• Tel: 858.663.9055
  • SeparatorEmail: info@nsjbio.com
  • Tel: 858.663.9055
  • Email: info@nsjbio.com
Home >> Antibodies >> NAP-2 Antibody / CXCL7 / PPBP

NAP-2 Antibody / CXCL7 / PPBP (R31872)

  Catalog No Formulation Size Price (USD)  
Image R31872 0.5mg/ml if reconstituted with 0.2ml sterile DI water 100 ug 449
Bulk quote request
Western blot testing of human MCF7 cell lysate with NAP-2 antibody. Predicted molecular weight: 8~14 kDa.
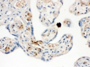
IHC testing of FFPE human placenta with NAP-2 antibody. HIER: Boil the paraffin sections in pH 6, 10mM citrate buffer for 20 minutes and allow to cool prior to staining.
Availability 1-3 business days
Species Reactivity Human
Format Antigen affinity purified
Host Rabbit
Clonality Polyclonal (rabbit origin)
Isotype Rabbit IgG
Purity Antigen affinity
Buffer Lyophilized from 1X PBS with 2.5% BSA and 0.025% sodium azide
UniProt P02775
Localization Secreted
Applications Western Blot : 0.1-0.5ug/ml
IHC (FFPE) : 0.5-1ug/ml
ELISA : 0.1-0.5ug/ml (human protein tested); request BSA-free format for coating
Limitations This NAP-2 antibody is available for research use only.
Review this product on BioCompare and get a $20 Amazon gift card

Related Products

Description

Chemokine (C-X-C motif) ligand 7 (CXCL7), also known as NAP-2 or Pro-Platelet basic protein (PPBP), is a human gene. The protein encoded by this gene is a platelet-derived growth factor that belongs to the CXC chemokine family. This growth factor is a potent chemoattractant and activator of neutrophils. It has been shown to stimulate various cellular processes including DNA synthesis, mitosis, glycolysis, intracellular cAMP accumulation, prostaglandin E2 secretion, and synthesis of hyaluronic acid and sulfated glycosaminoglycan. It also stimulates the formation and secretion of plasminogen activator by synovial cells. Furthermore, the protein is an antimicrobial protein with bactericidal and antifungal activity.

Application Notes

Optimal dilution of the NAP-2 antibody should be determined by the researcher.

Immunogen

Amino acids 55-128 of human CXCL7 (the NAP-2 chain) were used as the immunogen for the NAP-2 antibody.

Storage

After reconstitution, the NAP-2 antibody can be stored for up to one month at 4oC. For long-term, aliquot and store at -20oC. Avoid repeated freezing and thawing.

Cross
Bulk Quote Request Form
Name*:
Organization*:
Email*:
Phone Number*:
Catalog No.*:
Comments and Specifics(amount, formulation, etc.)*:
Validation code: Captchapackage Image


Can't read the image? click here to refresh.
    *required field

Your bulk quote request has been submitted successfully!

Please contact us if you have any questions.