• Tel: 858.663.9055
  • SeparatorEmail: info@nsjbio.com
  • Tel: 858.663.9055
  • Email: info@nsjbio.com
Home >> Antibodies >> MyD88 Antibody

MyD88 Antibody (R34336)

  Catalog No Formulation Size Price (USD)  
Image R34336-100UG 0.5 mg/ml in 1X TBS, pH7.3, with 0.5% BSA (US sourced) and 0.02% sodium azide 100 ug 475
Bulk quote request
Western blot testing of human thymus lysate with MyD88 antibody at 0.03ug/ml. Predicted molecular weight ~33 kDa.
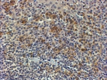
IHC staining of FFPE human tonsil with MyD88 antibody at 4ug/ml. HIER: steamed with pH9 Tris/EDTA buffer, HRP-staining. pH6 antigen retireval is not sufficient.
Sandwich ELISA using the MyD88 antibody at 5ug/ml as the detect.
Availability 1-3 business days
Species Reactivity Human
Predicted Reactivity Dog, Mouse, Rat
Format Antigen affinity purified
Host Goat
Clonality Polyclonal (goat origin)
Isotype Goat Ig
Purity Antigen affinity
Gene ID 4615
Applications Western Blot : 0.03-0.1ug/ml
Immunohistochemistry (FFPE) : 4-6ug/ml
Enzyme ImmunoAssay : used as capture for recombinant protein (coat at 5-10ug/ml)
ELISA (peptide) LOD : 1:16000
Limitations This MyD88 antibody is available for research use only.
Review this product on BioCompare and get a $20 Amazon gift card

Related Products

  • Applications : WB, IHC
    Reactivity : Human
    Recrabbitmono
  • Applications : WB
    Reactivity : Human, Mouse
  • Applications : WB, IHC-P, IP
    Reactivity : Human, Mouse, Rat
  • Applications : WB, IHC-P, IF, FACS
    Reactivity : Human, Mouse, Rat
  • Applications : WB, IHC, ELISA (peptide)
    Reactivity : Human
    Pred. Reactivity : Dog, Mouse, Rat
  • Applications : WB
    Reactivity : Mouse, Rat
  • Applications : WB
    Reactivity : Rat
  • Applications : WB, IHC, FACS, ELISA
    Reactivity : Human, Mouse
    Pred. Reactivity : Primate
  • Applications : WB, IHC-P, FACS, Direct ELISA
    Reactivity : Human
  • Applications : WB, IHC-P, FACS
    Reactivity : Human
  • Applications : WB, IHC-P
    Reactivity : Zebrafish

Description

Additional name(s) for this target protein: Myeloid differentiation primary response gene 88

Application Notes

Optimal dilution of the MyD88 antibody should be determined by the researcher.

Immunogen

Amino acids IKYKAMKKEFP were used as the immunogen for this MyD88 antibody.

Storage

Aliquot and store the MyD88 antibody at -20oC.

Cross
Bulk Quote Request Form
Name*:
Organization*:
Email*:
Phone Number*:
Catalog No.*:
Comments and Specifics(amount, formulation, etc.)*:
Validation code: Captchapackage Image


Can't read the image? click here to refresh.
    *required field

Your bulk quote request has been submitted successfully!

Please contact us if you have any questions.