• Tel: 858.663.9055
  • SeparatorEmail: info@nsjbio.com
  • Tel: 858.663.9055
  • Email: info@nsjbio.com
Home >> Antibodies >> Napsin A Antibody / Alveolar Differentiation Marker Antibody

Napsin A Antibody / Alveolar Differentiation Marker Antibody [clone NAPSA/3307] (V8481)

  Catalog No Formulation Size Price (USD)  
Image V8481-100UG 0.2 mg/ml in 1X PBS with 0.1 mg/ml BSA (US sourced) and 0.05% sodium azide 100 ug 559
Image
V8481-20UG 0.2 mg/ml in 1X PBS with 0.1 mg/ml BSA (US sourced) and 0.05% sodium azide 20 ug 259
Image
V8481SAF-100UG 1 mg/ml in 1X PBS; BSA free, sodium azide free 100 ug 559
Microvalidated
Bulk quote request
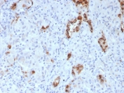
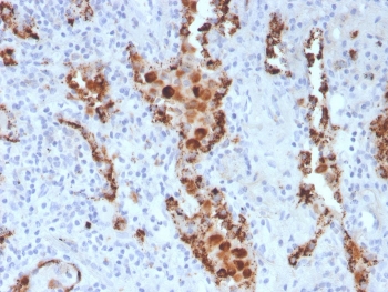
Napsin A Antibody for IHC. Immunohistochemistry analysis of Napsin A (NAPSA) expression in FFPE human lung adenocarcinoma demonstrates strong granular cytoplasmic HRP-DAB brown staining in tumor epithelial cells with minimal background in surrounding stromal regions. Clone NAPSA/3307 highlights alveolar epithelial differentiation consistent with expression in type II pneumocyte-derived cells, supporting identification of alveolar lineage within tumor tissue. HIER was performed by boiling tissue sections in pH 9 10mM Tris with 1mM EDTA for 20 minutes followed by cooling prior to staining.
IHC staining of FFPE human lung adenocarcinoma with Napsin A antibody (clone NAPSA/3307). HIER: boil tissue sections in pH 9 10mM Tris with 1mM EDTA for 20 min and allow to cool before testing.
Napsin A Antibody Protein Microarray Validation. Analysis of Napsin A (NAPSA) specificity using a human protein microarray containing more than 19,000 full-length human proteins demonstrates selective binding of clone NAPSA/3307 to its intended target, with NAPSA ranked as the top signal by Z-score. The Z-score reflects binding strength relative to the array-wide mean signal, expressed as standard deviations above background, while the S-score represents the difference between the top-ranked target and the next highest signal, indicating relative specificity. The observed Z- and S-scores support strong target recognition of Napsin A with limited cross-reactivity across a proteome-scale panel.
SDS-PAGE analysis of purified, BSA-free Napsin A antibody (clone NAPSA/3307) as confirmation of integrity and purity.
Availability 1-3 business days
Species Reactivity Human
Format Purified
Host Mouse
Clonality Monoclonal (mouse origin)
Isotype Mouse IgG1, kappa
Clone Name NAPSA/3307
Purity Protein G affinity chromatography
UniProt O96009
Localization Cytoplasmic
Applications Immunohistochemistry (FFPE) : 1-2ug/ml for 30 minutes at RT
Limitations This Napsin A Antibody / Alveolar Differentiation Marker Antibody is available for research use only.
Review this product on BioCompare and get a $20 Amazon gift card

Related Products

Description

Napsin A (NAPSA) is a lysosomal aspartic protease predominantly expressed in lung alveolar epithelial cells, where it plays a central role in protein processing within secretory pathways. Napsin A Antibody / Alveolar Differentiation Marker Antibody is designed to detect Napsin A in studies focused on alveolar epithelial differentiation and lung-specific cellular development. Napsin A antibody, also known as NAPSA antibody, is widely used as a marker of type II pneumocyte identity and alveolar lineage commitment.

Napsin A expression is tightly associated with type II pneumocytes, specialized epithelial cells responsible for surfactant production and maintenance of alveolar stability. Its presence reflects functional differentiation of these cells and provides a reliable indicator of alveolar epithelial maturation. This makes Napsin A a valuable marker for studying developmental processes within the lung, including epithelial differentiation, alveolar formation, and tissue organization.

This Napsin A Antibody / Alveolar Differentiation Marker Antibody incorporates clone NAPSA/3307, a mouse monoclonal antibody supported by microarray-based specificity data, providing confidence in selective detection of Napsin A. This specificity supports accurate identification of differentiated alveolar epithelial cells within complex tissue environments and enhances interpretability in studies of lung development and disease.

Detection of Napsin A using this antibody highlights cytoplasmic expression patterns associated with lysosomal and secretory vesicles, reflecting its role in intracellular protein processing. These patterns provide insight into the differentiation status of epithelial cells and support analysis of functional specialization within the alveolar compartment.

In disease contexts, retention of Napsin A expression in lung adenocarcinoma reflects differentiation toward alveolar epithelial lineage. As an alveolar differentiation marker, its detection provides important insight into tumor biology, particularly in distinguishing tumors with alveolar features from those lacking epithelial differentiation. This makes it a useful tool for studying tumor progression, cellular identity, and differentiation status.

Beyond cancer research, Napsin A serves as a valuable marker for investigating normal lung development and epithelial cell maturation. Its expression pattern enables analysis of differentiation pathways and provides a link between molecular expression and functional cellular phenotype.

Overall, Napsin A antibody reagents used as alveolar differentiation marker antibodies provide reliable detection of Napsin A, supporting studies of lung development, epithelial differentiation, and disease-associated cellular identity with strong biological relevance.

This antibody is part of a comprehensive NAPSA antibody collection developed to support Napsin A detection across IHC, WB, IF, and FACS applications in lung cancer and epithelial biology research.

Application Notes

Optimal dilution of the Napsin A Antibody / Alveolar Differentiation Marker Antibody should be determined by the researcher.

Immunogen

Amino acids 189-299 from the human protein were used as the immunogen for the Napsin A antibody.

Storage

Store the Napsin A antibody at 2-8oC (with azide) or aliquot and store at -20oC or colder (without azide).

Alternate Names

NAPSA antibody, Napsin A alveolar marker antibody, Type II pneumocyte antibody, Lung differentiation antibody

Cross
Bulk Quote Request Form
Name*:
Organization*:
Email*:
Phone Number*:
Catalog No.*:
Comments and Specifics(amount, formulation, etc.)*:
Validation code: Captchapackage Image


Can't read the image? click here to refresh.
    *required field

Your bulk quote request has been submitted successfully!

Please contact us if you have any questions.