• Tel: 858.663.9055
  • SeparatorEmail: info@nsjbio.com
  • Tel: 858.663.9055
  • Email: info@nsjbio.com
Home >> Antibodies >> Mucin 1 Antibody / MUC1

Mucin 1 Antibody / MUC1 [clone MUC1/7797R] (V4748)

  Catalog No Formulation Size Price (USD)  
Image V4748-100UG 0.2 mg/ml in 1X PBS with 0.1 mg/ml BSA (US sourced), 0.05% sodium azide 100 ug 559
Image
V4748-20UG 0.2 mg/ml in 1X PBS with 0.1 mg/ml BSA (US sourced), 0.05% sodium azide 20 ug 259
Image
V4748SAF-100UG 1 mg/ml in 1X PBS; BSA free, sodium azide free 100 ug 559
Microvalidated Recrabbitmono
Bulk quote request
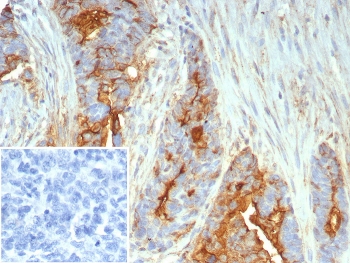
Immunohistochemistry analysis of Mucin 1 / MUC1 antibody (clone MUC1/7797R) in human ovarian cancer tissue. FFPE human ovarian carcinoma section shows strong membranous and cytoplasmic brown chromogenic staining in tumor epithelial cells, consistent with MUC1 expression, while adjacent stromal cells show minimal staining and nuclei appear blue. The inset shows PBS used in place of primary antibody as a negative control with no specific staining observed. Heat-induced epitope retrieval was performed by boiling tissue sections in pH 9 10 mM Tris with 1 mM EDTA for 20 minutes followed by cooling prior to staining.
SDS-PAGE analysis of purified, BSA-free Mucin 1 antibody (clone MUC1/7797R) as confirmation of integrity and purity.
Availability 1-3 business days
Species Reactivity Human
Format Purified
Host Rabbit
Clonality Recombinant Rabbit Monoclonal
Isotype Rabbit IgG, kappa
Clone Name MUC1/7797R
Purity Protein A/G affinity
UniProt P15941
Localization Cytoplasm, Cell surface
Applications Immunohistochemistry (FFPE) : 1-2ug/ml for 30 min at RT
Limitations This Mucin 1 antibody is available for research use only.
Review this product on BioCompare and get a $20 Amazon gift card

Related Products

Description

MuMucin 1 antibody targets Mucin 1, a transmembrane glycoprotein encoded by the human MUC1 gene and a member of the membrane-bound mucin family. Mucin 1, also widely referred to as MUC1 and epithelial membrane antigen in the literature, is primarily localized to the apical surface of epithelial cells where it contributes to barrier function and cell signaling. Mucin 1 antibody is commonly used in studies of epithelial biology and tumor progression due to the protein's characteristic overexpression and altered glycosylation in many carcinomas.

MUC1 is synthesized as a large precursor protein that undergoes autocatalytic cleavage into two subunits that remain non-covalently associated at the cell surface. The extracellular domain contains variable number tandem repeats that are heavily O-glycosylated, forming a protective mucous barrier. In normal tissues, Mucin 1 expression is restricted to the apical surface of glandular and ductal epithelia. In cancer, however, MUC1 is frequently overexpressed, loses apical polarity, and becomes aberrantly glycosylated, exposing peptide epitopes and contributing to oncogenic signaling. Mucin 1 antibody is therefore valuable for investigating epithelial transformation and tumor-associated antigen expression.

MUC1 participates in intracellular signaling through its cytoplasmic tail, interacting with beta-catenin and other signaling mediators to influence proliferation, apoptosis resistance, and metastatic behavior. Elevated MUC1 expression has been documented in breast, ovarian, pancreatic, lung, and colorectal carcinomas, where it is associated with tumor aggressiveness and poor prognosis. Because of its widespread clinical relevance, Mucin 1 antibody is frequently applied in oncology research and tumor characterization studies.

Structurally, Mucin 1 contains an extracellular mucin domain with tandem repeats, a transmembrane region, and a short cytoplasmic tail involved in signal transduction. A Mucin 1 antibody is suitable for detecting MUC1 expression in epithelial tissues, carcinoma models, and tumor biology research applications.

Application Notes

Optimal dilution of the Mucin 1 antibody should be determined by the researcher.

Immunogen

Recombinant full-length human MUC1 protein was used as the immunogen for the Mucin 1 antibody.

Storage

Aliquot the Mucin 1 antibody and store frozen at -20oC or colder. Avoid repeated freeze-thaw cycles.

Cross
Bulk Quote Request Form
Name*:
Organization*:
Email*:
Phone Number*:
Catalog No.*:
Comments and Specifics(amount, formulation, etc.)*:
Validation code: Captchapackage Image


Can't read the image? click here to refresh.
    *required field

Your bulk quote request has been submitted successfully!

Please contact us if you have any questions.