• Tel: 858.663.9055
  • SeparatorEmail: info@nsjbio.com
  • Tel: 858.663.9055
  • Email: info@nsjbio.com
Home >> Antibodies >> NANP Antibody / N-acylneuraminate-9-phosphatase

NANP Antibody / N-acylneuraminate-9-phosphatase (RQ8249)

  Catalog No Formulation Size Price (USD)  
Image RQ8249 0.5mg/ml if reconstituted with 0.2ml sterile DI water 100 ug 449
Bulk quote request
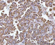
IHC staining of FFPE human thyroid papillary carcinoma tissue with NANP antibody. HIER: boil tissue sections in pH8 EDTA for 20 min and allow to cool before testing.
IHC staining of FFPE human lung adenocarcinoma tissue with NANP antibody. HIER: boil tissue sections in pH8 EDTA for 20 min and allow to cool before testing.
IHC staining of FFPE human liver cancer tissue with NANP antibody. HIER: boil tissue sections in pH8 EDTA for 20 min and allow to cool before testing.
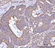
IHC staining of FFPE human rectum adenocarcinoma tissue with NANP antibody. HIER: boil tissue sections in pH8 EDTA for 20 min and allow to cool before testing.
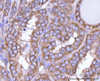
IHC staining of FFPE human testicular seminoma tissue with NANP antibody. HIER: boil tissue sections in pH8 EDTA for 20 min and allow to cool before testing.
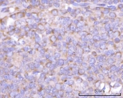
IHC staining of FFPE human tonsil tissue with NANP antibody. HIER: boil tissue sections in pH8 EDTA for 20 min and allow to cool before testing.
IHC staining of FFPE human rat brain tissue with NANP antibody. HIER: boil tissue sections in pH8 EDTA for 20 min and allow to cool before testing.
Western blot testing of 1) human SH-SY5Y, 2) human HepG2, 3) human A431, 4) human Jurkat, 5) rat liver, 6) rat RH35, 7) mouse liver and 8) mouse NIH 3T3 cell lysate with NANP antibody. Predicted molecular weight ~28 kDa.
Flow cytometry testing of fixed and permeabilized human HepG2 cells with NANP antibody at 1ug/million cells (blocked with goat sera); Red=cells alone, Green=isotype control, Blue= NANP antibody.
Availability 1-3 business days
Species Reactivity Human, Mouse, Rat
Format Antigen affinity purified
Host Rabbit
Clonality Polyclonal (rabbit origin)
Isotype Rabbit IgG
Purity Antigen affinity purified
Buffer Lyophilized from 1X PBS with 2% Trehalose
UniProt Q8TBE9
Localization Cytoplasm
Applications Western Blot : 0.5-1ug/ml
Immunohistochemistry (FFPE) : 2-5ug/ml
Flow Cytometry : 1-3ug/million cells
Direct ELISA : 0.1-0.5ug/ml
Limitations This NANP antibody is available for research use only.
Review this product on BioCompare and get a $20 Amazon gift card

Description

NANP (N-acylneuraminate-9-phosphatase), also known as HDHD4 (Haloacid dehalogenase-like hydrolase domain-containing protein 4), is a 248 amino acid protein that belongs to the haloacid dehalogenase (HAD) family and is responsible for dephosphorylating Neu5Ac-9-phosphate to form N-acetylneuraminate. Characteristic of the HAD phosphatase family, the catalytic activity of NANP is dependent upon the presence of magnesium and is inhibited by vanadate and calcium.

Application Notes

Optimal dilution of the NANP antibody should be determined by the researcher.

Immunogen

E. coli-derived recombinant human protein (amino acids R5-M246) was used as the immunogen for the NANP antibody.

Storage

After reconstitution, the NANP antibody can be stored for up to one month at 4oC. For long-term, aliquot and store at -20oC. Avoid repeated freezing and thawing.

Cross
Bulk Quote Request Form
Name*:
Organization*:
Email*:
Phone Number*:
Catalog No.*:
Comments and Specifics(amount, formulation, etc.)*:
Validation code: Captchapackage Image


Can't read the image? click here to refresh.
    *required field

Your bulk quote request has been submitted successfully!

Please contact us if you have any questions.