• Tel: 858.663.9055
  • SeparatorEmail: info@nsjbio.com
  • Tel: 858.663.9055
  • Email: info@nsjbio.com
Home >> Antibodies >> MYO7A Antibody / Unconventional Myosin-VIIa

MYO7A Antibody / Unconventional Myosin-VIIa [clone AFCH-13] (RQ8896)

  Catalog No Formulation Size Price (USD)  
Image RQ8896 Antibody in PBS with 0.02% sodium azide, 50% glycerol and 0.4-0.5mg/ml BSA 100 ul 449
Microvalidated Recrabbitmono
Bulk quote request
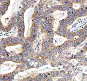
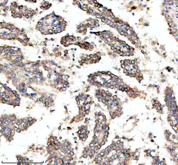
IHC staining of FFPE human lung cancer tissue with MYO7A antibody, HRP-secondary and DAB substrate. HIER: boil tissue sections in pH8 EDTA for 20 min and allow to cool before testing.
IHC staining of FFPE human stomach cancer tissue with MYO7A antibody, HRP-secondary and DAB substrate. HIER: boil tissue sections in pH8 EDTA for 20 min and allow to cool before testing.
IHC staining of FFPE mouse eye tissue with MYO7A antibody, HRP-secondary and DAB substrate. HIER: boil tissue sections in pH8 EDTA for 20 min and allow to cool before testing.
IHC staining of FFPE rat eye tissue with MYO7A antibody, HRP-secondary and DAB substrate. HIER: boil tissue sections in pH8 EDTA for 20 min and allow to cool before testing.
Western blot testing of human Y79 cell lysate with MYO7A antibody. Predicted molecular weight ~254 kDa.
Availability 1-3 days
Species Reactivity Human, Mouse, Rat
Format Purified
Host Rabbit
Clonality Recombinant Rabbit Monoclonal
Isotype Rabbit IgG
Clone Name AFCH-13
Purity Affinity chromatography
UniProt Q13402
Localization Cytoplasm
Applications Western Blot : 1:500
Immunohistochemistry (FFPE) : 1:50
Limitations This MYO7A antibody is available for research use only.
Review this product on BioCompare and get a $20 Amazon gift card

Description

Unconventional Myosin-VIIa (MYO7A) is an actin-based motor protein involved in intracellular transport and structural organization within sensory cells. It plays a critical role in the function of hair cells in the inner ear and photoreceptor cells in the retina, contributing to mechanosensory and visual processes.

Mutations in MYO7A are associated with hereditary hearing loss, Usher syndrome type 1B, and certain forms of retinitis pigmentosa. MYO7A is essential for maintaining stereocilia structure in cochlear hair cells and for transporting opsin-containing vesicles in retinal cells, highlighting its importance in sensory cell maintenance and signaling.

Using a high-quality MYO7A antibody enables sensitive detection in applications such as western blot, immunohistochemistry, and immunofluorescence. An MYO7A antibody from NSJ Bioreagents provides consistent performance for research into sensory biology, genetic disorders, and intracellular transport mechanisms. Selecting the right MYO7A antibody is essential for achieving accurate and reproducible results.

Application Notes

Optimal dilution of the MYO7A antibody should be determined by the researcher.

Immunogen

A peptide sequence specific to Unconventional Myosin-VIIa was used as the immunogen for the MYO7A antibody.

Storage

After reconstitution, the MYO7A antibody can be stored for up to one month at 4oC. For long-term, aliquot and store at -20oC. Avoid repeated freezing and thawing.

Cross
Bulk Quote Request Form
Name*:
Organization*:
Email*:
Phone Number*:
Catalog No.*:
Comments and Specifics(amount, formulation, etc.)*:
Validation code: Captchapackage Image


Can't read the image? click here to refresh.
    *required field

Your bulk quote request has been submitted successfully!

Please contact us if you have any questions.