• Tel: 858.663.9055
  • SeparatorEmail: info@nsjbio.com
  • Tel: 858.663.9055
  • Email: info@nsjbio.com
Home >> Antibodies >> MyD88 Antibody

MyD88 Antibody (R31568)

  Catalog No Formulation Size Price (USD)  
Image R31568 0.5mg/ml if reconstituted with 0.2ml sterile DI water 100 ug 449
Bulk quote request
Western blot testing of MyD88 antibody and Lane 1: rat heart; 2: human HeLa; 3: (h) MCF7; 4: (h) HEPG2; 5: (h) Jurkat; 6: (h) Raji lysate. Predicted molecular weight: 33 kDa
Western blot testing of MyD88 antibody and recombinant human protein (0.5ng)
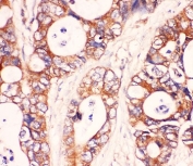
IHC-P: MyD88 antibody testing of human intestine cancer tissue with MyD88 antibody. HIER: boil tissue sections in pH6, 10mM citrate buffer, for 20 min and allow to cool before testing.
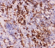
IHC-P staining of mouse spleen tissue with MyD88 antibody. HIER: boil tissue sections in pH6, 10mM citrate buffer, for 20 min and allow to cool before testing.
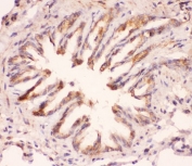
IHC-P staining of rat lung tissue with MyD88 antibody. HIER: boil tissue sections in pH6, 10mM citrate buffer, for 20 min and allow to cool before testing.
Immunofluorescent staining of human breast cancer with MyD88 antibody (red) and DAPI nuclear stain (blue).
Immunofluorescent staining of human placenta with MyD88 antibody (red) and DAPI nuclear stain (blue).
Immunofluorescent staining of human colon cancer with MyD88 antibody (red) and DAPI nuclear stain (blue).
Immunofluorescent staining of human tonsil with MyD88 antibody (red) and DAPI nuclear stain (blue).
Flow cytometry testing of human A549 cells with MyD88 antibody at 1ug/million cells (blocked with goat sera); Red=cells alone, Green=isotype control, Blue= MyD88 antibody.
Availability 1-3 business days
Species Reactivity Human, Mouse, Rat
Format Antigen affinity purified
Host Rabbit
Clonality Polyclonal (rabbit origin)
Isotype Rabbit IgG
Purity Antigen affinity
Buffer Lyophilized from 1X PBS with 2.5% BSA and 0.025% sodium azide
Gene ID 4615
Localization Cytoplasmic
Applications Western Blot : 0.5-1ug/ml
IHC (FFPE) : 0.5-1ug/ml
Immunofluorescence : 1-3ug/ml
Flow Cytometry : 1-3ug/million cells
Limitations This MyD88 antibody is available for research use only.
Review this product on BioCompare and get a $20 Amazon gift card

Related Products

  • Applications : WB, IHC
    Reactivity : Human
    Recrabbitmono
  • Applications : WB
    Reactivity : Human, Mouse
  • Applications : WB, IHC-P, IP
    Reactivity : Human, Mouse, Rat
  • Applications : WB, IHC, ELISA (peptide), EIA
    Reactivity : Human
    Pred. Reactivity : Dog, Mouse, Rat
  • Applications : WB, IHC, ELISA (peptide)
    Reactivity : Human
    Pred. Reactivity : Dog, Mouse, Rat
  • Applications : WB
    Reactivity : Mouse, Rat
  • Applications : WB
    Reactivity : Rat
  • Applications : WB, IHC, FACS, ELISA
    Reactivity : Human, Mouse
    Pred. Reactivity : Primate
  • Applications : WB, IHC-P, FACS, Direct ELISA
    Reactivity : Human
  • Applications : WB, IHC-P, FACS
    Reactivity : Human
  • Applications : WB, IHC-P
    Reactivity : Zebrafish

Description

MyD88 is a cytosolic adapter protein that plays a central role in theinnateand adaptive immune response. This protein functions as an essential signal transducer in the interleukin-1 andToll-like receptorsignaling pathways. Inhibiting the IL1R/MyD88 pathway in vivo could block the damage from acute inflammation that occurs in response to sterile cell death, and do so in a way that might not compromise tissue repair or host defense against pathogens.

Application Notes

Titration of the MyD88 antibody may be required due to differences in protocols and secondary/substrate sensitivity.

Immunogen

Human partial recombinant protein (AA 44-264) was used as the immunogen for this MyD88 antibody.

Storage

The MyD88 antibody can be stored at 4oC to -20oC. After reconstitution, aliquot and store at -20oC. Avoid repeated freeze/thaws.

Cross
Bulk Quote Request Form
Name*:
Organization*:
Email*:
Phone Number*:
Catalog No.*:
Comments and Specifics(amount, formulation, etc.)*:
Validation code: Captchapackage Image


Can't read the image? click here to refresh.
    *required field

Your bulk quote request has been submitted successfully!

Please contact us if you have any questions.