• Tel: 858.663.9055
  • SeparatorEmail: info@nsjbio.com
  • Tel: 858.663.9055
  • Email: info@nsjbio.com
Home >> Antibodies >> Musashi 1 Antibody / MSI1

Musashi 1 Antibody / MSI1 [clone BFG-13] (RQ4735)

  Catalog No Formulation Size Price (USD)  
Image RQ4735 Antibody in PBS with 0.02% sodium azide, 50% glycerol and 0.4-0.5mg/ml BSA 100 ul 449
Microvalidated Rab Mono Image
Bulk quote request
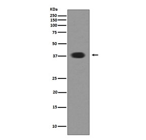
Western blot testing of human SH-SY5Y cell lysate with Musashi 1 antibody. Predicted molecular weight ~39 kDa.
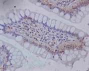
Immunohistochemical staining of FFPE human colon tissue using Musashi 1 antibody shows positive staining in epithelial cells within colonic crypts, consistent with reported Musashi 1 expression in intestinal progenitor populations.
Immunohistochemical analysis of MSI1 using anti-MSI1 antibody. MSI1 is detected in a paraffin-embedded section of mouse brain tissue. Heat-mediated antigen retrieval was performed in EDTA buffer (pH 8.0). Positive nuclear and cytoplasmic staining is observed in a subset of brain cells, consistent with reported MSI1 expression patterns.
Immunohistochemical analysis of MSI1 using anti-MSI1 antibody. MSI1 is detected in a paraffin-embedded section of mouse brain tissue. Heat-mediated antigen retrieval was performed in EDTA buffer (pH 8.0). Positive nuclear and cytoplasmic staining is observed in a subset of brain cells, consistent with reported MSI1 expression patterns.
Availability 1-2 weeks
Species Reactivity Human, Mouse
Format Purified
Host Rabbit
Clonality Rabbit Monoclonal
Isotype Rabbit IgG
Clone Name BFG-13
Purity Affinity purified
UniProt O43347
Applications Western Blot : 1:1000-1:2000
Immunohistochemistry (FFPE) : 1:50-1:200
Limitations This Musashi 1 antibody is available for research use only.
Review this product on BioCompare and get a $20 Amazon gift card

Related Products

Description

Musashi 1 antibody targets Musashi 1 (MSI1), an RNA-binding protein that functions as a critical regulator of post-transcriptional gene expression in stem and progenitor cell populations. MSI1 is primarily localized to the cytoplasm, with additional nuclear localization depending on cell type and biological context. As a member of the Musashi family of RNA-binding proteins, Musashi 1 contains conserved RNA recognition motifs that enable selective binding to target mRNAs. Through this mechanism, MSI1 influences mRNA translation and stability, shaping cellular decisions related to proliferation and differentiation.

Functionally, Musashi 1 plays a central role in maintaining stem cell identity and regulating cell fate determination. By repressing or modulating the translation of mRNAs involved in differentiation and cell cycle control, MSI1 supports the balance between self-renewal and differentiation. In the gastrointestinal tract, Musashi 1 is highly enriched in intestinal crypt cells, where it marks stem and early progenitor populations responsible for epithelial renewal. A Musashi 1 antibody supports studies focused on stem cell maintenance, translational regulation, and tissue homeostasis.

MSI1 expression displays strong tissue and compartment specificity. In adult tissues, it is most prominently detected in regions with active cell turnover, including intestinal crypts and neural progenitor niches. During embryonic development, MSI1 expression is more widespread, reflecting its role in progenitor cell expansion and developmental patterning. Analysis of Musashi 1 localization and expression provides insight into how post-transcriptional regulatory mechanisms contribute to tissue regeneration and cellular plasticity.

From a biological and disease-relevance perspective, Musashi 1 has been extensively studied in cancer biology and regenerative medicine. Elevated MSI1 expression has been reported in a variety of tumors, where it is associated with enhanced proliferative capacity and stem-like characteristics. Because MSI1 regulates pathways linked to self-renewal and differentiation, it is frequently investigated as a marker of cancer stem cells and as a contributor to tumor progression. Beyond oncology, MSI1 is also relevant in studies of tissue repair, development, and neural biology.

At the molecular level, Musashi 1 is encoded by the MSI1 gene and produces a protein of approximately 39 kDa. Its RNA-binding domains enable sequence-specific interaction with target transcripts, allowing context-dependent regulation of translation. MSI1 function is further shaped by interactions with additional regulatory proteins and cellular signaling pathways. A Musashi 1 antibody supports research applications focused on RNA biology, stem cell regulation, and disease-associated alterations in cell differentiation, with NSJ Bioreagents providing reagents intended for research use.

Application Notes

Optimal dilution of the Musashi 1 antibody should be determined by the researcher.

Immunogen

A synthetic peptide specific to human Musashi 1 / MSI1 was used as the immunogen for the Musashi 1 antibody.

Storage

Store the Musashi 1 antibody at -20oC.

Cross
Bulk Quote Request Form
Name*:
Organization*:
Email*:
Phone Number*:
Catalog No.*:
Comments and Specifics(amount, formulation, etc.)*:
Validation code: Captchapackage Image


Can't read the image? click here to refresh.
    *required field

Your bulk quote request has been submitted successfully!

Please contact us if you have any questions.