• Tel: 858.663.9055
  • SeparatorEmail: info@nsjbio.com
  • Tel: 858.663.9055
  • Email: info@nsjbio.com
Home >> Antibodies >> NAF-1 Antibody / CISD2 / Miner1

NAF-1 Antibody / CISD2 / Miner1 (RQ5711)

  Catalog No Formulation Size Price (USD)  
Image RQ5711 0.5mg/ml if reconstituted with 0.2ml sterile DI water 100 ug 449
Bulk quote request
Immunofluorescent staining of FFPE human A431 cells with NAF-1 antibody (green) and DAPI nuclear stain (blue). HIER: steam section in pH6 citrate buffer for 20 min.
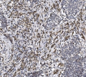
IHC staining of FFPE human lung cancer with NAF-1 antibody. HIER: boil tissue sections in pH8 EDTA for 20 min and allow to cool before testing.
IHC staining of FFPE rat brain with NAF-1 antibody. HIER: boil tissue sections in pH8 EDTA for 20 min and allow to cool before testing.
IHC staining of FFPE rat brain with NAF-1 antibody. HIER: boil tissue sections in pH8 EDTA for 20 min and allow to cool before testing.
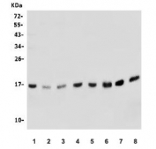
Western blot testing of 1) human HEK293, 2) human HeLa, 3) human MCF7, 4) monkey kidney, 5) human SW620, 6) human Raji, 7) rat kidney and 8) mouse kidney lysate with NAF-1 antibody. Expected molecular weight ~15 kDa.
Flow cytometry testing of human U-2 OS cells with NAF-1 antibody at 1ug/million cells (blocked with goat sera); Red=cells alone, Green=isotype control, Blue= NAF-1 antibody.
Availability 1-3 business days
Species Reactivity Human, Mouse, Rat
Format Antigen affinity purified
Host Rabbit
Clonality Polyclonal
Isotype Rabbit IgG
Purity Affinity purified
Buffer Lyophilized from 1X PBS with 2% Trehalose and 0.025% sodium azide
UniProt Q8N5K1
Localization Cytoplasmic
Applications Western Blot : 0.5-1ug/ml
Immunohistochemistry : 1-2ug/ml
Immunofluorescence : 2-4ug/ml
Flow Cytometry : 1-3ug/million cells
Direct ELISA : 0.1-0.5ug/ml
Limitations This NAF-1 antibody is available for research use only.
Review this product on BioCompare and get a $20 Amazon gift card

Description

CDGSH iron sulfur domain 2 is a protein that in humans is encoded by the CISD2 gene. The protein encoded by this gene is a zinc finger protein that localizes to the endoplasmic reticulum. The encoded protein binds an iron/sulfur cluster and may be involved in calcium homeostasis. Defects in this gene are a cause of Wolfram syndrome 2.

Application Notes

Optimal dilution of the NAF-1 antibody should be determined by the researcher.

Immunogen

Recombinant human protein (amino acids A55-N124) was used as the immunogen for the NAF-1 antibody.

Storage

After reconstitution, the NAF-1 antibody can be stored for up to one month at 4oC. For long-term, aliquot and store at -20oC. Avoid repeated freezing and thawing.

Cross
Bulk Quote Request Form
Name*:
Organization*:
Email*:
Phone Number*:
Catalog No.*:
Comments and Specifics(amount, formulation, etc.)*:
Validation code: Captchapackage Image


Can't read the image? click here to refresh.
    *required field

Your bulk quote request has been submitted successfully!

Please contact us if you have any questions.