• Tel: 858.663.9055
  • SeparatorEmail: info@nsjbio.com
  • Tel: 858.663.9055
  • Email: info@nsjbio.com
Home >> Antibodies >> Myeloid Cell Antibody

Myeloid Cell Antibody [clone SPM298] (V9118)

  Catalog No Formulation Size Price (USD)  
Image V9118-100UG 0.2 mg/ml in 1X PBS with 0.1 mg/ml BSA (US sourced) and 0.05% sodium azide 100 ug 559
Image
V9118-20UG 0.2 mg/ml in 1X PBS with 0.1 mg/ml BSA (US sourced) and 0.05% sodium azide 20 ug 259
Image
V9118SAF-100UG 1 mg/ml in 1X PBS; BSA free, sodium azide free 100 ug 559
Image
V9118IHC-7ML Prediluted in 1X PBS with 0.1 mg/ml BSA (US sourced) and 0.05% sodium azide; *For IHC use only* 7 ml 559
Bulk quote request
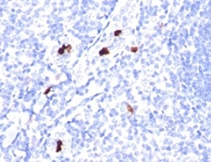
Myeloid Cell Antibody IHC. Immunohistochemistry testing of formalin-fixed, paraffin-embedded human tonsil stained with Myeloid Cell antibody (SPM298).
Availability 1-3 business days
Species Reactivity Human
Format Purified
Host Mouse
Clonality Monoclonal (mouse origin)
Isotype Mouse IgG1, kappa
Clone Name SPM298
Purity Protein G affinity chromatography
Localization Cytoplasmic and nuclear
Applications Immunohistochemistry (FFPE) : 1-2ug/ml for 30 min at RT
Limitations This Myeloid Cell antibody is available for research use only.
Review this product on BioCompare and get a $20 Amazon gift card

Related Products

Description

Myeloid Cell Antibody SPM298 reacts with myeloid precursor cells and granulocytes in bone marrow. Its antigen appears to be restricted to M2 and M3 acute myelogenous leukemia (AML) subtypes. Markers of myeloid cells are useful in the identification of different levels of cellular differentiation.

For broader characterization of macrophage and granulocyte-associated immune cell populations, see our Macrophage / Granulocyte Marker Antibody page featuring clone BM-1 for innate immune lineage-associated tissue studies.

Application Notes

The optimal dilution of the Myeloid Cell antibody for each application should be determined by the researcher.

1. No special pretreatment is required for staining of formalin/paraffin tissues.
2. The prediluted format is supplied in a dropper bottle and is optimized for use in IHC. After epitope retrieval step (if required), drip mAb solution onto the tissue section and incubate at RT for 30 min.

Immunogen

Human PBMs were used as the immunogen for this Myeloid Cell antibody.

Storage

Store the Myeloid Cell antibody at 2-8oC (with azide) or aliquot and store at -20oC or colder (without azide).

Cross
Bulk Quote Request Form
Name*:
Organization*:
Email*:
Phone Number*:
Catalog No.*:
Comments and Specifics(amount, formulation, etc.)*:
Validation code: Captchapackage Image


Can't read the image? click here to refresh.
    *required field

Your bulk quote request has been submitted successfully!

Please contact us if you have any questions.