• Tel: 858.663.9055
  • SeparatorEmail: info@nsjbio.com
  • Tel: 858.663.9055
  • Email: info@nsjbio.com
Home >> Antibodies >> MX1 Antibody / MxA / Myxovirus resistance protein 1

MX1 Antibody / MxA / Myxovirus resistance protein 1 [clone MX1/7529] (V4844)

  Catalog No Formulation Size Price (USD)  
Image V4844-100UG 0.2 mg/ml in 1X PBS with 0.1 mg/ml BSA (US sourced), 0.05% sodium azide 100 ug 559
Image
V4844-20UG 0.2 mg/ml in 1X PBS with 0.1 mg/ml BSA (US sourced), 0.05% sodium azide 20 ug 259
Image
V4844SAF-100UG 1 mg/ml in 1X PBS; BSA free, sodium azide free 100 ug 559
Bulk quote request
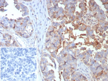
IHC staining of FFPE human ovarian cancer tissue with MX1 antibody (clone MX1/7529). Inset: PBS used in place of primary Ab (secondary Ab negative control). HIER: boil tissue sections in pH 9 10mM Tris with 1mM EDTA for 20 min and allow to cool before testing.
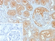
IHC staining of FFPE human kidney tissue with MX1 antibody (clone MX1/7529). Inset: PBS used in place of primary Ab (secondary Ab negative control). HIER: boil tissue sections in pH 9 10mM Tris with 1mM EDTA for 20 min and allow to cool before testing.
SDS-PAGE analysis of purified, BSA-free MX1 antibody (clone MX1/7529) as confirmation of integrity and purity.
Availability 1-3 business days
Species Reactivity Human
Format Purified
Host Mouse
Clonality Monoclonal (mouse origin)
Isotype Mouse IgG2, kappa
Clone Name MX1/7529
Purity Protein A/G affinity
UniProt P20591
Localization Cytoplasm
Applications Immunohistochemistry (FFPE) : 1-2ug/ml for 30 min at RT
Limitations This MX1 antibody is available for research use only.
Review this product on BioCompare and get a $20 Amazon gift card

Related Products

Description

The Dynamin family of microtubule-associated proteins function as GTPases that are involved in microtubule bundling and endocytosis. In mice, Mx2 (myxovirus resistance protein 2) and Mx1 (myxovirus resistance protein 1) are members of the Dynamin family that are involved in the immune response to viral infections. Localized to the cytoplasm, Mx2 contains one GED domain and is expressed in response to viral infection or treatment by IFN-a/IFN-b. Once expression is induced, Mx2 accumulates in the cytoplasm and inhibits the replication of vesicular stomatitis virus (VSV), thereby conferring resistance to VSV infection. Unlike Mx2, Mx1 is localized to the nucleus where, upon induction by IFN-a/IFN-b, it provides selective resistance to infection by the highly lethal H5N1 influenza virus. In humans, MxA and MxB function in a similar manner to Mx1 and Mx2, conferring resistance to specific target viruses. Mx3 is a rat-specific member of the myxovirus resistance protein family.

Application Notes

Optimal dilution of the MX1 antibody should be determined by the researcher.

Immunogen

A recombinant partial protein sequence (within amino acids 400-592) from the human protein was used as the immunogen for the MX1 antibody.

Storage

Aliquot the MX1 antibody and store frozen at -20oC or colder. Avoid repeated freeze-thaw cycles.

Cross
Bulk Quote Request Form
Name*:
Organization*:
Email*:
Phone Number*:
Catalog No.*:
Comments and Specifics(amount, formulation, etc.)*:
Validation code: Captchapackage Image


Can't read the image? click here to refresh.
    *required field

Your bulk quote request has been submitted successfully!

Please contact us if you have any questions.