• Tel: 858.663.9055
  • SeparatorEmail: info@nsjbio.com
  • Tel: 858.663.9055
  • Email: info@nsjbio.com
Home >> Antibodies >> NANOS1 Antibody / NANOS

NANOS1 Antibody / NANOS (F54684)

  Catalog No Formulation Size Price (USD)  
Image F54684-0.4ML In 1X PBS, pH 7.4, with 0.09% sodium azide 0.4 ml 439
Image
F54684-0.08ML In 1X PBS, pH 7.4, with 0.09% sodium azide 0.08 ml 205
Bulk quote request
Western blot testing of human T-47D cell lysate with NANOS1 antibody. Predicted molecular weight: ~30 kDa but routinely observed at 35~40 kDa.
Immunofluorescent staining of human HeLa cells with NANOS1 antibody (red) and DAPI nuclear stain (blue).
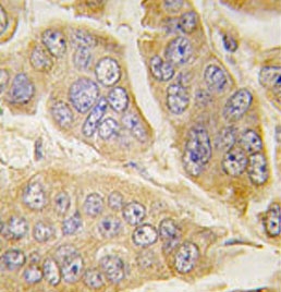
IHC testing of FFPE human breast cancer tissue with NANOS1 antibody. HIER: steam section in pH6 citrate buffer for 20 min and allow to cool prior to staining.
Flow cytometry testing of human HeLa cells with NANOS1 antibody; Blue=isotype control, Green= NANOS1 antibody.
Availability 1-3 business days
Species Reactivity Human
Format Purified
Host Rabbit
Clonality Polyclonal (rabbit origin)
Isotype Rabbit Ig
Purity Purified
UniProt Q8WY41
Localization Cytoplasmic
Applications Immunofluorescence : 1:25
Flow Cytometry : 1:25 (1x10e6 cells)
Western Blot : 1:500-1:2000
Immunohistochemistry (FFPE) : 1:25
Limitations This NANOS1 antibody is available for research use only.
Review this product on BioCompare and get a $20 Amazon gift card

Related Products

  • Applications : WB, ELISA (peptide)
    Reactivity : Human

Description

NANOS1 may regulate translation of specific mRNAs by forming a complex with PUM2 that associates with the 3'-UTR of mRNA targets.

Application Notes

The stated application concentrations are suggested starting points. Titration of the NANOS1 antibody may be required due to differences in protocols and secondary/substrate sensitivity.

Immunogen

A portion of amino acids 263-292 from the human protein was used as the immunogen for the NANOS1 antibody.

Storage

Aliquot the NANOS1 antibody and store frozen at -20oC or colder. Avoid repeated freeze-thaw cycles.

Cross
Bulk Quote Request Form
Name*:
Organization*:
Email*:
Phone Number*:
Catalog No.*:
Comments and Specifics(amount, formulation, etc.)*:
Validation code: Captchapackage Image


Can't read the image? click here to refresh.
    *required field

Your bulk quote request has been submitted successfully!

Please contact us if you have any questions.