• Tel: 858.663.9055
  • SeparatorEmail: info@nsjbio.com
  • Tel: 858.663.9055
  • Email: info@nsjbio.com
Home >> Antibodies >> N-terminal EF-hand calcium binding protein 1 Antibody / NECAB1

N-terminal EF-hand calcium binding protein 1 Antibody / NECAB1 [clone NECAB1/7676] (V5253)

  Catalog No Formulation Size Price (USD)  
Image V5253-100UG 0.2 mg/ml in 1X PBS with 0.1 mg/ml BSA (US sourced), 0.05% sodium azide 100 ug 559
Image
V5253-20UG 0.2 mg/ml in 1X PBS with 0.1 mg/ml BSA (US sourced), 0.05% sodium azide 20 ug 259
Image
V5253SAF-100UG 1 mg/ml in 1X PBS; BSA free, sodium azide free 100 ug 559
Bulk quote request
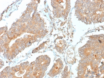
IHC staining of FFPE human prostate tissue with N-terminal EF-hand calcium binding protein 1 antibody (clone NECAB1/7676). HIER: boil tissue sections in pH 9 10mM Tris with 1mM EDTA for 20 min and allow to cool before testing.
SDS-PAGE analysis of purified, BSA-free N-terminal EF-hand calcium binding protein 1 antibody (clone NECAB1/7676) as confirmation of integrity and purity.
Availability 1-3 business days
Species Reactivity Human
Format Purified
Host Mouse
Clonality Monoclonal (mouse origin)
Isotype Mouse IgG
Clone Name NECAB1/7676
Purity Protein A/G affinity
UniProt Q8N987
Localization Nuclear, cytoplasmic
Applications Immunohistochemistry (FFPE) : 1-2ug/ml for 30 min at RT
Limitations This N-terminal EF-hand calcium binding protein 1 antibody is available for research use only.
Review this product on BioCompare and get a $20 Amazon gift card

Related Products

Description

Members of the EF-CBP (N-terminal EF-hand calcium binding protein)/NECAB (neuronal calcium-binding protein) family participate in neuronal calcium signaling. EF-CBP1 (N-terminal EF-hand calcium binding protein 1), also known as STIP-1 or neuronal calcium-binding protein 1 (NECAB1), is a 351 amino acid cytoplasmic protein that contains one antibiotic biosynthesis monooxygenase (ABM) domain and 2 EF-hand domains. Expressed in brain, EF-CBP1 interacts with copine 6 and Syntaxin, and exists as two alternatively spliced isoforms. The gene encoding EF-CBP1 maps to human chromosome 8, which consists of nearly 146 million base pairs, encodes over 800 genes and is associated with a variety of diseases and malignancies. Schizophrenia, bipolar disorder, Trisomy 8, Pfeiffer syndrome, congenital hypothyroidism, Waardenburg syndrome and some leukemias and lymphomas are thought to occur as a result of defects in specific genes that map to chromosome 8.

Application Notes

Optimal dilution of the N-terminal EF-hand calcium binding protein 1 antibody should be determined by the researcher.

Immunogen

Recombinant human NECAB1 protein was used as the immunogen for the N-terminal EF-hand calcium binding protein 1 antibody.

Storage

Aliquot the N-terminal EF-hand calcium binding protein 1 antibody and store frozen at -20oC or colder. Avoid repeated freeze-thaw cycles.

Cross
Bulk Quote Request Form
Name*:
Organization*:
Email*:
Phone Number*:
Catalog No.*:
Comments and Specifics(amount, formulation, etc.)*:
Validation code: Captchapackage Image


Can't read the image? click here to refresh.
    *required field

Your bulk quote request has been submitted successfully!

Please contact us if you have any questions.