• Tel: 858.663.9055
  • SeparatorEmail: info@nsjbio.com
  • Tel: 858.663.9055
  • Email: info@nsjbio.com
Home >> Antibodies >> MVK Antibody / Mevalonate kinase

MVK Antibody / Mevalonate kinase (FY12632)

  Catalog No Formulation Size Price (USD)  
Image FY12632 Adding 0.2 ml of distilled water will yield a concentration of 500 ug/ml 100 ug 449
Bulk quote request
Immunofluorescent staining of MVK using anti-MVK antibody (red). MVK was detected in a paraffin-embedded section of human liver cancer tissue. Heat mediated antigen retrieval was performed in EDTA buffer (pH 8.0, epitope retrieval solution). The tissue section was blocked with 10% goat serum. The tissue section was then incubated with 5 ug/ml rabbit anti-MVK antibody overnight at 4oC. Cy3 Conjugated Goat Anti-Rabbit IgG was used as secondary antibody at 1:500 dilution and incubated for 30 minutes at 37oC. The section was counterstained with DAPI nuclear stain (blue). Visualize using a fluorescence microscope and filter sets appropriate for the label used.
Western blot analysis of MVK using anti-MVK antibody. Electrophoresis was performed on a 10% SDS-PAGE gel at 80V (Stacking gel) / 120V (Resolving gel) for 2 hours. Lane 1: human 293T whole cell lysates, Lane 2: human RT4 whole cell lysates, Lane 3: human HepG2 whole cell lysates, Lane 4: human MCF-7 whole cell lysates, Lane 5: rat RH35 whole cell lysates, Lane 6: mouse HEPA1/6 whole cell lysates. After electrophoresis, proteins were transferred to a nitrocellulose membrane at 150 mA for 50-90 minutes. Blocked the membrane with 5% non-fat milk/TBS for 1.5 hour at RT. The membrane was incubated with rabbit anti-MVK antibody at 0.5 ug/ml overnight at 4oC, then washed with TBS-0.1%Tween 3 times with 5 minutes each and probed with a goat anti-rabbit IgG-HRP secondary antibody at a dilution of 1:5000 for 1.5 hour at RT. The signal is developed using an ECL Plus Western Blotting Substrate with Tanon 5200 system. Western blot probed with anti-MVK shows a strong band at the expected ~42 kDa, with minor higher and lower bands commonly reported and may represent partially degraded fragments, alternative translation products, or nonspecific background.
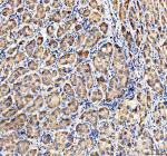
Immunohistochemical staining of MVK using anti-MVK antibody. MVK was detected in a paraffin-embedded section of human liver cancer tissue. Heat mediated antigen retrieval was performed in EDTA buffer (pH 8.0, epitope retrieval solution). The tissue section was blocked with 10% goat serum. The tissue section was then incubated with 2 ug/ml rabbit anti-MVK antibody overnight at 4oC. Peroxidase Conjugated Goat Anti-rabbit IgG was used as secondary antibody and incubated for 30 minutes at 37oC. The tissue section was developed using an HRP secondary and DAB substrate.
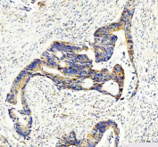
Immunohistochemical staining of MVK using anti-MVK antibody. MVK was detected in a paraffin-embedded section of human colon cancer tissue. Heat mediated antigen retrieval was performed in EDTA buffer (pH 8.0, epitope retrieval solution). The tissue section was blocked with 10% goat serum. The tissue section was then incubated with 2 ug/ml rabbit anti-MVK antibody overnight at 4oC. Peroxidase Conjugated Goat Anti-rabbit IgG was used as secondary antibody and incubated for 30 minutes at 37oC. The tissue section was developed using an HRP secondary and DAB substrate.
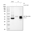
Immunoprecipitating (IP) MVK in HepG2 whole cell lysate. Western blot analysis of MVK using anti-MVK antibody; Lane 1: HepG2 whole cell lysates (30ug); Lane 2: Rabbit control IgG instead of anti-MVK antibody in HepG2 whole cell lysate; Lane 3: anti-MVK antibody (2ug) + HepG2 whole cell lysate (500ug). After electrophoresis, proteins were transferred to a membrane. Then the membrane was incubated with rabbit anti-MVK antibody at a dilution of 0.5 ug/ml and probed with a goat anti-rabbit IgG-HRP secondary antibody. The signal is developed using ECL Plus Western Blotting Substrate. Western blot probed with anti-MVK shows a strong band at the expected ~42 kDa, with minor higher and lower bands commonly reported and may represent partially degraded fragments, alternative translation products, or nonspecific background.
Flow Cytometry analysis of HepG2 cells using anti-MVK antibody. Overlay histogram showing HepG2 cells stained with (Blue line). To facilitate intracellular staining, cells were fixed with 4% paraformaldehyde and permeabilized with permeabilization buffer. The cells were blocked with 10% normal goat serum. And then incubated with rabbit anti-MVK antibody (1 ug/million cells) for 30 min at 20oC. DyLight 488 conjugated goat anti-rabbit IgG (5-10 ug/million cells) was used as secondary antibody for 30 minutes at 20oC. Isotype control antibody (Green line) was rabbit IgG (1 ug/million cells) used under the same conditions. Unlabelled sample without incubation with primary antibody and secondary antibody (Red line) was used as a blank control.
Availability 1-2 days
Species Reactivity Human
Format Lyophilized
Host Rabbit
Clonality Polyclonal (rabbit origin)
Isotype Rabbit IgG
Purity Immunogen affinity purified
Buffer Each vial contains 4 mg Trehalose, 0.9 mg NaCl, 0.2 mg Na2HPO4.
UniProt Q03426
Localization Cytoplasm
Applications Western Blot : 0.25-0.5ug/ml
Immunohistochemistry : 2-5ug/ml
Immunofluorescence : 5ug/ml
Immunoprecipitation : 2-4ug/500ug of lysate
Flow Cytometry : 1-3ug/million cells
ELISA : 0.1-0.5ug/ml
Limitations This MVK antibody is available for research use only.
Review this product on BioCompare and get a $20 Amazon gift card

Related Products

Description

MVK antibody detects Mevalonate kinase, a key enzyme in the mevalonate pathway responsible for cholesterol and isoprenoid biosynthesis. MVK catalyzes the phosphorylation of mevalonic acid to 5-phosphomevalonate, a crucial step in the production of sterols and nonsterol isoprenoids. The MVK antibody is widely used in metabolic, genetic, and biochemical research to study cholesterol regulation, inflammation, and metabolic disorders.

MVK is encoded by the MVK gene located on human chromosome 12q24.11. The protein is approximately 396 amino acids long and localizes to the peroxisome and cytoplasm. MVK activity is regulated by feedback inhibition through cholesterol and isoprenoid intermediates, ensuring metabolic balance in lipid biosynthesis. The enzyme participates in the early steps of the mevalonate pathway, linking carbohydrate metabolism to lipid production.

The MVK antibody detects a 43 kilodalton protein by western blot and reveals diffuse cytoplasmic and peroxisomal staining under immunofluorescence microscopy. MVK provides precursors for essential biomolecules such as coenzyme Q, dolichol, and prenylated proteins, which are required for membrane integrity, protein glycosylation, and signal transduction.

Mutations in MVK cause mevalonic aciduria and hyperimmunoglobulinemia D syndrome, characterized by recurrent fever and inflammation due to impaired isoprenoid synthesis and excessive accumulation of mevalonic acid. MVK deficiency disrupts protein prenylation, mitochondrial function, and immune regulation, leading to autoinflammatory symptoms. The enzyme's activity is thus essential for cellular metabolism, immune homeostasis, and energy balance.

Because of its central role in cholesterol metabolism and inflammation, MVK is a crucial target for understanding metabolic regulation and disease pathogenesis. NSJ Bioreagents provides a validated MVK antibody optimized for its applications, supporting research into lipid metabolism, genetic disorders, and therapeutic development.

Application Notes

Optimal dilution of the MVK antibody should be determined by the researcher.

Immunogen

E.coli-derived human MVK recombinant protein (Position: K13-D394) was used as the immunogen for the MVK antibody.

Storage

After reconstitution, the MVK antibody can be stored for up to one month at 4oC. For long-term, aliquot and store at -20oC. Avoid repeated freezing and thawing.

Cross
Bulk Quote Request Form
Name*:
Organization*:
Email*:
Phone Number*:
Catalog No.*:
Comments and Specifics(amount, formulation, etc.)*:
Validation code: Captchapackage Image


Can't read the image? click here to refresh.
    *required field

Your bulk quote request has been submitted successfully!

Please contact us if you have any questions.