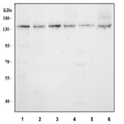
Western blot testing of 1) human K562, 2) human SiHa, 3) human PC-3, 4) rat testis, 5) rat C6 and 6) mouse testis tissue lysate with Nardilysin antibody. Predicted molecular weight ~132 kDa.
Availability 1-3 business days
Species Reactivity Human, Mouse, Rat
Format Antigen affinity purified
Host Rabbit
Clonality Polyclonal (rabbit origin)
Isotype Rabbit IgG
Purity Antigen affinity purified
Buffer Lyophilized from 1X PBS with 2% Trehalose
UniProt O43847
Applications Western Blot : 0.5-1ug/ml
Flow Cytometry : 1-3ug/million cells
Direct ELISA : 0.1-0.5ug/ml
Limitations This Nardilysin antibody is available for research use only.
Review this product on BioCompare and get a $20 Amazon gift card

Description

Nardilysin (NRDC) is a zinc metalloendopeptidase that belongs to the M16 family of metalloproteases. It is involved in the cleavage of basic amino acid pairs within peptide substrates, regulating the activity of various bioactive peptides and growth factors. Research applications using a Nardilysin antibody allow for deeper understanding of its roles in proteolysis and cellular signaling.

This protein is expressed in multiple tissues, including brain, liver, and kidney, and participates in processes such as cell proliferation, differentiation, and inflammation. Its function has also been linked to neurodegenerative disorders and metabolic regulation. Employing a Nardilysin antibody helps to reveal its diverse biological significance.

Nardilysin interacts with proteins like HB-EGF and is associated with signaling pathways that influence cell survival and migration. Altered expression of NRDC has been studied in cancer and other pathologies. A Nardilysin antibody is therefore valuable for western blot, immunohistochemistry, and related assays. NSJ Bioreagents provides high-quality reagents to support Nardilysin research.

Application Notes

Optimal dilution of the Nardilysin antibody should be determined by the researcher.

Immunogen

An E.coli-derived human recombinant protein (K427-R967) was used as the immunogen for the Nardilysin antibody.

Storage

After reconstitution, the Nardilysin antibody can be stored for up to one month at 4oC. For long-term, aliquot and store at -20oC. Avoid repeated freezing and thawing.

Cross
Bulk Quote Request Form
Name*:
Organization*:
Email*:
Phone Number*:
Catalog No.*:
Comments and Specifics(amount, formulation, etc.)*:
Validation code: Captchapackage Image


Can't read the image? click here to refresh.
    *required field

Your bulk quote request has been submitted successfully!

Please contact us if you have any questions.