• Tel: 858.663.9055
  • SeparatorEmail: info@nsjbio.com
  • Tel: 858.663.9055
  • Email: info@nsjbio.com
Home >> Antibodies >> NAF1 Antibody / H/ACA ribonucleoprotein complex non-core subunit NAF1

NAF1 Antibody / H/ACA ribonucleoprotein complex non-core subunit NAF1 (RQ7718)

  Catalog No Formulation Size Price (USD)  
Image RQ7718 0.5mg/ml if reconstituted with 0.2ml sterile DI water 100 ug 449
Bulk quote request
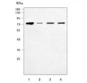
Western blot testing of human 1) HeLa, 2) A431, 3) A549 and 4) Caco-2 cell lysate with NAF1 antibody. Predicted molecular weight ~54 kDa but commonly observed at ~70 kDa.
Availability 1-3 business days
Species Reactivity Human
Format Antigen affinity purified
Host Rabbit
Clonality Polyclonal (rabbit origin)
Isotype Rabbit IgG
Purity Antigen affinity purified
Buffer Lyophilized from 1X PBS with 2% Trehalose
UniProt Q96HR8
Applications Western Blot : 0.5-1ug/ml
Direct ELISA : 0.1-0.5ug/ml
Limitations This NAF1 antibody is available for research use only.
Review this product on BioCompare and get a $20 Amazon gift card

Related Products

Description

Enables identical protein binding activity and telomerase RNA binding activity. Involved in regulation of nucleobase-containing compound metabolic process; ribosome biogenesis; and telomerase holoenzyme complex assembly. Located in nucleoplasm. Part of sno(s)RNA-containing ribonucleoprotein complex.

Application Notes

Optimal dilution of the NAF1 antibody should be determined by the researcher.

Immunogen

E. coli-derived recombinant human protein (amino acids K173-E340) was used as the immunogen for the NAF1 antibody.

Storage

After reconstitution, the NAF1 antibody can be stored for up to one month at 4oC. For long-term, aliquot and store at -20oC. Avoid repeated freezing and thawing.

Cross
Bulk Quote Request Form
Name*:
Organization*:
Email*:
Phone Number*:
Catalog No.*:
Comments and Specifics(amount, formulation, etc.)*:
Validation code: Captchapackage Image


Can't read the image? click here to refresh.
    *required field

Your bulk quote request has been submitted successfully!

Please contact us if you have any questions.