• Tel: 858.663.9055
  • SeparatorEmail: info@nsjbio.com
  • Tel: 858.663.9055
  • Email: info@nsjbio.com
Home >> Antibodies >> Myb Antibody

Myb Antibody (F48064)

  Catalog No Formulation Size Price (USD)  
Image F48064-0.4ML In 1X PBS, pH 7.4, with 0.09% sodium azide 0.4 ml 439
Image
F48064-0.08ML In 1X PBS, pH 7.4, with 0.09% sodium azide 0.08 ml 205
Bulk quote request
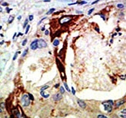
IHC analysis of FFPE human breast carcinoma tissue stained with the Myb antibody
Myb antibody western blot analysis in mouse heart tissue lysate. Predicted molecular weight ~ 72 kDa.
Availability 1-3 business days
Species Reactivity Mouse
Format Antigen affinity purified
Host Rabbit
Clonality Polyclonal (rabbit origin)
Isotype Rabbit Ig
Purity Antigen affinity
UniProt P10242
Applications IHC (Paraffin) : 1:50-1:100
Western Blot : 1:1000
Limitations This Myb antibody is available for research use only.
Review this product on BioCompare and get a $20 Amazon gift card

Related Products

Description

Myb is a transcriptional activator; DNA-binding protein that recognizes the sequence 5'-YAAC[GT]G-3'. It participates in the control of proliferation and differentiation of hematopoietic progenitor cells. Myb is a transcription factor related to Myc, and is expressed predominantly in haematopoietic cells and immature gastroepithelial cells. TRAF7 stimulates the sumoylation of Myb at Lys-523 and Lys-499, which are the same sites as those used for PIASy-induced sumoylation. A correlation has been established between reduction in sumoylation of Myb and increase in transcriptional activation. Negative influence on transactivation properties by the negative regulatory domain region of c-Myb depends on upon sumoylation.

Application Notes

Titration of the Myb antibody may be required due to differences in protocols and secondary/substrate sensitivity.

Immunogen

A portion of amino acids 506-534 from the human protein was used as the immunogen for this Myb antibody.

Storage

Aliquot the Myb antibody and store frozen at -20oC or colder. Avoid repeated freeze-thaw cycles.

Cross
Bulk Quote Request Form
Name*:
Organization*:
Email*:
Phone Number*:
Catalog No.*:
Comments and Specifics(amount, formulation, etc.)*:
Validation code: Captchapackage Image


Can't read the image? click here to refresh.
    *required field

Your bulk quote request has been submitted successfully!

Please contact us if you have any questions.