• Tel: 858.663.9055
  • SeparatorEmail: info@nsjbio.com
  • Tel: 858.663.9055
  • Email: info@nsjbio.com
Home >> Antibodies >> Myosin Antibody / Skeletal Slow

Myosin Antibody / Skeletal Slow [clone NOQ7.5.4D] (R30056)

  Catalog No Formulation Size Price (USD)  
Image R30056 0.5mg/ml if reconstituted with 0.2ml sterile DI water 100 ug 439
Bulk quote request
Western blot testing of 1) mouse skeletal muscle and 2) rat skeletal muscle tissue lysate with Myosin antibody.
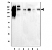
Western blot testing of 1) monkey heart, 2) monkey skeletal muscle, 3) rat heart, 4) rat skeletal muscle, 5) mouse heart and 6) mouse skeletal muscle tissue lysate with Myosin antibody.
IHC staining of FFPE rat skeletal muscle tissue with Myosin antibody. HIER: boil tissue sections in pH8 EDTA for 20 min and allow to cool before testing.
Availability 1-3 business days
Species Reactivity Human, Mouse, Rat, Monkey
Format Ascites
Clonality Monoclonal (mouse origin)
Isotype Mouse IgG1
Clone Name NOQ7.5.4D
Purity Ascites
Buffer Lyophilized from ascites with 1.2% sodium acetate, 2mg BSA and 0.01mg sodium azide
Gene ID 4625
Applications Western Blot : 0.5-2ug/ml
Immunohistochemistry (FFPE) : 1-2ug/ml
Limitations This Myosin antibody is available for research use only.
Review this product on BioCompare and get a $20 Amazon gift card

Related Products

Description

Myosin is composed of 2 heavy chains of about 200,000 daltons each and 4 light chains of about 20,000 daltons each. Skeletal Myosin(slow), also known as light chain 3 (MYL3), mapped to 3p. Fodor et al.(1989) found that the MYL3 gene has 7 exons, the last of which is completely untranslated 3-prime sequence.

Application Notes

The stated application concentrations are suggested starting amounts. Titration of the Myosin antibody may be required due to differences in protocols and secondary/substrate sensitivity.

Immunogen

Human skeletal muscle myosin purified from myofibrils was used as the immunogen for this Myosin antibody (Skeletal Slow).

Storage

The Myosin antibody can be stored for up to one month at 4oC. For long-term, aliquot and store at -20oC. Avoid repeated freezing and thawing.

Cross
Bulk Quote Request Form
Name*:
Organization*:
Email*:
Phone Number*:
Catalog No.*:
Comments and Specifics(amount, formulation, etc.)*:
Validation code: Captchapackage Image


Can't read the image? click here to refresh.
    *required field

Your bulk quote request has been submitted successfully!

Please contact us if you have any questions.