• Tel: 858.663.9055
  • SeparatorEmail: info@nsjbio.com
  • Tel: 858.663.9055
  • Email: info@nsjbio.com
Home >> Antibodies >> MyD88 Antibody

MyD88 Antibody (F55059)

  Catalog No Formulation Size Price (USD)  
Image F55059-0.2ML In 1X PBS, pH 7.4, with 0.09% sodium azide 0.2 ml 439
Image
F55059-0.05ML In 1X PBS, pH 7.4, with 0.09% sodium azide 0.05 ml 205
Bulk quote request
MyD88 antibody flow cytometric analysis of fixed and permeabilized human K562 cells (green) compared to a negative control (blue). FITC-conjugated goat-anti-rabbit secondary Ab was used for the analysis.
Western blot testing of human HT-29 cell lysate with MyD88 antibody. Predicted molecular weight ~33 kDa.
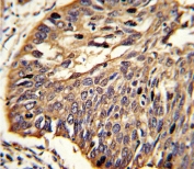
IHC analysis of FFPE human lung carcinoma stained with MyD88 antibody. HIER: steam section in pH6 citrate buffer for 20 min and allow to cool prior to staining.
Availability 1-3 business days
Species Reactivity Human
Format Antigen affinity purified
Host Rabbit
Clonality Polyclonal (rabbit origin)
Isotype Rabbit Ig
Purity Antigen affinity
UniProt Q99836
Applications Western Blot : 1:1000-1:2000
Immunohistochemistry (FFPE) : 1:10-1:50
Flow Cytometry : 1:10-1:50 per million cells in 0.1ml
Limitations This MyD88 antibody is available for research use only.
Review this product on BioCompare and get a $20 Amazon gift card

Related Products

  • Applications : WB, IHC
    Reactivity : Human
    Recrabbitmono
  • Applications : WB
    Reactivity : Human, Mouse
  • Applications : WB, IHC-P, IP
    Reactivity : Human, Mouse, Rat
  • Applications : WB, IHC-P, IF, FACS
    Reactivity : Human, Mouse, Rat
  • Applications : WB, IHC, ELISA (peptide), EIA
    Reactivity : Human
    Pred. Reactivity : Dog, Mouse, Rat
  • Applications : WB, IHC, ELISA (peptide)
    Reactivity : Human
    Pred. Reactivity : Dog, Mouse, Rat
  • Applications : WB
    Reactivity : Mouse, Rat
  • Applications : WB
    Reactivity : Rat
  • Applications : WB, IHC, FACS, ELISA
    Reactivity : Human, Mouse
    Pred. Reactivity : Primate
  • Applications : WB, IHC-P, FACS, Direct ELISA
    Reactivity : Human
  • Applications : WB, IHC-P
    Reactivity : Zebrafish

Description

Myeloid differentiation primary response protein MyD88 is an adapter protein involved in the Toll-like receptor and IL-1 receptor signaling pathway in the innate immune response. It acts via IRAK1, IRAK2 and TRAF6, leading to NF-kappa-B activation, cytokine secretion and the inflammatory response and increases IL-8 transcription. It may be involved in myeloid differentiation.

Application Notes

Titration of the MyD88 antibody may be required due to differences in protocols and secondary/substrate sensitivity.

Immunogen

A portion of amino acids 136-164 from the human protein was used as the immunogen for this MyD88 antibody.

Storage

Aliquot the MyD88 antibody and store frozen at -20oC or colder. Avoid repeated freeze-thaw cycles.

Cross
Bulk Quote Request Form
Name*:
Organization*:
Email*:
Phone Number*:
Catalog No.*:
Comments and Specifics(amount, formulation, etc.)*:
Validation code: Captchapackage Image


Can't read the image? click here to refresh.
    *required field

Your bulk quote request has been submitted successfully!

Please contact us if you have any questions.