• Tel: 858.663.9055
  • SeparatorEmail: info@nsjbio.com
  • Tel: 858.663.9055
  • Email: info@nsjbio.com
Home >> Antibodies >> NANOG Antibody / Homeobox protein NANOG

NANOG Antibody / Homeobox protein NANOG [clone NANOG/9704] (V6024)

  Catalog No Formulation Size Price (USD)  
Image V6024-100UG 0.2 mg/ml in 1X PBS with 0.05% BSA, 0.05% sodium azide 100 ug 559
Image
V6024-20UG 0.2 mg/ml in 1X PBS with 0.05% BSA, 0.05% sodium azide 20 ug 259
Image
V6024SAF-100UG 1 mg/ml in 1X PBS; BSA free, sodium azide free 100 ug 559
Bulk quote request
SDS-PAGE Analysis of Purified NANOG Mouse Monoclonal Antibody (NANOG/9704). Confirmation of Purity and Integrity of Antibody.
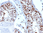
Formalin-fixed, paraffin-embedded human testis stained with NANOG Mouse Monoclonal Antibody (NANOG/9704). Inset: PBS instead of primary antibody; secondary only negative control.
Species Reactivity Human
Format Purified
Host Mouse
Clonality Monoclonal (mouse origin)
Isotype Mouse IgG2b, lambda
Clone Name NANOG/9704
UniProt Q9H9S0
Localization Nucleus
Applications Immunohistochemistry (FFPE) : 1-2ug/ml
Limitations This NANOG/Homeobox protein NANOG antibody is available for research use only.
Review this product on BioCompare and get a $20 Amazon gift card

Related Products

  • Applications : WB, IHC, ELISA
    Reactivity : Human
  • Applications : WB, IF, IHC, FACS, ELISA
    Reactivity : Human
    Pred. Reactivity : Primate
  • Applications : IF, FACS, IHC, ELISA
    Reactivity : Human
    Pred. Reactivity : Bovine, Primate
  • Applications : WB, IF, ELISA
    Reactivity : Human
  • Applications : WB, ELISA
    Reactivity : Human
  • Applications : DB, ELISA
    Reactivity : Human
  • Applications : IF, DB, ELISA
    Reactivity : Human
    Pred. Reactivity : Primate
  • Applications : WB, ELISA (peptide)
    Reactivity : Mouse
  • Applications : WB, IHC, ELISA (peptide), EIA
    Reactivity : Human
  • Applications : WB, IHC, IF, ELISA (peptide), EIA
    Reactivity : Human
    Pred. Reactivity : Dog, Pig
  • Applications : WB, FACS
    Reactivity : Human, Mouse, Rat

Application Notes

Optimal dilution of the NANOG/Homeobox protein NANOG antibody should be determined by the researcher.

Immunogen

A recombinant fragment (around amino acids 100-250) of human NANOG protein (exact sequence is proprietary) was used as the immuongen for the NANOG/Homeobox protein NANOG antibody.

Storage

NANOG/Homeobox protein NANOG antibody with sodium azide - store at 2 to 8oC; antibody without sodium azide - store at -20 to -80oC.

Cross
Bulk Quote Request Form
Name*:
Organization*:
Email*:
Phone Number*:
Catalog No.*:
Comments and Specifics(amount, formulation, etc.)*:
Validation code: Captchapackage Image


Can't read the image? click here to refresh.
    *required field

Your bulk quote request has been submitted successfully!

Please contact us if you have any questions.