• Tel: 858.663.9055
  • SeparatorEmail: info@nsjbio.com
  • Tel: 858.663.9055
  • Email: info@nsjbio.com
Home >> Antibodies >> Mucin 1 Antibody / MUC1

Mucin 1 Antibody / MUC1 (RQ6091)

  Catalog No Formulation Size Price (USD)  
Image RQ6091 0.5mg/ml if reconstituted with 0.2ml sterile DI water 100 ug 449
Bulk quote request
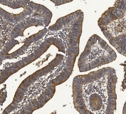
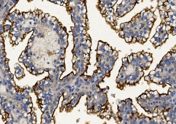
Immunohistochemical staining of FFPE human invasive adenocarcinoma of the lung tissue with Mucin 1 antibody, HRP-secondary and DAB substrate. HIER: boil tissue sections in pH8 EDTA for 20 min and allow to cool before testing.
Immunohistochemical staining of FFPE human endometrioid adenocarcinoma tissue with Mucin 1 antibody, HRP-secondary and DAB substrate. HIER: boil tissue sections in pH8 EDTA for 20 min and allow to cool before testing.
Western blot testing of human 1) T-47D and 2) HeLa cell lysate with Mucin 1 antibody. Instead of the theoretical 122 kDa precursor size, the antibody detects a prominent band at approximately 20 to 25 kDa in both cell lines, consistent with the C terminal transmembrane fragment of MUC1 that remains after autocatalytic cleavage of the full length, heavily glycosylated mucin precursor.
Immunofluorescent staining of FFPE human lung adenocarcinoma tissue with Mucin 1 antibody (red) and DAPI nuclear stain (blue). HIER: steam section in pH8 EDTA buffer for 20 min.
Availability 1-3 business days
Species Reactivity Human
Format Antigen affinity purified
Host Rabbit
Clonality Polyclonal (rabbit origin)
Isotype Rabbit IgG
Purity Affinity purified
Buffer Lyophilized from 1X PBS with 2% Trehalose
UniProt P15941
Localization Cytoplasmic, cell surface
Applications Western Blot : 1-2ug/ml
Immunohistochemistry (FFPE) : 2-5ug/ml
Immunofluorescence : 5ug/ml
Direct ELISA : 0.1-0.5ug/ml
Limitations This Mucin 1 antibody is available for research use only.
Review this product on BioCompare and get a $20 Amazon gift card

Related Products

Description

Mucin 1 antibody detects Mucin 1, a heavily glycosylated type I transmembrane protein expressed on the apical surface of epithelial cells throughout the respiratory, gastrointestinal, reproductive, and urinary tracts. The UniProt recommended name is Mucin-1. As a protective barrier molecule, MUC1 contributes to epithelial lubrication, pathogen defense, and maintenance of mucosal integrity. Its large extracellular domain contains tandem repeat regions rich in serine and threonine residues that support extensive O linked glycosylation. These glycans form a hydrated, anti adhesive surface that helps shield epithelial tissues from mechanical stress and microbial invasion.

MUC1 is encoded by the MUC1 gene located on chromosome 1q22. Expression is prominent in polarized epithelial cells, including mammary ducts, lung airway epithelium, gastric mucosa, pancreatic ducts, kidney tubules, and reproductive tract epithelia. In its normal configuration, MUC1 is restricted to the apical membrane due to its cytoplasmic tail signals and interactions with polarity complexes. This compartmentalized expression helps maintain barrier function by presenting its glycosylated extracellular domain outward toward the lumen.

MUC1 also participates in intracellular signaling. The cytoplasmic tail of MUC1 interacts with proteins involved in MAPK, PI3K, beta catenin, Src family kinase, and NF kappa B pathways. Through these interactions, MUC1 can influence transcriptional programs linked to cell survival, stress responses, and differentiation. Its ability to modulate intracellular signaling becomes particularly significant in disease settings where polarity is disrupted and MUC1 distribution changes.

A major research focus on MUC1 involves its role in cancer biology. In many epithelial cancers, including breast, pancreatic, ovarian, lung, and gastric tumors, MUC1 becomes overexpressed, mislocalized across the entire cell surface, and aberrantly glycosylated. These changes can reduce cell adhesion, promote invasion, and alter immune recognition. Tumor associated MUC1 often presents shortened glycans that expose underlying peptide epitopes not typically visible in healthy tissue. This altered form of MUC1 has been widely explored as a biomarker for prognosis, therapeutic targeting, and immunologic detection in oncology research.

Beyond cancer, MUC1 contributes to inflammatory processes, wound repair, and immune regulation. In airway and gastrointestinal mucosa, MUC1 can dampen inflammatory responses by modulating Toll like receptor signaling and limiting excessive cytokine production. Its role in maintaining epithelial homeostasis makes it relevant to studies of chronic respiratory disease, gut inflammation, and mucosal immunity.

MUC1 antibody supports research into epithelial biology, tumor progression, mucin regulation, and glycoprotein mediated cell signaling. Because MUC1 expression and glycosylation vary across tissues and disease states, antibodies targeting MUC1 are commonly used to examine differences in localization, abundance, and structural state. This antibody is validated for use in relevant research applications to detect Mucin 1 expression in cells and tissues. NSJ Bioreagents provides MUC1 antibody reagents suitable for oncology research, epithelial biology, mucosal immunology, and glycoprotein signaling studies.

Application Notes

Optimal dilution of the Mucin 1 antibody should be determined by the researcher.

Immunogen

A human recombinant partial protein (amino acids T1063-R1131) was used as the immunogen for the Mucin 1 antibody.

Storage

After reconstitution, the MUC1 antibody can be stored for up to one month at 4oC. For long-term, aliquot and store at -20oC. Avoid repeated freezing and thawing.

Cross
Bulk Quote Request Form
Name*:
Organization*:
Email*:
Phone Number*:
Catalog No.*:
Comments and Specifics(amount, formulation, etc.)*:
Validation code: Captchapackage Image


Can't read the image? click here to refresh.
    *required field

Your bulk quote request has been submitted successfully!

Please contact us if you have any questions.