• Tel: 858.663.9055
  • SeparatorEmail: info@nsjbio.com
  • Tel: 858.663.9055
  • Email: info@nsjbio.com
Home >> Antibodies >> N-Cadherin Antibody / CDH2 Translational Model Validation Antibody

N-Cadherin Antibody / CDH2 Translational Model Validation Antibody [clone CDH2/8998R] (V4538)

  Catalog No Formulation Size Price (USD)  
Image V4538-100UG 0.2 mg/ml in 1X PBS with 0.1 mg/ml BSA (US sourced), 0.05% sodium azide 100 ug 559
Image
V4538-20UG 0.2 mg/ml in 1X PBS with 0.1 mg/ml BSA (US sourced), 0.05% sodium azide 20 ug 259
Image
V4538SAF-100UG 1 mg/ml in 1X PBS; BSA free, sodium azide free 100 ug 559
Microvalidated Recrabbitmono
Bulk quote request
N-Cadherin Antibody Translational Brain and Heart WB. Western blot analysis of N-Cadherin / CDH2 expression across multi-species brain and heart tissue lysates using N-Cadherin antibody clone CDH2/8998R. Lane 1: human brain lysate, Lane 2: mouse brain lysate, Lane 3: rat brain lysate, Lane 4: hamster brain lysate, Lane 5: guinea pig brain lysate, Lane 6: rabbit brain lysate, Lane 7: human heart lysate, Lane 8: mouse heart lysate, Lane 9: rat heart lysate, Lane 10: hamster heart lysate, Lane 11: guinea pig heart lysate, Lane 12: rabbit heart lysate. A band is detected at approximately 120-135 kDa, consistent with the predicted molecular weight of N-Cadherin (CDH2), with the slightly higher apparent migration reflecting known glycosylation of this transmembrane adhesion protein. Detection across multiple species supports the use of this N-Cadherin antibody in translational studies bridging animal models and human tissue analysis.
Western blot testing of human heart tissue lysate with N-Cadherin antibody (clone CDH2/8998R). Predicted molecular weight ~100 kDa (unmodified), 125-140 kDa (modified).
SDS-PAGE analysis of purified, BSA-free N-Cadherin antibody (clone CDH2/8998R) as confirmation of integrity and purity.
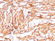
IHC staining of FFPE human heart tissue with N-Cadherin antibody (clone CDH2/8998R). HIER: boil tissue sections in pH 9 10mM Tris with 1mM EDTA for 20 min and allow to cool before testing.
Western blot testing of human heart tissue lysate with N-Cadherin antibody (clone CDH2/8998R). Predicted molecular weight ~100 kDa (unmodified), 125-140 kDa (modified).
Availability 1-3 business days
Species Reactivity Human, Mouse, Rat, Hamster, Rabbit, Guinea pig
Format Purified
Host Rabbit
Clonality Recombinant Rabbit Monoclonal
Isotype Rabbit IgG, kappa
Clone Name CDH2/8998R
Purity Protein A/G affinity
UniProt P19022
Localization Cell surface
Applications Immunohistochemistry (FFPE) : 1-2ug/ml for 30 min at RT (Human)
Western Blot : 2-4ug/ml (Human/Mouse/Rat/Hamster/Rabbit/Guinea pig)
Limitations This N-Cadherin Antibody / CDH2 Translational Model Validation Antibody is available for research use only.
Review this product on BioCompare and get a $20 Amazon gift card

Related Products

Description

N-Cadherin (CDH2) is a classical calcium-dependent transmembrane adhesion protein that plays a central role in maintaining tissue architecture in both neural and cardiac systems. N-Cadherin (CDH2) is localized primarily at the plasma membrane, where it forms adherens junctions through homophilic interactions and connects to the actin cytoskeleton via catenin family proteins. The N-Cadherin Antibody / CDH2 Translational Model Validation Antibody is designed to detect this conserved adhesion molecule in a manner that supports direct comparison between human tissues and widely used animal models, enabling alignment of experimental findings across species.

N-Cadherin antibody, also referred to as CDH2 antibody and Cadherin 2 antibody in the literature, recognizes a protein with highly conserved sequence and structural features across vertebrates. Western blot analysis demonstrates clear detection of N-Cadherin in brain and heart lysates from human, mouse, rat, hamster, guinea pig, and rabbit, providing direct experimental support for cross-species applicability. This consistent detection across commonly used laboratory species makes the antibody particularly well suited for translational workflows, where validation of target expression in both model organisms and human tissue is essential.

Structurally, N-Cadherin contains five extracellular cadherin repeat domains that mediate calcium-dependent adhesion, a single transmembrane region, and a conserved intracellular domain that binds beta-catenin and p120-catenin to stabilize adherens junctions and coordinate intracellular signaling. These domains are under strong evolutionary constraint due to their essential role in cell-cell adhesion, which supports the reproducible detection of CDH2 across species. N-Cadherin is also glycosylated, resulting in a slightly higher apparent molecular weight on SDS-PAGE than predicted, a consistent feature observed in both neural and cardiac tissue lysates that aids in confident target identification.

Functionally, CDH2 is critical for neuronal development and connectivity, where it regulates neuronal migration, neurite extension, synapse formation, and maintenance of neural networks. In cardiac tissue, N-Cadherin is a key structural component of intercalated discs, maintaining strong mechanical coupling between cardiomyocytes and enabling coordinated contraction. The conserved expression of N-Cadherin in both brain and heart tissues across species highlights its fundamental biological importance and reinforces its relevance in studies that span basic biology and disease modeling.

This N-Cadherin antibody also demonstrates clear staining in human tissue by immunohistochemistry, where membranous localization highlights cell-cell junctions consistent with N-Cadherin distribution. The combination of multi-species western blot detection and human tissue localization provides complementary evidence supporting its use in translational research, where both biochemical validation and tissue-level context are required.

Clone CDH2/8998R is a recombinant rabbit monoclonal antibody designed to recognize conserved epitopes within the N-Cadherin protein, enabling reliable detection across species and experimental systems. This makes it particularly valuable for translational studies bridging preclinical models and human biology, including research in neurodevelopment, cardiovascular disease, tissue remodeling, and cancer progression. The ability to generate consistent and biologically aligned data across species provides a clear differentiation for this N-Cadherin antibody in applications requiring dependable cross-system validation.

This antibody is part of a broader antibody panel offered by NSJ Bioreagents.

Application Notes

Optimal dilution of the N-Cadherin Antibody / CDH2 Translational Model Validation Antibody should be determined by the researcher.

Immunogen

A recombinant partial protein sequence (within amino acids 605-905) from the human protein was used as the immunogen for the N-Cadherin antibody.

Storage

Aliquot the N-Cadherin antibody and store frozen at -20oC or colder. Avoid repeated freeze-thaw cycles.

Alternate Names

CDH2 antibody, Cadherin 2 antibody, N-Cadherin WB antibody, CDH2 translational antibody, N-Cadherin IHC antibody

Cross
Bulk Quote Request Form
Name*:
Organization*:
Email*:
Phone Number*:
Catalog No.*:
Comments and Specifics(amount, formulation, etc.)*:
Validation code: Captchapackage Image


Can't read the image? click here to refresh.
    *required field

Your bulk quote request has been submitted successfully!

Please contact us if you have any questions.