• Tel: 858.663.9055
  • SeparatorEmail: info@nsjbio.com
  • Tel: 858.663.9055
  • Email: info@nsjbio.com
Home >> Antibodies >> MYBPC3 Antibody / Myosin-binding protein C

MYBPC3 Antibody / Myosin-binding protein C (RQ4232)

  Catalog No Formulation Size Price (USD)  
Image RQ4232 0.5mg/ml if reconstituted with 0.2ml sterile DI water 100 ug 449
Bulk quote request
Western blot testing of 1) rat heart and 2) mouse heart lysate with MYBPC3 antibody at 0.5ug/ml. Predicted molecular weight ~141 kDa.
IHC testing of FFPE rat heart tissue with MYBPC3 antibody at 1ug/ml. Required HIER: steam section in pH6 citrate buffer for 20 min and allow to cool prior to staining.
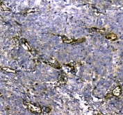
IHC testing of FFPE human lung cancer tissue with MYBPC3 antibody at 1ug/ml. Required HIER: steam section in pH6 citrate buffer for 20 min and allow to cool prior to staining.
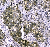
IHC testing of FFPE human breast cancer tissue with MYBPC3 antibody at 1ug/ml. Required HIER: steam section in pH6 citrate buffer for 20 min and allow to cool prior to staining.
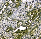
IHC testing of FFPE human rectal cancer tissue with MYBPC3 antibody at 1ug/ml. Required HIER: steam section in pH6 citrate buffer for 20 min and allow to cool prior to staining.
Availability 1-3 business days
Species Reactivity Human, Mouse, Rat
Format Antigen affinity purified
Host Rabbit
Clonality Polyclonal (rabbit origin)
Isotype Rabbit IgG
Purity Antigen affinity
Buffer Lyophilized from 1X PBS with 2% Trehalose
UniProt Q14896
Localization Cytoplasmic
Applications Western Blot : 0.5-1ug/ml
IHC (FFPE) : 1-2ug/ml
Direct ELISA : 0.1-0.5ug/ml
Limitations This MYBPC3 antibody is available for research use only.
Review this product on BioCompare and get a $20 Amazon gift card

Related Products

Description

The myosin-binding protein C, cardiac-type is a protein that in humans is encode by the MYBPC3 gene. MYBPC3 encodes the cardiac isoform of myosin-binding protein C. Myosin-binding protein C is a myosin-associated protein found in the cross-bridge-bearing zone (C region) of A bands in striated muscle. MYBPC3, the cardiac isoform, is expressed exclussively in heart muscle. Regulatory phosphorylation of the cardiac isoform in vivo by cAMP-dependent protein kinase (PKA) upon adrenergic stimulation may be linked to modulation of cardiac contraction. Mutations in MYBPC3 are one cause of familial hypertrophic cardiomyopathy.

Application Notes

Optimal dilution of the MYBPC3 antibody should be determined by the researcher.

Immunogen

A recombinant human protein corresponding to amino acids Q1070-H1123 was used as the immunogen for the MYBPC3 antibody.

Storage

After reconstitution, the MYBPC3 antibody can be stored for up to one month at 4oC. For long-term, aliquot and store at -20oC. Avoid repeated freezing and thawing.

Cross
Bulk Quote Request Form
Name*:
Organization*:
Email*:
Phone Number*:
Catalog No.*:
Comments and Specifics(amount, formulation, etc.)*:
Validation code: Captchapackage Image


Can't read the image? click here to refresh.
    *required field

Your bulk quote request has been submitted successfully!

Please contact us if you have any questions.