• Tel: 858.663.9055
  • SeparatorEmail: info@nsjbio.com
  • Tel: 858.663.9055
  • Email: info@nsjbio.com
Home >> Antibodies >> Napsin A Antibody for WB / Lung Adenocarcinoma Marker Antibody

Napsin A Antibody for WB / Lung Adenocarcinoma Marker Antibody [clone RM366] (R20385)

  Catalog No Formulation Size Price (USD)  
Image R20385-0.1ML Antibody in PBS with 50% glycerol, 1% BSA and 0.09% sodium azide 100 ul 439
Microvalidated Recrabbitmono
Bulk quote request
Napsin A Antibody for WB. Western blot analysis of Napsin A (NAPSA) expression in human lung tissue lysate demonstrates a band at approximately 38-45 kDa, consistent with the predicted molecular weight of this glycosylated lysosomal aspartic protease. Clone RM366 detects Napsin A with strong signal in lung-derived tissue, aligning with the known enrichment of this protein in pulmonary epithelial cells and its role as a lung adenocarcinoma marker.
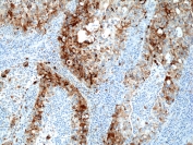
Napsin A Antibody for IHC. Immunohistochemistry analysis of Napsin A (NAPSA) expression in FFPE human lung adenocarcinoma tissue demonstrates strong cytoplasmic HRP-DAB brown staining in tumor epithelial cells with a granular intracellular pattern, while surrounding stromal cells remain largely negative. Clone RM366 highlights pulmonary epithelial differentiation consistent with the role of Napsin A as a lung adenocarcinoma marker, supporting its use in immunohistochemistry-based tumor characterization.
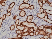
IHC staining of FFPE human kidney tissue with recombinant Napsin-A antibody (clone RM366) at 1:1000.
Availability 1-3 business days
Species Reactivity Human
Format Purified
Host Rabbit
Clonality Recombinant Rabbit Monoclonal
Isotype Rabbit IgG
Clone Name RM366
Purity Protein A purified from animal origin-free supernatant
UniProt O96009
Applications Immunohistochemistry (FFPE) : 1:500-1:1000
Western Blot : 1:1000-1:2000
Limitations This Napsin A Antibody for WB / Lung Adenocarcinoma Marker Antibody is available for research use only.
Review this product on BioCompare and get a $20 Amazon gift card

Related Products

Description

Napsin A (NAPSA) is a lysosomal aspartic protease highly expressed in lung alveolar epithelial cells and renal tubular epithelium, where it contributes to protein processing within secretory pathways. Napsin A Antibody for WB is widely used to detect this protease in western blot applications, supporting studies of epithelial biology and lung-associated protein expression. Napsin A antibody, also referred to as NAPSA antibody, is a well-established marker of pulmonary epithelial differentiation and is frequently studied in lung adenocarcinoma research.

Napsin A plays a critical role in the maturation of surfactant protein B in type II pneumocytes, linking its function directly to lung physiology and respiratory homeostasis. The protein is localized within intracellular vesicles and lysosomal compartments, and its expression is strongly enriched in lung tissue, with additional expression in kidney. This tissue-specific distribution provides a biologically meaningful context for interpreting western blot results, particularly when analyzing lung-derived samples or tumor-associated lysates.

This Napsin A Antibody for WB incorporates clone RM366, a recombinant rabbit monoclonal antibody designed for high-affinity binding and consistent signal generation. The recombinant rabbit format supports strong sensitivity and reproducibility, making it well suited for detecting Napsin A across a range of experimental conditions and sample types.

In western blot analysis, Napsin A antibody detects bands corresponding to the full-length and processed forms of the protein, with molecular weight variation reflecting proteolytic maturation and intracellular processing. Expression is typically most prominent in lung-derived samples, aligning with the biological role of Napsin A in pulmonary epithelial cells. This expression pattern provides additional interpretive value, as the presence or absence of signal can be correlated with tissue origin and cellular differentiation status.

In the context of cancer research, Napsin A is widely recognized as a marker of lung adenocarcinoma, where its expression is retained in many tumor cells and reflects differentiation toward alveolar epithelial lineage. Detection of Napsin A in western blot experiments can therefore support studies investigating tumor biology, epithelial identity, and disease-associated protein expression patterns.

Overall, Napsin A antibody reagents designed for western blot applications provide reliable detection of this lung-associated protease, supporting studies of epithelial differentiation, tumor biology, and protein expression in relevant biological systems.

This antibody is part of a comprehensive NAPSA antibody collection developed to support Napsin A detection across IHC, WB, IF, and FACS applications in lung cancer and epithelial biology research.

Application Notes

The stated application concentrations are suggested starting points. Titration of the Napsin A Antibody for WB / Lung Adenocarcinoma Marker Antibody may be required due to differences in protocols and secondary/substrate sensitivity.

Immunogen

A peptide corresponding to the N-terminus of human Napsin-A was used as the immunogen for the recombinant Napsin-A/NAPSA antibody.

Storage

Store the recombinant Napsin-A/NAPSA antibody at -20oC.

Alternate Names

NAPSA antibody, Napsin A western blot antibody, Lung adenocarcinoma marker antibody, Aspartic protease Napsin A antibody

Cross
Bulk Quote Request Form
Name*:
Organization*:
Email*:
Phone Number*:
Catalog No.*:
Comments and Specifics(amount, formulation, etc.)*:
Validation code: Captchapackage Image


Can't read the image? click here to refresh.
    *required field

Your bulk quote request has been submitted successfully!

Please contact us if you have any questions.