• Tel: 858.663.9055
  • SeparatorEmail: info@nsjbio.com
  • Tel: 858.663.9055
  • Email: info@nsjbio.com
Home >> Antibodies >> Mucin-5AC Antibody / MUC5AC

Mucin-5AC Antibody / MUC5AC (R31427)

  Catalog No Formulation Size Price (USD)  
Image R31427 0.5mg/ml if reconstituted with 0.2ml sterile DI water 100 ug 449
Bulk quote request
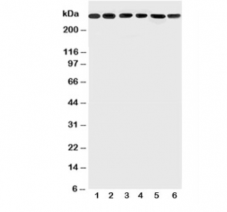
Western blot testing of Mucin-5AC antibody and Lane 1: SGC; 2: HeLa; 3: COLO320; 4: SW620; 5: MCF-7; 6: PANC lysate; Predicted size: ~500KD, Observed size: 300KD+
Availability 1-3 business days
Species Reactivity Human
Format Antigen affinity purified
Host Rabbit
Clonality Polyclonal (rabbit origin)
Isotype Rabbit Ig
Purity Antigen affinity
Buffer Lyophilized from 1X PBS with 2.5% BSA and 0.025% sodium azide/thimerosal
UniProt P98088
Applications Western Blot : 0.5-1ug/ml
IHC (FFPE) : 0.5-1ug/ml
Limitations This Mucin-5AC antibody is available for research use only.
Review this product on BioCompare and get a $20 Amazon gift card

Related Products

Description

Mucin-5AC is a protein that in humans is encoded by the MUC5AC gene. This gene has been linked to mucus hypersecretion in the pulmonary tracts and associated to chronic obstructive pulmonary disease (COPD).

Application Notes

Titration of the Mucin-5AC antibody may be required due to differences in protocols and secondary/substrate sensitivity.

Immunogen

An amino acid sequence from the N-terminus of human Mucin-5AC (TMQLFMQLAPKLRGQT) was used as the immunogen for this Mucin-5AC antibody.

Storage

The lyophilized Mucin-5AC antibody can be stored at 4oC to -20oC. After reconstitution, aliquot and store at -20oC. Avoid repeated freezing and thawing.

Cross
Bulk Quote Request Form
Name*:
Organization*:
Email*:
Phone Number*:
Catalog No.*:
Comments and Specifics(amount, formulation, etc.)*:
Validation code: Captchapackage Image


Can't read the image? click here to refresh.
    *required field

Your bulk quote request has been submitted successfully!

Please contact us if you have any questions.