• Tel: 858.663.9055
  • SeparatorEmail: info@nsjbio.com
  • Tel: 858.663.9055
  • Email: info@nsjbio.com
Home >> Antibodies >> MUT Antibody / Methylmalonyl-CoA mutase

MUT Antibody / Methylmalonyl-CoA mutase (R32601)

  Catalog No Formulation Size Price (USD)  
Image R32601 0.5mg/ml if reconstituted with 0.2ml sterile DI water 100 ug 449
Bulk quote request
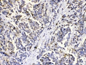
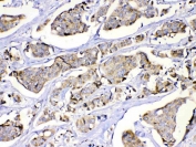
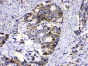
Immunohistochemical staining of FFPE human bladder urothelial carcinoma tissue with MUT antibody, HRP-secondary and DAB substrate. HIER: boil tissue sections in pH8 EDTA for 20 min and allow to cool before testing.
Immunohistochemical staining of FFPE human colorectal adenocarcinoma tissue with MUT antibody, HRP-secondary and DAB substrate. HIER: boil tissue sections in pH8 EDTA for 20 min and allow to cool before testing.
Immunohistochemical staining of FFPE human esophageal squamous carcinoma tissue with MUT antibody, HRP-secondary and DAB substrate. HIER: boil tissue sections in pH8 EDTA for 20 min and allow to cool before testing.
Immunohistochemical staining of FFPE human liver cancer tissue with MUT antibody, HRP-secondary and DAB substrate. HIER: boil tissue sections in pH8 EDTA for 20 min and allow to cool before testing.
Immunohistochemical staining of FFPE human lung cancer tissue with MUT antibody, HRP-secondary and DAB substrate. HIER: boil tissue sections in pH8 EDTA for 20 min and allow to cool before testing.
Western blot testing of 1) human HeLa, 2) human PC-3, 3) human A431, 4) human K562, 5) rat liver, 6) rat PC-12, 7) mouse liver and 8) mouse SP2/0 cell lysate with MUT antibody. Predicted molecular weight ~83 kDa.
Flow cytometry analysis of fixed and permeabilized human SiHa cells with MUT antibody at 1ug/million cells (blocked with goat sera); Red=cells alone, Green=isotype control, Blue= MUT antibody.
Flow cytometry analysis of fixed and permeabilized human HepG2 cells with MUT antibody at 1ug/million cells (blocked with goat sera); Red=cells alone, Green=isotype control, Blue= MUT antibody.
Availability 1-3 business days
Species Reactivity Human, Mouse, Rat
Format Antigen affinity purified
Host Rabbit
Clonality Polyclonal (rabbit origin)
Isotype Rabbit IgG
Purity Antigen affinity
Buffer Lyophilized from 1X PBS with 2% Trehalose and 0.025% sodium azide
UniProt P22033
Localization Cytoplasm, Mitochondria
Applications Western Blot : 0.5-1ug/ml
Immunohistochemistry (FFPE) : 2-5ug/ml
Flow Cytometry : 1-3ug/million cells
Limitations This MUT antibody is available for research use only.
Review this product on BioCompare and get a $20 Amazon gift card

Related Products

Description

MUT antibody detects Methylmalonyl-CoA mutase, a mitochondrial enzyme essential for propionate metabolism and the breakdown of odd-chain fatty acids, branched-chain amino acids, cholesterol side chains, and certain organic acids. The UniProt recommended name is Methylmalonyl-CoA mutase (MUT). This enzyme carries out the reversible isomerization of L-methylmalonyl-CoA to succinyl-CoA, a key anaplerotic intermediate that feeds into the tricarboxylic acid cycle. By supporting this metabolic integration, MUT plays a central role in maintaining energy homeostasis, amino acid turnover, and mitochondrial metabolic flexibility.

MUT is a mitochondrial matrix protein encoded by the nuclear genome and transported into mitochondria through a canonical targeting sequence. The mature human enzyme is a homodimer of approximately 750 amino acids per subunit. MUT requires the essential cofactor adenosylcobalamin (AdoCbl), a biologically active form of vitamin B12, which acts as a radical-generating coenzyme enabling substrate rearrangement. This dependency links MUT activity directly to vitamin B12 availability, intracellular transport, and cofactor synthesis pathways. In healthy metabolism, MUT operates at a critical intersection of amino acid catabolism and mitochondrial energy generation, allowing tissues to utilize diverse substrates for ATP production.

The MUT gene is located on chromosome 6p12.3 and is expressed in most metabolically active tissues, including liver, kidney, heart, intestine, and skeletal muscle. Expression patterns reflect the enzyme's roles in processing propionyl-CoA and integrating carbon skeletons into central metabolism. In rapidly growing or energy-demanding tissues, proper function of MUT ensures adequate replenishment of succinyl-CoA and prevents toxic accumulation of upstream metabolites. Because MUT activity is closely tied to mitochondrial function, researchers frequently use it as a molecular indicator of metabolic integrity, mitochondrial competency, and vitamin B12 dependent biochemical pathways.

During development, MUT contributes to neonatal metabolic adaptation as dietary substrates shift following birth. Its role in handling amino acid and lipid derived intermediates supports growth, energy production, and maintenance of systemic metabolic balance. MUT is also involved in detoxification of propionate derived intermediates originating from gut microbiota metabolism, linking this enzyme to host-microbe metabolic interactions.

Pathologically, dysfunctional MUT activity leads to methylmalonic acidemia, an inherited metabolic disorder characterized by accumulation of methylmalonic acid and related metabolites. This can arise from mutations affecting MUT structure, stability, mitochondrial import, or cofactor binding. Clinical manifestations may include metabolic acidosis, neurological impairment, growth delay, and organ dysfunction. Severity depends on residual enzyme activity and cofactor responsiveness. In vitamin B12 deficiency, MUT activity becomes secondarily compromised, contributing to metabolic disturbances observed in nutritional deficiency or malabsorption disorders. Researchers studying MUT often investigate relationships among cofactor availability, mitochondrial health, and amino acid catabolism.

In cellular physiology, MUT influences mitochondrial redox balance, TCA cycle flux, and the integration of metabolic pathways under varying nutritional states. Impairments in MUT activity can cause accumulation of toxic intermediates that interfere with mitochondrial respiration and promote oxidative stress. These metabolic imbalances have made MUT an important research target in studies of mitochondrial pathology, inborn errors of metabolism, nutritional deficiencies, and metabolic remodeling during stress or disease.

Because of its central metabolic role, MUT is also examined in broader research contexts such as metabolic adaptation in stem cells, nutrient sensing pathways, and cellular responses to vitamin B12 transport defects. In cancer biology, altered propionate metabolism and shifts in succinyl-CoA availability have prompted investigation into MUT's role in metabolic reprogramming, particularly in tumors with disrupted mitochondrial pathways. Studies of MUT expression and function provide insight into how tumor cells adjust to hypoxic conditions, nutrient limitations, or aberrant mitochondrial cofactor synthesis.

MUT antibody supports investigation of mitochondrial metabolism, vitamin B12 dependent enzymatic pathways, and propionate processing in cultured cells and tissues. It is validated for use in relevant research applications aimed at detecting Methylmalonyl-CoA mutase expression. NSJ Bioreagents provides MUT antibody reagents suitable for studies in metabolic biology, mitochondrial research, developmental metabolism, and investigations into the mechanisms of methylmalonic acidemia and related metabolic disorders.

Application Notes

Optimal dilution of the MUT antibody should be determined by the researcher.

Immunogen

Amino acids 33-65 (LHQQQPLHPEWAALAKKQLKGKNPEDLIWHTPE-human) were used as the immunogen for the MUT antibody.

Storage

After reconstitution, the MUT antibody can be stored for up to one month at 4oC. For long-term, aliquot and store at -20oC. Avoid repeated freezing and thawing.

Cross
Bulk Quote Request Form
Name*:
Organization*:
Email*:
Phone Number*:
Catalog No.*:
Comments and Specifics(amount, formulation, etc.)*:
Validation code: Captchapackage Image


Can't read the image? click here to refresh.
    *required field

Your bulk quote request has been submitted successfully!

Please contact us if you have any questions.