• Tel: 858.663.9055
  • SeparatorEmail: info@nsjbio.com
  • Tel: 858.663.9055
  • Email: info@nsjbio.com
Home >> Antibodies >> Myelin Protein Zero Antibody / MPZ

Myelin Protein Zero Antibody / MPZ [clone MPZ/7389] (V4752)

  Catalog No Formulation Size Price (USD)  
Image V4752-100UG 0.2 mg/ml in 1X PBS with 0.1 mg/ml BSA (US sourced), 0.05% sodium azide 100 ug 559
Image
V4752-20UG 0.2 mg/ml in 1X PBS with 0.1 mg/ml BSA (US sourced), 0.05% sodium azide 20 ug 259
Image
V4752SAF-100UG 1 mg/ml in 1X PBS; BSA free, sodium azide free 100 ug 559
Bulk quote request
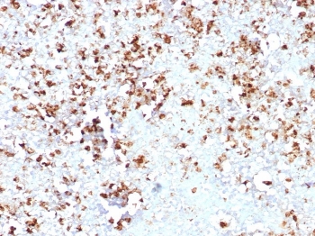
IHC staining of FFPE human colon carcinoma tissue with Myelin Protein Zero antibody (clone MPZ/7389). HIER: boil tissue sections in pH 9 10mM Tris with 1mM EDTA for 20 min and allow to cool before testing.
SDS-PAGE analysis of purified, BSA-free Myelin Protein Zero antibody (clone MPZ/7389) as confirmation of integrity and purity.
Availability 1-3 business days
Species Reactivity Human
Format Purified
Host Mouse
Clonality Monoclonal (mouse origin)
Isotype Mouse IgG2a, kappa
Clone Name MPZ/7389
Purity Protein A/G affinity
UniProt P25189
Localization Membrane
Applications Immunohistochemistry (FFPE) : 1-2ug/ml for 30 min at RT
Limitations This Myelin Protein Zero antibody is available for research use only.
Review this product on BioCompare and get a $20 Amazon gift card

Related Products

Description

Zero, also known as myelin protein zero (MPZ) is a Type 1 integral membrane glycoprotein that mediates adhesion of spiraling wraps of the myelin sheath in order to ensure stable synaptic transmission. Zero protein encompasses approximately 50% of total protein in the sheath scaffolding in contribution to structural integrity of peripheral myelin. Zero guides the compact myelin wrapping process through glycine zipper packing interface-dependent dimer and tetramer formation. Mutations (e.g. G134R) can abrogate multimer formation, cause demyelinating neuropathies, and are known to contribute to conditions that include Charcot-Marie-Tooth disease. Zero cytoplasmic domain undergoes serine and tyrosine phosphorylation, which appears to be prevalent during peak nerve myelination. Zero transcript is moderate in brain, abundant in thymus and most abundant in white matter of the CNS.

Application Notes

Optimal dilution of the Myelin Protein Zero antibody should be determined by the researcher.

Immunogen

Recombinant full-length human MPZ protein was used as the immunogen for the Myelin Protein Zero antibody.

Storage

Aliquot the Myelin Protein Zero antibody and store frozen at -20oC or colder. Avoid repeated freeze-thaw cycles.

Cross
Bulk Quote Request Form
Name*:
Organization*:
Email*:
Phone Number*:
Catalog No.*:
Comments and Specifics(amount, formulation, etc.)*:
Validation code: Captchapackage Image


Can't read the image? click here to refresh.
    *required field

Your bulk quote request has been submitted successfully!

Please contact us if you have any questions.