• Tel: 858.663.9055
  • SeparatorEmail: info@nsjbio.com
  • Tel: 858.663.9055
  • Email: info@nsjbio.com
Home >> Antibodies >> MYL5 Antibody / Myosin light chain 5

MYL5 Antibody / Myosin light chain 5 (RQ8448)

  Catalog No Formulation Size Price (USD)  
Image RQ8448 0.5mg/ml if reconstituted with 0.2ml sterile DI water 100 ug 449
Bulk quote request
Immunofluorescent staining of FFPE human U-2 OS cells with MYL5 antibody (red) and DAPI nuclear stain (blue). HIER: steam section in pH6 citrate buffer for 20 min.
IHC staining of FFPE human skeletal muscle tissue with MYL5 antibody. HIER: boil tissue sections in pH8 EDTA for 20 min and allow to cool before testing.
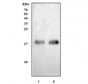
Western blot testing of 1) rat skeletal muscle and 2) mouse skeletal muscle tissue lysate with MYL5 antibody. Predicted molecular weight ~19 kDa.
Flow cytometry testing of fixed and permeabilized human JK cells with MYL5 antibody at 1ug/million cells (blocked with goat sera); Red=cells alone, Green=isotype control, Blue= MYL5 antibody.
Availability 1-3 business days
Species Reactivity Human, Mouse, Rat
Format Antigen affinity purified
Host Rabbit
Clonality Polyclonal (rabbit origin)
Isotype Rabbit IgG
Purity Antigen affinity purified
Buffer Lyophilized from 1X PBS with 2% Trehalose
UniProt Q02045
Localization Cytoplasm, Nucleus
Applications Western Blot : 0.5-1ug/ml
Immunohistochemistry (FFPE) : 2-5ug/ml
Immunofluorescence : 5ug/ml
Flow Cytometry : 1-3ug/million cells
ELISA : 0.1-0.5ug/ml
Limitations This MYL5 antibody is available for research use only.
Review this product on BioCompare and get a $20 Amazon gift card

Description

Myosin light chain 5 is a protein that, in humans, is encoded by the MYL5 gene. This gene encodes one of the myosin light chains, a component of the hexameric ATPase cellular motor protein myosin. Myosin is composed of two heavy chains, two nonphosphorylatable alkali light chains, and two phosphorylatable regulatory light chains. This gene product, one of the regulatory light chains, is expressed in fetal muscle and in adult retina, cerebellum, and basal ganglia.

Application Notes

Optimal dilution of the MYL5 antibody should be determined by the researcher.

Immunogen

An E.coli-derived human recombinant protein (K56-D157) was used as the immunogen for the MYL5 antibody.

Storage

After reconstitution, the MYL5 antibody can be stored for up to one month at 4oC. For long-term, aliquot and store at -20oC. Avoid repeated freezing and thawing.

Cross
Bulk Quote Request Form
Name*:
Organization*:
Email*:
Phone Number*:
Catalog No.*:
Comments and Specifics(amount, formulation, etc.)*:
Validation code: Captchapackage Image


Can't read the image? click here to refresh.
    *required field

Your bulk quote request has been submitted successfully!

Please contact us if you have any questions.