• Tel: 858.663.9055
  • SeparatorEmail: info@nsjbio.com
  • Tel: 858.663.9055
  • Email: info@nsjbio.com
Home >> Antibodies >> MYB Antibody / c-Myb

MYB Antibody / c-Myb (R31701)

  Catalog No Formulation Size Price (USD)  
Image R31701 0.5mg/ml if reconstituted with 0.2ml sterile DI water 100 ug 449
Bulk quote request
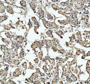
IHC staining of FFPE human pancreas cancer tissue with c-Myb antibody. HIER: boil tissue sections in pH8 EDTA for 20 min and allow to cool before testing.
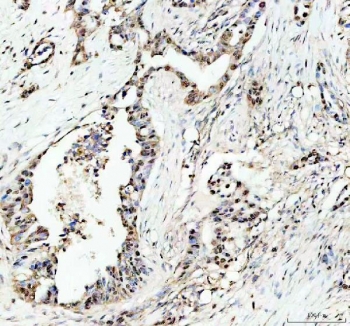
IHC staining of FFPE human breast cancer tissue with c-Myb antibody. HIER: boil tissue sections in pH8 EDTA for 20 min and allow to cool before testing.
Western blot testing of human 1) Jurkat and 2) MOLT-4 cell lysate with c-Myb antibody. Predicted molecular weight ~72 kDa.
Flow cytometry testing of fixed and permeabilized human Jurkat cells with c-Myb antibody at 1ug/million cells (blocked with goat sera); Red=cells alone, Green=isotype control, Blue= c-Myb antibody.
Immunofluorescent staining of FFPE human pancreas cancer tissue with c-Myb antibody (red) and DAPI nuclear stain (blue). HIER: steam section in pH8 EDTA buffer for 20 min.
Availability 1-3 business days
Species Reactivity Human
Format Antigen affinity purified
Host Rabbit
Clonality Polyclonal (rabbit origin)
Isotype Rabbit IgG
Purity Antigen affinity
Buffer Lyophilized from 1X PBS with 2% Trehalose
UniProt P10242
Gene ID 4602
Localization Nuclear
Applications Western Blot : 0.5-1ug/ml
Immunohistochemistry (FFPE) : 2-5ug/ml
Flow Cytometry : 1-3ug/million cells
Immunofluorescence : 5ug/ml
Limitations This c-Myb antibody is available for research use only.
Review this product on BioCompare and get a $20 Amazon gift card

Related Products

Description

Myb proto-oncogene protein, also known as transcriptional activator Myb, is a protein that in humans is encoded by the MYB gene. It is a member of the MYB (myeloblastosis) family of transcription factors. This gene is mapped to 6q23.3. The protein contains three domains, an N-terminal DNA-binding domain, a central transcriptional activation domain and a C-terminal domain involved in transcriptional repression. It plays an essential role in the regulation of hematopoiesis and may play a role in tumorigenesis, including the regulation of miR-155 in B-cells. MYB is also a critical target of MIR150.

Application Notes

The stated application concentrations are suggested starting amounts. Titration of the Myb antibody may be required due to differences in protocols and secondary/substrate sensitivity.

Immunogen

Human partial recombinant protein (AA 1-201) was used as the immunogen for this Myb antibody.

Storage

After reconstitution, the Myb antibody can be stored for up to one month at 4oC. For long-term, aliquot and store at -20oC. Avoid repeated freezing and thawing.

Cross
Bulk Quote Request Form
Name*:
Organization*:
Email*:
Phone Number*:
Catalog No.*:
Comments and Specifics(amount, formulation, etc.)*:
Validation code: Captchapackage Image


Can't read the image? click here to refresh.
    *required field

Your bulk quote request has been submitted successfully!

Please contact us if you have any questions.