• Tel: 858.663.9055
  • SeparatorEmail: info@nsjbio.com
  • Tel: 858.663.9055
  • Email: info@nsjbio.com
Home >> Antibodies >> Myeloid zinc finger 1 Antibody / MZF1

Myeloid zinc finger 1 Antibody / MZF1 [clone PCRP-MZF1-1E8] (V4655)

  Catalog No Formulation Size Price (USD)  
Image V4655-100UG 0.2 mg/ml in 1X PBS with 0.1 mg/ml BSA (US sourced), 0.05% sodium azide 100 ug 559
Image
V4655-20UG 0.2 mg/ml in 1X PBS with 0.1 mg/ml BSA (US sourced), 0.05% sodium azide 20 ug 259
Image
V4655SAF-100UG 1 mg/ml in 1X PBS; BSA free, sodium azide free 100 ug 559
Microvalidated
Bulk quote request
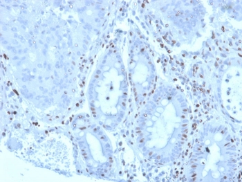
IHC staining of FFPE human colon carcinoma tissue with Myeloid zinc finger 1 antibody (clone PCRP-MZF1-1E8). HIER: boil tissue sections in pH 9 10mM Tris with 1mM EDTA for 20 min and allow to cool before testing.
Flow cytometry testing of PFA-fixed human HeLa cells with Myeloid zinc finger 1 antibody (clone PCRP-MZF1-1E8) followed by goat anti-mouse IgG-CF488 (blue), Red = unstained cells.
SDS-PAGE analysis of purified, BSA-free Myeloid zinc finger 1 antibody (clone PCRP-MZF1-1E8) as confirmation of integrity and purity.
Analysis of a HuProt(TM) microarray containing more than 19,000 full-length human proteins using Myeloid zinc finger 1 antibody (clone PCRP-MZF1-1E8). Z- and S- Score: The Z-score represents the strength of a signal that a monoclonal antibody (in combination with a fluorescently-tagged anti-IgG secondary antibody) produces when binding to a particular protein on the HuProt(TM) array. Z-scores are described in units of standard deviations (SD's) above the mean value of all signals generated on that array. If targets on HuProt(TM) are arranged in descending order of the Z-score, the S-score is the difference (also in units of SD's) between the Z-score. S-score therefore represents the relative target specificity of a mAb to its intended target. A mAb is considered to specific to its intended target, if the mAb has an S-score of at least 2.5. For example, if a mAb binds to protein X with a Z-score of 43 and to protein Y with a Z-score of 14, then the S-score for the binding of that mAb to protein X is equal to 29.
Availability 1-3 business days
Species Reactivity Human
Format Purified
Host Mouse
Clonality Monoclonal (mouse origin)
Isotype Mouse IgG2a
Clone Name PCRP-MZF1-1E8
Purity Protein A/G affinity
UniProt P28698
Localization Nucleus
Applications Flow Cytometry : 1-2ug/million cells
Immunofluorescence : 1-2ug/ml
Immunohistochemistry (FFPE) : 1-2ug/ml for 30 min at RT
Limitations This Myeloid zinc finger 1 antibody is available for research use only.
Review this product on BioCompare and get a $20 Amazon gift card

Description

Zinc finger genes that encode metal-binding proteins are transcriptional regulators of other genes. Myeloid zinc finger 1 (MZF-1), also designated zinc finger protein 42, and transcription factor ZBP-89, also designated zinc finger protein 148, belong to the Kruppel C2H2-type zinc-finger protein family. The gene encoding for the MZF-1 protein maps to chromosome 19q13.43 while the gene encoding for ZBP-89 is localized on chromosome 3q21. These proteins are nuclear proteins involved in the regulation of transcriptional events. MZF-1 regulates transcription during hemopoietic development and plays a role in myeloid cell differentiation. MZF-1 regulates the CD34 promoter in a tissue-specific manner. MZF-1 and FHL3 can form a complex of high molecular mass with other proteins in the nucleus. It is induced by retinoic acid and is primarily expressed in differentiating myeloid cells.

Application Notes

Optimal dilution of the Myeloid zinc finger 1 antibody should be determined by the researcher.

Immunogen

A recombinant partial protein sequence (within amino acids 37-128) from the human protein was used as the immunogen for the Myeloid zinc finger 1 antibody.

Storage

Aliquot the Myeloid zinc finger 1 antibody and store frozen at -20oC or colder. Avoid repeated freeze-thaw cycles.

Cross
Bulk Quote Request Form
Name*:
Organization*:
Email*:
Phone Number*:
Catalog No.*:
Comments and Specifics(amount, formulation, etc.)*:
Validation code: Captchapackage Image


Can't read the image? click here to refresh.
    *required field

Your bulk quote request has been submitted successfully!

Please contact us if you have any questions.