• Tel: 858.663.9055
  • SeparatorEmail: info@nsjbio.com
  • Tel: 858.663.9055
  • Email: info@nsjbio.com
Home >> Antibodies >> NAGK Antibody / N-acetyl-D-glucosamine kinase

NAGK Antibody / N-acetyl-D-glucosamine kinase (FY12306)

  Catalog No Formulation Size Price (USD)  
Image FY12306 Adding 0.2 ml of distilled water will yield a concentration of 500 ug/ml 100 ug 449
Bulk quote request
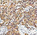
Immunohistochemical staining of NAGK using anti-NAGK antibody. NAGK was detected in a paraffin-embedded section of human thyroid cancer tissue. Heat mediated antigen retrieval was performed in EDTA buffer (pH 8.0, epitope retrieval solution). The tissue section was blocked with 10% goat serum. The tissue section was then incubated with 2 ug/ml rabbit anti-NAGK antibody overnight at 4oC. Peroxidase Conjugated Goat Anti-rabbit IgG was used as secondary antibody and incubated for 30 minutes at 37oC. The tissue section was developed using an HRP secondary and DAB substrate.
Western blot analysis of NAGK using anti-NAGK antibody. Electrophoresis was performed on a 10% SDS-PAGE gel at 80V (Stacking gel) / 120V (Resolving gel) for 2 hours. Lane 1: human RT4 whole cell lysates, Lane 2: human MCF-7 whole cell lysates, Lane 3: human Caco-2 whole cell lysates, Lane 4: human whole cell lysates. Lane 5: mouse testis tissue lysates. After electrophoresis, proteins were transferred to a nitrocellulose membrane at 150 mA for 50-90 minutes. Blocked the membrane with 5% non-fat milk/TBS for 1.5 hour at RT. The membrane was incubated with rabbit anti-NAGK antibody at 0.5 ug/ml overnight at 4oC, then washed with TBS-0.1%Tween 3 times with 5 minutes each and probed with a goat anti-rabbit IgG-HRP secondary antibody at a dilution of 1:5000 for 1.5 hour at RT. The signal was developed using an ECL Plus Western Blotting Substrate. The expected molecular weight of NAGK is ~37 kDa.
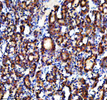
Immunohistochemical staining of NAGK using anti-NAGK antibody. NAGK was detected in a paraffin-embedded section of human bladder cancer tissue. Heat mediated antigen retrieval was performed in EDTA buffer (pH 8.0, epitope retrieval solution). The tissue section was blocked with 10% goat serum. The tissue section was then incubated with 2 ug/ml rabbit anti-NAGK antibody overnight at 4oC. Peroxidase Conjugated Goat Anti-rabbit IgG was used as secondary antibody and incubated for 30 minutes at 37oC. The tissue section was developed using an HRP secondary and DAB substrate.
Flow Cytometry analysis of cells using anti-NAGK antibody. Overlay histogram showing cells stained with (Blue line). To facilitate intracellular staining, cells were fixed with 4% paraformaldehyde and permeabilized with permeabilization buffer. The cells were blocked with 10% normal goat serum. And then incubated with rabbit anti-NAGK antibody (1 ug/million cells) for 30 min at 20oC. DyLight 488 conjugated goat anti-rabbit IgG (5-10 ug/million cells) was used as secondary antibody for 30 minutes at 20oC. Isotype control antibody (Green line) was rabbit IgG (1 ug/million cells) used under the same conditions. Unlabelled sample without incubation with primary antibody and secondary antibody (Red line) was used as a blank control.
Availability 1-2 days
Species Reactivity Human, Mouse
Format Lyophilized
Host Rabbit
Clonality Polyclonal (rabbit origin)
Isotype Rabbit IgG
Purity Immunogen affinity purified
Buffer Each vial contains 4 mg Trehalose, 0.9 mg NaCl, 0.2 mg Na2HPO4.
UniProt Q9UJ70
Localization Cytoplasm
Applications Western Blot : 0.25-0.5ug/ml
Immunohistochemistry : 2-5ug/ml
Flow Cytometry : 1-3ug/million cells
ELISA : 0.1-0.5ug/ml
Limitations This NAGK antibody is available for research use only.
Review this product on BioCompare and get a $20 Amazon gift card

Description

NAGK antibody detects N-acetyl-D-glucosamine kinase, encoded by the NAGK gene on chromosome 2p13.3. NAGK antibody is widely used in metabolism, glycosylation, and signaling research. NAGK is an enzyme of the hexosamine biosynthetic pathway that phosphorylates N-acetylglucosamine (GlcNAc) to GlcNAc-6-phosphate. This reaction contributes to the salvage pathway of UDP-GlcNAc biosynthesis, supporting protein glycosylation, glycosaminoglycan synthesis, and O-GlcNAc signaling.

Structurally, NAGK is a ~37 kDa cytoplasmic protein belonging to the sugar kinase family. It forms homodimers and contains an ATP-binding site and catalytic residues conserved among carbohydrate kinases. NAGK is broadly expressed across tissues, reflecting its role in basic carbohydrate metabolism.

Functionally, NAGK channels free GlcNAc into UDP-GlcNAc production, which is required for N- and O-linked glycosylation of proteins and for biosynthesis of glycolipids and proteoglycans. It plays a critical role in cell growth, signaling, and metabolic adaptation. Researchers use NAGK antibody to study carbohydrate metabolism, glycosylation pathways, and metabolic regulation.

Clinically, altered NAGK activity is associated with metabolic diseases and cancer. Increased NAGK expression has been reported in certain tumors, where it supports growth by boosting glycosylation and nutrient sensing pathways. Because protein glycosylation is a therapeutic target, NAGK is under investigation as a biomarker and regulator of cancer metabolism. NSJ Bioreagents provides NAGK antibody for metabolism and glycosylation research.

Experimentally, NAGK antibody is used in western blotting to detect the ~37 kDa enzyme, in immunohistochemistry to study tissue distribution, and in immunofluorescence to confirm cytoplasmic localization. Enzyme assays with NAGK antibody complement biochemical analyses of hexosamine pathway flux.

Application Notes

Optimal dilution of the NAGK antibody should be determined by the researcher.

Immunogen

E.coli-derived human NAGK recombinant protein (Position: R14-K261) was used as the immunogen for the NAGK antibody.

Storage

After reconstitution, the NAGK antibody can be stored for up to one month at 4oC. For long-term, aliquot and store at -20oC. Avoid repeated freezing and thawing.

Cross
Bulk Quote Request Form
Name*:
Organization*:
Email*:
Phone Number*:
Catalog No.*:
Comments and Specifics(amount, formulation, etc.)*:
Validation code: Captchapackage Image


Can't read the image? click here to refresh.
    *required field

Your bulk quote request has been submitted successfully!

Please contact us if you have any questions.