• Tel: 858.663.9055
  • SeparatorEmail: info@nsjbio.com
  • Tel: 858.663.9055
  • Email: info@nsjbio.com
Home >> Antibodies >> Mucin-1 Antibody / MUC1 (beta subunit)

Mucin-1 Antibody / MUC1 (beta subunit) [clone FHA-13] (RQ5459)

  Catalog No Formulation Size Price (USD)  
Image RQ5459 Antibody in PBS with 0.02% sodium azide, 50% glycerol and 0.4-0.5mg/ml BSA 100 ul 449
Microvalidated Rab Mono Image
Bulk quote request
Western blot testing of human T-47D cell lysate with Mucin-1 antibody. Expected molecular weight: 17-25 kDa depending on glycosylation level.
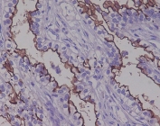
IHC staining of FFPE human ovarian cancer with Mucin-1 antibody. HIER: boil tissue sections in pH6, 10mM citrate buffer, for 10-20 min and allow to cool before testing.
Western blot testing of human MCF7 cell lysate with Mucin-1 antibody at 1:3000 dilution. Expected molecular weight: 17-25 kDa depending on glycosylation level.
Western blot testing of mouse 1) stomach and 2) pancreas tissue lysate with Mucin-1 antibody at 1:5000 dilution. Expected molecular weight: 17-25 kDa depending on glycosylation level.
Western blot testing of 1) mouse lung and 2) rat lung tissue lysate with Mucin-1 antibody at 1:5000 dilution. Expected molecular weight: 17-25 kDa depending on glycosylation level.
Availability 1-2 weeks
Species Reactivity Human, Mouse, Rat
Format Purified
Host Rabbit
Clonality Rabbit Monoclonal
Isotype Rabbit IgG
Clone Name FHA-13
Purity Affinity purified
UniProt P15941
Applications Western Blot : 1:1000-1:5000
Immunohistochemistry (FFPE) : 1:50-1:200
Limitations This Mucin-1 antibody is available for research use only.
Review this product on BioCompare and get a $20 Amazon gift card

Related Products

Description

The Mucin-1 antibody / MUC1 antibody (clone FHA-13) detects the highly glycosylated cell surface protein Mucin 1, encoded by the MUC1 gene on chromosome 1q22. The UniProt recommended name is Mucin-1, a member of the mucin family of extracellular and membrane-bound proteins that form protective barriers along epithelial surfaces. MUC1 is a type I transmembrane protein composed of an extracellular domain rich in tandem repeats, a SEA domain, a single transmembrane segment, and a cytoplasmic tail involved in intracellular signaling. It is predominantly localized to the apical surface of epithelial cells lining ducts, luminal structures, and mucosal barriers, including those of the respiratory, gastrointestinal, reproductive, and urinary tracts.

MUC1 belongs to the mucin family, which includes membrane-bound and secreted mucins that maintain epithelial hydration, protection, and barrier integrity. Its extracellular tandem repeat region is heavily O-glycosylated, forming a rigid and hydrated structure that shields underlying cell surfaces from pathogens, enzymatic degradation, and mechanical stress. The SEA domain undergoes autoproteolytic cleavage, resulting in two subunits that remain noncovalently associated at the plasma membrane. The cytoplasmic tail contains multiple phosphorylation sites that interact with intracellular adaptors and contribute to signal transduction, trafficking, and epithelial organization.

During development, MUC1 expression appears early in epithelial lineage differentiation, marking apical membranes and helping establish polarity. Its abundance increases as tissues mature, contributing to mucosal defense and homeostasis. In specialized cell types such as mammary epithelial cells, MUC1 participates in luminal formation, immune modulation, and regulation of inflammatory cues. Its expression is influenced by hormonal signaling, cytokine exposure, microbial interactions, and environmental stress.

MUC1 plays important roles in epithelial protection. The extensive glycosylation of its extracellular domain creates a physical barrier that limits microbial adherence and supports clearance mechanisms. It also contributes to immune regulation by interacting with pattern recognition receptors and modulating responses to pathogens or inflammatory stimuli. Shedding or cleavage of the extracellular domain occurs during stress or injury, releasing fragments that influence innate immune signaling or act as decoys to block microbial binding.

In the intracellular environment, the MUC1 cytoplasmic tail participates in multiple signaling pathways including MAPK, PI3K, and NF-kappaB programs. These interactions can regulate gene expression, cell survival, polarity, and responses to growth factors. MUC1 helps maintain epithelial architecture by coordinating trafficking with the cytoskeleton, endosomal networks, and polarity complexes.

MUC1 dysregulation is strongly associated with disease. In cancer, MUC1 often exhibits overexpression, altered glycosylation, loss of polarity, and abnormal distribution on the entire cell surface rather than the apical membrane. These changes promote tumor progression, immune evasion, epithelial-mesenchymal transitions, and metastatic behavior. Aberrant or truncated forms of MUC1 appear in breast, ovarian, lung, pancreatic, gastric, and colorectal cancers. In inflammatory diseases, including inflammatory bowel disease, chronic gastritis, and respiratory inflammatory disorders, MUC1 helps regulate the balance between protection and excessive immune activation. Changes in its mucin barrier function can influence susceptibility to infections or tissue damage.

Isoforms of MUC1 arise from alternative splicing and result in variations in the tandem repeat number, extracellular cleavage susceptibility, and intracellular signaling capacity. These isoforms contribute to tissue-specific functions and can be altered in disease states. MUC1 interacts with cytosolic adaptor proteins, polarity regulators, and nuclear factors that assist in transcriptional modulation during stress or transformation. Its involvement in cellular adhesion, proliferation, and immune regulation has positioned it as a molecular hallmark of epithelial biology and cancer-associated remodeling.

The Mucin-1 antibody / MUC1 antibody (clone FHA-13) can be used in immunohistochemistry, western blot, or other research assays to examine MUC1 expression, epithelial polarity, mucin organization, and disease-associated remodeling. These general applications support studies in epithelial biology, cancer progression, mucosal immunology, tissue repair, and barrier function. NSJ Bioreagents provides the Mucin-1 antibody / MUC1 antibody (clone FHA-13) formulated for reproducible detection of this key epithelial glycoprotein in research applications requiring insight into mucin dynamics and epithelial signaling.

Application Notes

Optimal dilution of the Mucin-1 antibody should be determined by the researcher.

Immunogen

A synthetic peptide specific to the C-terminal region (beta subunit) of human MUC1 / Mucin-1 was used as the immunogen for the Mucin-1 antibody.

Storage

Store the Mucin-1 antibody at -20oC.

Cross
Bulk Quote Request Form
Name*:
Organization*:
Email*:
Phone Number*:
Catalog No.*:
Comments and Specifics(amount, formulation, etc.)*:
Validation code: Captchapackage Image


Can't read the image? click here to refresh.
    *required field

Your bulk quote request has been submitted successfully!

Please contact us if you have any questions.