• Tel: 858.663.9055
  • SeparatorEmail: info@nsjbio.com
  • Tel: 858.663.9055
  • Email: info@nsjbio.com
Home >> Antibodies >> MYH14 Antibody / Myosin 14

MYH14 Antibody / Myosin 14 (FY12203)

  Catalog No Formulation Size Price (USD)  
Image FY12203 Adding 0.2 ml of distilled water will yield a concentration of 500 ug/ml 100 ug 449
Bulk quote request
Immunohistochemical staining of MYH14 using anti-MYH14 antibody. MYH14 was detected in a paraffin-embedded section of human colon tissue. Heat mediated antigen retrieval was performed in EDTA buffer (pH 8.0, epitope retrieval solution). The tissue section was blocked with 10% goat serum. The tissue section was then incubated with 2 ug/ml rabbit anti-MYH14 antibody overnight at 4oC. Peroxidase Conjugated Goat Anti-rabbit IgG was used as secondary antibody and incubated for 30 minutes at 37oC. The tissue section was developed using an HRP secondary and DAB substrate.
Western blot analysis of MYH14 using anti-MYH14 antibody. Lane 1: human whole cell lysates, Lane 2: human U-87MG whole cell lysates, Lane 3: human RT4 whole cell lysates, Lane 4: rat lung tissue lysates. After electrophoresis, proteins were transferred to a nitrocellulose membrane at 150 mA for 50-90 minutes. Blocked the membrane with 5% non-fat milk/TBS for 1.5 hour at RT. The membrane was incubated with rabbit anti-MYH14 antibody at 0.5 ug/ml overnight at 4oC, then washed with TBS-0.1%Tween 3 times with 5 minutes each and probed with a goat anti-rabbit IgG-HRP secondary antibody at a dilution of 1:5000 for 1.5 hour at RT. The signal was developed using enhanced chemiluminescent. The expected band size for MYH14 is at 228 kDa.
Immunohistochemical staining of MYH14 using anti-MYH14 antibody. MYH14 was detected in a paraffin-embedded section of human colon tissue. Heat mediated antigen retrieval was performed in EDTA buffer (pH 8.0, epitope retrieval solution). The tissue section was blocked with 10% goat serum. The tissue section was then incubated with 2 ug/ml rabbit anti-MYH14 antibody overnight at 4oC. Peroxidase Conjugated Goat Anti-rabbit IgG was used as secondary antibody and incubated for 30 minutes at 37oC. The tissue section was developed using an HRP secondary and DAB substrate.
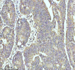
Immunohistochemical staining of MYH14 using anti-MYH14 antibody. MYH14 was detected in a paraffin-embedded section of human colon cancer tissue. Heat mediated antigen retrieval was performed in EDTA buffer (pH 8.0, epitope retrieval solution). The tissue section was blocked with 10% goat serum. The tissue section was then incubated with 2 ug/ml rabbit anti-MYH14 antibody overnight at 4oC. Peroxidase Conjugated Goat Anti-rabbit IgG was used as secondary antibody and incubated for 30 minutes at 37oC. The tissue section was developed using an HRP secondary and DAB substrate.
Immunohistochemical staining of MYH14 using anti-MYH14 antibody. MYH14 was detected in a paraffin-embedded section of human colon cancer tissue. Heat mediated antigen retrieval was performed in EDTA buffer (pH 8.0, epitope retrieval solution). The tissue section was blocked with 10% goat serum. The tissue section was then incubated with 2 ug/ml rabbit anti-MYH14 antibody overnight at 4oC. Peroxidase Conjugated Goat Anti-rabbit IgG was used as secondary antibody and incubated for 30 minutes at 37oC. The tissue section was developed using an HRP secondary and DAB substrate.
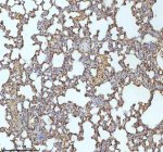
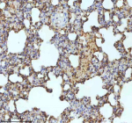
Immunohistochemical staining of MYH14 using anti-MYH14 antibody. MYH14 was detected in a paraffin-embedded section of mouse lung tissue. Heat mediated antigen retrieval was performed in EDTA buffer (pH 8.0, epitope retrieval solution). The tissue section was blocked with 10% goat serum. The tissue section was then incubated with 2 ug/ml rabbit anti-MYH14 antibody overnight at 4oC. Peroxidase Conjugated Goat Anti-rabbit IgG was used as secondary antibody and incubated for 30 minutes at 37oC. The tissue section was developed using an HRP secondary and DAB substrate.
Immunohistochemical staining of MYH14 using anti-MYH14 antibody. MYH14 was detected in a paraffin-embedded section of mouse lung tissue. Heat mediated antigen retrieval was performed in EDTA buffer (pH 8.0, epitope retrieval solution). The tissue section was blocked with 10% goat serum. The tissue section was then incubated with 2 ug/ml rabbit anti-MYH14 antibody overnight at 4oC. Peroxidase Conjugated Goat Anti-rabbit IgG was used as secondary antibody and incubated for 30 minutes at 37oC. The tissue section was developed using an HRP secondary and DAB substrate.
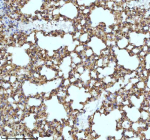
Immunohistochemical staining of MYH14 using anti-MYH14 antibody. MYH14 was detected in a paraffin-embedded section of rat lung tissue. Heat mediated antigen retrieval was performed in EDTA buffer (pH 8.0, epitope retrieval solution). The tissue section was blocked with 10% goat serum. The tissue section was then incubated with 2 ug/ml rabbit anti-MYH14 antibody overnight at 4oC. Peroxidase Conjugated Goat Anti-rabbit IgG was used as secondary antibody and incubated for 30 minutes at 37oC. The tissue section was developed using an HRP secondary and DAB substrate.
Immunohistochemical staining of MYH14 using anti-MYH14 antibody. MYH14 was detected in a paraffin-embedded section of rat lung tissue. Heat mediated antigen retrieval was performed in EDTA buffer (pH 8.0, epitope retrieval solution). The tissue section was blocked with 10% goat serum. The tissue section was then incubated with 2 ug/ml rabbit anti-MYH14 antibody overnight at 4oC. Peroxidase Conjugated Goat Anti-rabbit IgG was used as secondary antibody and incubated for 30 minutes at 37oC. The tissue section was developed using an HRP secondary and DAB substrate.
Flow Cytometry analysis of HepG2 cells using anti-MYH14 antibody. Overlay histogram showing HepG2 cells stained with (Blue line). To facilitate intracellular staining, cells were fixed with 4% paraformaldehyde and permeabilized with permeabilization buffer. The cells were blocked with 10% normal goat serum. And then incubated with rabbit anti-MYH14 antibody (1 ug/million cells) for 30 min at 20oC. DyLight 488 conjugated goat anti-rabbit IgG (5-10 ug/million cells) was used as secondary antibody for 30 minutes at 20oC. Isotype control antibody (Green line) was rabbit IgG (1 ug/million cells) used under the same conditions. Unlabelled sample (Red line) was also used as a control.
Availability 1-2 days
Species Reactivity Human, Mouse, Rat
Format Lyophilized
Host Rabbit
Clonality Polyclonal (rabbit origin)
Isotype Rabbit IgG
Purity Immunogen affinity purified
Buffer Each vial contains 4 mg Trehalose, 0.9 mg NaCl, 0.2 mg Na2HPO4.
UniProt Q7Z406
Applications Western Blot : 0.25-0.5ug/ml
Immunohistochemistry : 2-5ug/ml
Flow Cytometry : 1-3ug/million cells
ELISA : 0.1-0.5ug/ml
Limitations This MYH14 antibody is available for research use only.
Review this product on BioCompare and get a $20 Amazon gift card

Description

MYH14 antibody detects Myosin-14, encoded by the MYH14 gene on chromosome 19q13.33. MYH14 antibody is used in studies of cytoskeletal regulation, hearing, and cellular motility. Myosin-14 belongs to the class II non-muscle myosins, functioning as an actin-based motor protein. It regulates actin filament organization, adhesion, and vesicle trafficking. Expression is widespread, with high levels in inner ear hair cells, smooth muscle, and neuronal tissue, where it supports specialized mechanical and sensory functions.

Structurally, Myosin-14 is a large protein containing an N-terminal motor domain with ATPase activity, a neck region with IQ motifs that bind light chains, and a coiled-coil tail that mediates dimerization and filament assembly. Its motor domain hydrolyzes ATP to generate force for actin filament sliding, supporting contractility and cytoskeletal rearrangements. Isoforms derived from alternative splicing confer tissue-specific functions.

Functionally, Myosin-14 regulates actin cytoskeleton dynamics, contributing to cell migration, adhesion, and intracellular transport. In neurons, it supports axon guidance and synaptic function. In the inner ear, Myosin-14 is essential for mechanotransduction and hearing. Knockout or mutation of MYH14 disrupts hair cell function, leading to progressive hearing loss. Researchers use MYH14 antibody to investigate cytoskeletal biology, neuronal function, and auditory physiology.

Clinically, MYH14 mutations are associated with autosomal dominant non-syndromic hearing loss (DFNA4A). Mutations disrupt motor activity or actin binding, impairing hair cell function. Myosin-14 variants are also linked to peripheral neuropathy and craniofacial developmental disorders. Altered expression of MYH14 has been observed in cancers, where cytoskeletal regulation influences invasion and metastasis. NSJ Bioreagents offers MYH14 antibody as a tool for studies of cytoskeletal regulation, auditory biology, and disease mechanisms.

Experimentally, MYH14 antibody is used in western blotting to detect the ~230 kDa protein, in immunofluorescence microscopy to visualize actin-associated localization, and in immunohistochemistry to study hair cell and neuronal expression. Co-immunoprecipitation with MYH14 antibody isolates complexes of actin, myosin light chains, and regulatory proteins.

Application Notes

Optimal dilution of the MYH14 antibody should be determined by the researcher.

Immunogen

E.coli-derived human MYH14 recombinant protein (Position: M1-R1895) was used as the immunogen for the MYH14 antibody.

Storage

After reconstitution, the MYH14 antibody can be stored for up to one month at 4oC. For long-term, aliquot and store at -20oC. Avoid repeated freezing and thawing.

Cross
Bulk Quote Request Form
Name*:
Organization*:
Email*:
Phone Number*:
Catalog No.*:
Comments and Specifics(amount, formulation, etc.)*:
Validation code: Captchapackage Image


Can't read the image? click here to refresh.
    *required field

Your bulk quote request has been submitted successfully!

Please contact us if you have any questions.