• Tel: 858.663.9055
  • SeparatorEmail: info@nsjbio.com
  • Tel: 858.663.9055
  • Email: info@nsjbio.com
Home >> Antibodies >> MUNC18-1 Antibody / STXBP1

MUNC18-1 Antibody / STXBP1 (R32158)

  Catalog No Formulation Size Price (USD)  
Image R32158 0.5mg/ml if reconstituted with 0.2ml sterile DI water 100 ug 449
Bulk quote request
Immunofluorescent staining of FFPE human HeLa cells with MUNC18-1 antibody (red) and DAPI nuclear stain (blue). HIER: steam section in pH6 citrate buffer for 20 min.
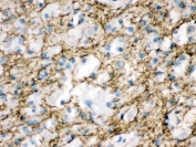
IHC testing of FFPE human glioma tissue with MUNC18-1 antibody. HIER: Boil the paraffin sections in pH 6, 10mM citrate buffer for 20 minutes and allow to cool prior to staining.
IHC testing of FFPE mouse brain with MUNC18-1 antibody. HIER: Boil the paraffin sections in pH 6, 10mM citrate buffer for 20 minutes and allow to cool prior to staining.
IHC testing of FFPE rat brain with MUNC18-1 antibody. HIER: Boil the paraffin sections in pH 6, 10mM citrate buffer for 20 minutes and allow to cool prior to staining.
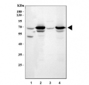
Western blot testing of 1) human HeLa, 2) rat brain, 3) rat C6 and 4) mouse brain lysate with MUNC18-1 antibody. Expected molecular weight ~69 kDa.
Flow cytometry testing of human A549 cells with MUNC18-1 antibody at 1ug/million cells (blocked with goat sera); Red=cells alone, Green=isotype control, Blue= MUNC18-1 antibody.
Availability 1-3 business days
Species Reactivity Human, Mouse, Rat
Format Antigen affinity purified
Host Rabbit
Clonality Polyclonal (rabbit origin)
Isotype Rabbit IgG
Purity Antigen affinity
Buffer Lyophilized from 1X PBS with 2.5% BSA and 0.025% sodium azide
UniProt P61764
Localization Cytoplasmic, membranous
Applications Western Blot : 0.1-0.5ug/ml
IHC (FFPE) : 0.5-1ug/ml
Immunofluorescence : 5ug/ml
Flow Cytometry : 1-3ug/million cells
Limitations This MUNC18-1 antibody is available for research use only.
Review this product on BioCompare and get a $20 Amazon gift card

Related Products

Description

Syntaxin-binding protein 1, also known as Munc18-1, is a protein that in humans is encoded by the STXBP1 gene. By fluorescence in situ hybridization, the STXBP1 gene is mapped to chromosome 9q34.1. This gene encodes a syntaxin-binding protein. The encoded protein appears to play a role in release of neurotransmitters via regulation of syntaxin, a transmembrane attachment protein receptor. Mutations in this gene have been associated with infantile epileptic encephalopathy-4. Alternatively spliced transcript variants have been described.

Application Notes

Optimal dilution of the MUNC18-1 antibody should be determined by the researcher.

Immunogen

Amino acids KEYPAVRYRGEYKDNALLAQLIQDKLDAYKADD of human MUNC18-1 were used as the immunogen for the MUNC18-1 antibody.

Storage

After reconstitution, the MUNC18-1 antibody can be stored for up to one month at 4oC. For long-term, aliquot and store at -20oC. Avoid repeated freezing and thawing.

Cross
Bulk Quote Request Form
Name*:
Organization*:
Email*:
Phone Number*:
Catalog No.*:
Comments and Specifics(amount, formulation, etc.)*:
Validation code: Captchapackage Image


Can't read the image? click here to refresh.
    *required field

Your bulk quote request has been submitted successfully!

Please contact us if you have any questions.