• Tel: 858.663.9055
  • SeparatorEmail: info@nsjbio.com
  • Tel: 858.663.9055
  • Email: info@nsjbio.com
Home >> Antibodies >> MURF3 Antibody

MURF3 Antibody (R34128)

  Catalog No Formulation Size Price (USD)  
Image R34128-100UG 0.5 mg/ml in 1X TBS, pH7.3, with 0.5% BSA (US sourced) and 0.02% sodium azide 100 ug 475
Bulk quote request
Western blot testing of human muscle lysate with MURF3 antibody at 1ug/ml. Predicted molecular weight: ~43/38 kDa (isoforms 1/2).
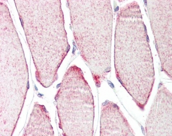
IHC testing of FFPE human skeletal muscle tissue with MURF3 antibody at 3.75ug/ml. Required HIER: steamed antigen retrieval with pH6 citrate buffer; AP-staining.
Availability 1-3 business days
Species Reactivity Human
Predicted Reactivity Dog
Format Antigen affinity purified
Host Goat
Clonality Polyclonal (goat origin)
Isotype Goat Ig
Purity Antigen affinity
Gene ID 57159
Localization Cytoplasmic
Applications Western Blot : 1-3ug/ml
IHC (FFPE) : 3.75ug/ml
ELISA (peptide) LOD : 1:8000
Limitations This MURF3 antibody is available for research use only.
Review this product on BioCompare and get a $20 Amazon gift card

Description

Additional name(s) for this target protein: Muscle-specific RING-finger protein 3; TRIM54

Application Notes

Optimal dilution of the MURF3 antibody should be determined by the researcher.

Immunogen

Amino acids GSAGPEEERPDGP were used as the immunogen for this MURF3 antibody.

Storage

Aliquot and store the MURF3 antibody at -20oC.

Cross
Bulk Quote Request Form
Name*:
Organization*:
Email*:
Phone Number*:
Catalog No.*:
Comments and Specifics(amount, formulation, etc.)*:
Validation code: Captchapackage Image


Can't read the image? click here to refresh.
    *required field

Your bulk quote request has been submitted successfully!

Please contact us if you have any questions.