• Tel: 858.663.9055
  • SeparatorEmail: info@nsjbio.com
  • Tel: 858.663.9055
  • Email: info@nsjbio.com
Home >> Antibodies >> NAA60 Antibody / N-alpha-acetyltransferase 60

NAA60 Antibody / N-alpha-acetyltransferase 60 (FY13134)

  Catalog No Formulation Size Price (USD)  
Image FY13134 Adding 0.2 ml of distilled water will yield a concentration of 500 ug/ml 100 ug 439
Bulk quote request
Immunofluorescent staining of NAA60 using anti-NAA60 antibody (green). NAA60 was detected in an immunocytochemical section of cells. Enzyme antigen retrieval was performed using IHC enzyme antigen retrieval reagent for 15 mins. The cells were blocked with 10% goat serum. And then incubated with 5 ug/ml rabbit anti-NAA60 antibody overnight at 4oC. DyLight 488 Conjugated Goat Anti-Rabbit IgG was used as secondary antibody at 1:500 dilution and incubated for 30 minutes at 37oC. The section was counterstained with DAPI nuclear stain (blue). Visualize using a fluorescence microscope and filter sets appropriate for the label used.
Western blot analysis of NAA60 using anti-NAA60 antibody. Electrophoresis was performed on a 12% SDS-PAGE gel at 80V (Stacking gel) / 120V (Resolving gel) for 2 hours. Lane 1: human MCF-7 whole cell lysates, Lane 2: human HepG2 whole cell lysates, Lane 3: human HEL whole cell lysates, Lane 4: human Caco-2 whole cell lysates, Lane 5: rat brain tissue lysates, Lane 6: rat RH35 whole cell lysates, Lane 7: mouse brain tissue lysates, Lane 8: mouse HEPA1-6 whole cell lysates. After electrophoresis, proteins were transferred to a nitrocellulose membrane at 150 mA for 50-90 minutes. Blocked the membrane with 5% non-fat milk/TBS for 1.5 hour at RT. The membrane was incubated with rabbit anti-NAA60 antibody at 0.5 ug/ml overnight at 4oC, then washed with TBS-0.1%Tween 3 times with 5 minutes each and probed with a goat anti-rabbit IgG-HRP secondary antibody at a dilution of 1:5000 for 1.5 hour at RT. The signal was developed using an ECL Plus Western Blotting Substrate. The expected molecular weight of NAA60 is ~27 kDa.
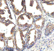
Immunohistochemical staining of NAA60 using anti-NAA60 antibody. NAA60 was detected in a paraffin-embedded section of human prostate cancer tissue. Heat mediated antigen retrieval was performed in EDTA buffer (pH 8.0, epitope retrieval solution). The tissue section was blocked with 10% goat serum. The tissue section was then incubated with 2 ug/ml rabbit anti-NAA60 antibody overnight at 4oC. Peroxidase Conjugated Goat Anti-rabbit IgG was used as secondary antibody and incubated for 30 minutes at 37oC. The tissue section was developed using an HRP secondary and DAB substrate.
Immunoprecipitating NAA60 in MCF-7 whole cell lysate. Western blot analysis of NAA60 using anti-NAA60 antibody. Lane 1: MCF-7 whole cell lysates (30ug), Lane 2: Rabbit control IgG instead of anti-NAA60 antibody in MCF-7 whole cell lysate, Lane 3: anti-NAA60 antibody (2ug) + MCF-7 whole cell lysate (500ug). After electrophoresis, proteins were transferred to a membrane. Then the membrane was incubated with rabbit anti-NAA60 antibody at a dilution of 0.5 ug/ml and probed with a goat anti-rabbit IgG-HRP secondary antibody. The signal is developed using ECL Plus Western Blotting Substrate. The expected molecular weight of NAA60 is at 27 kDa.
Availability 1-2 days
Species Reactivity Human, Mouse, Rat
Format Lyophilized
Clonality Polyclonal (rabbit origin)
Isotype Rabbit IgG
Purity Immunogen affinity purified
Buffer Each vial contains 4 mg Trehalose, 0.9 mg NaCl, 0.2 mg Na2HPO4.
UniProt Q9H7X0
Localization Golgi apparatus
Applications Western Blot : 0.25-0.5ug/ml
Immunohistochemistry : 2-5ug/ml
Immunocytochemistry/Immunofluorescence : 5ug/ml
Immunoprecipitation : 2-4ug/500ug of lysate
ELISA : 0.1-0.5ug/ml
Limitations This NAA60 antibody is available for research use only.
Review this product on BioCompare and get a $20 Amazon gift card

Description

NAA60 antibody detects N-alpha-acetyltransferase 60, a Golgi-associated enzyme responsible for acetylating the N-termini of transmembrane and cytosolic proteins. The UniProt recommended name is N-alpha-acetyltransferase 60 (NAA60). This enzyme belongs to the GNAT (GCN5-related N-acetyltransferase) family and contributes to post-translational protein modification, stability, and membrane targeting.

Functionally, NAA60 antibody identifies a 242-amino-acid acetyltransferase localized to the cytosolic face of the Golgi apparatus. NAA60 catalyzes the transfer of an acetyl group from acetyl-CoA to protein N-termini, particularly targeting lysine residues within membrane-bound substrates. Its unique subcellular localization distinguishes it from other N-terminal acetyltransferases (NATs) acting in the cytosol or nucleus.

The NAA60 gene is located on chromosome 16p13.3 and is broadly expressed in mammalian tissues, with enrichment in epithelial and secretory cells. By modifying transmembrane proteins, NAA60 influences vesicle trafficking, protein sorting, and Golgi membrane organization. It also contributes to cell cycle progression and mitotic spindle stability.

Pathologically, altered NAA60 activity has been linked to cell proliferation abnormalities and tumorigenesis. Reduced NAA60 expression affects Golgi morphology and disrupts intracellular transport. Research using NAA60 antibody supports studies in protein acetylation, Golgi biology, and membrane-associated protein regulation.

NAA60 antibody is validated for western blotting, immunohistochemistry, and immunofluorescence to detect acetyltransferases in cell lysates and subcellular fractions. NSJ Bioreagents provides NAA60 antibody reagents optimized for research in protein modification, trafficking, and cell signaling.

Structurally, N-alpha-acetyltransferase 60 contains a conserved acetyl-CoA-binding motif and catalytic residues typical of GNAT enzymes. This antibody enables investigation of NAA60's functional role in post-translational regulation and Golgi-associated protein processing.

Application Notes

Optimal dilution of the NAA60 antibody should be determined by the researcher.

Immunogen

E.coli-derived human NAA60 recombinant protein (Position: M1-M242) was used as the immunogen for the NAA60 antibody.

Storage

After reconstitution, the NAA60 antibody can be stored for up to one month at 4oC. For long-term, aliquot and store at -20oC. Avoid repeated freezing and thawing.

Cross
Bulk Quote Request Form
Name*:
Organization*:
Email*:
Phone Number*:
Catalog No.*:
Comments and Specifics(amount, formulation, etc.)*:
Validation code: Captchapackage Image


Can't read the image? click here to refresh.
    *required field

Your bulk quote request has been submitted successfully!

Please contact us if you have any questions.